ホールスライドイメージング

X Line + リサーチスライドスキャナー VS200

メールでのお問い合わせ

より鮮明な観察を実現

開口数、フラットネス、色収差補正を高いレベルで実現したX LineとリサーチスライドスキャナーVS200の高輝度・高演色LED光源により、標本組織の色合や細胞の形態、核まで、これまで以上に鮮明でかつ高精細なスライド標本のデジタル化を実現します。

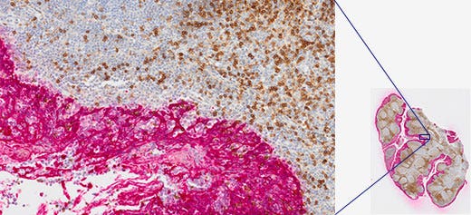
Exceptional Stitching Accuracy

Tonsil CD3 (rm), ImmPRESS Reagent (HRP) Anti-Mouse IgG Immpact DAB (brown), AE1/AE3(m) ImmPRESS (AP) (HRP) Anti-Rabbit IgG Immpact Vector Red (red). Counterstained with Hematoxylin QS (blue).
標本のご提供:Vector Labs.

画像貼り合わせ精度の向上

フラットネスの向上により、隣接する視野の画像貼り合わせ精度も向上しました。VS200で取得した高精細のバーチャルスライド画像は貼り合わせのムラを抑え、定量性の高い画像解析が可能です。

位置精度に優れたマルチカラー蛍光画像

波長領域400-1000nmでの広範囲な色収差補正により、従来と比べ波長の異なる蛍光画像同士の重ね合わせ精度が向上しました。VS200を使用することで、4色以上に多重染色された蛍光スライド標本でも、正確かつ迅速にデジタル化することができます。

Exceptional Color Accuracy

Lung tissue imaged on a VS200 at 20X stained with an Ultivue PD-L1 kit multiplex kit; Dapi: Nuclear Counterstain, FITC: CD8, TRITC: CD68, Cy5: PD-L1, Cy7: panCK.
標本のご提供:Ultivue Inc.

関連製品

VS200

VS200

  • 定量性に優れた高画質バーチャルスライド
  • 多様な用途に対応する高い汎用性
  • 利便性の高い自動システムで省力化を実現
  • 簡単に再現性の高い作業が可能

詳細はこちら

本製品は、医療用途にはご利用いただけません。