IXplore IX83 SpinSR Super-Resolution Microscope System

IXplore SpinSRは、標本のより深部への三次元ライブ観察を実現した超解像イメージングシステムです。スピニングディスク共焦点光学系を採用し、生細胞への光毒性を抑えたスピーディーな画像取得を実現します。

IXplore IX83 SpinSR スピニングディスク型共焦点超解像システム

Confocal Super Resolution for All Live Cell Samples

IXplore SpinSRは、標本のより深部への三次元ライブ観察を実現した超解像イメージングシステムです。スピニングディスク共焦点光学系を採用し、生細胞への光毒性を抑えたスピーディーな画像取得を実現します。

Picture

Picture

High-Level Super Resolution

オリンパス独自の高速超解像処理Olympus super resolution(OSR)により超解像のライブディスプレイができます。

Olympus super resolution(OSR)の詳細はこちら

※画像:ストレスファイバー Fアクチン(緑)/ミオシン(赤)

標本作製、画像の取得・提供に賜りました先生: 東北大学大学院医学系研究科 人体構造学分野 上条 桂樹 先生

高速スキャン

IXplore SpinSRはライブセル超解像イメージングを実現し、高速な変化を捉えるだけでなく、できるかぎり光毒性を抑えることで正しい現象を捉えることが可能です。ハードウェア性能に加え、オリンパス独自の高速超解像処理によって超解像のライブディスプレイを実現します。

https://adobeassets.evidentscientific.com/content/dam/video/video/library/GFP-EB3atthetipofelongatingmicrotubulesinHeLacell.mp4

Hela生細胞の伸長する微小管先端に結合するEB3タンパクEB3を遺伝子導入によりGFPでラベル。※1

標本作製、画像の取得・提供にご協力賜りました先生:
産業技術総合研究所 バイオメディカル研究部門 加藤 薫 先生

Wide Field

Confocal

Super Resolution

高い汎用性

1クリックで超解像観察から共焦点観察、ワイドフィールド観察への切替ができ、同じサンプルを各観察手法で比較することが可能です。

高い汎用性を兼ね備え、幅広い目的でご使用いただけるため、共通機器のように複数の方が使われる場合などにも適したシステムです。

Images on the left:

  1. Fullscreen
  2. 1xZoom
  3. 2xZoom

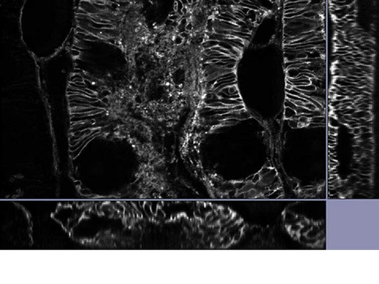
深部超解像イメージング

IXplore SpinSRでは、共焦点光学系と生細胞の屈折率にマッチしたシリコーン浸対物レンズを採用することで、光学セクショニング効果による背景光(ボケ)の少ない鮮明な超解像画像を深部でも可能にしました。

https://adobeassets.evidentscientific.com/content/dam/video/video/library/SpinSR10-3D-time-lapse-of-neuron_480.mp4

神経細胞の3次元タイムラプス

EGFPで標識したマウス初代培養神経細胞を、アストロサイトと3週間共培養後に観察。露光時間500ms/frame、Z間隔0.2umで26スライス取得したXYZ画像を3次元構築。3次元構築画像はFV31S-DTで表示。

標本作製、画像の取得・提供にご協力賜りました先生:
東京大学 大学院薬学系研究科 薬品作用学教室 池谷 裕二 先生

Confocal

Super Resolution

Super Resolution with TruSight

デコンボリューション

超解像画像にデコンボリューションを行う事により、さらに細部の観察が可能となります。

マルチカラー超解像イメージング

2カメラ同時観察ユニット

オプションで2つのカメラを同時に接続したシステムを構築でき、2 色同時の超解像イメージングが可能です。

簡単設定

他の超解像手法に比べ、設定パラメーターが少なく簡単にマルチカラー超解像イメージングができます。

Mitotic spindle at metapahse cell

※体細胞分裂期中期の紡錘体の様子※1

ヒト子宮頸癌由来細胞株HeLa細胞を抗Hec1抗体(キネトコアを可視化: 緑)と、抗tubulin抗体(微小管を可視化: 赤)で免疫染色し、DAPIで染色体(青)を可視化した。染色体がキネトコアを介して微小管と結合している様子を観察。
標本作製、画像の取得・提供に賜りました先生: 東北大学加齢医学研究所 分子腫瘍学研究分野 池田 真教 先生、田中 耕三 先生

Nuclear pore complex of Hela cell

※タンパク(Nup153) :Alexa488標識 , タンパク(Nup62) :Alexa555標識

標本作製、画像の取得・提供に賜りました先生: 徳島大学 藤井節郎記念医科学センター 小迫 英尊 先生

参考文献

S. Hayashi and Y. Okada, “Ultrafast superresolution fluorescence imaging with spinning disk confocal microscope optics,” Mol. Biol. Cell 26(9), 1743–1751 (2015).

S. Hayashi, “Resolution doubling using confocal microscopy via analogy with structured illumination microscopy,” Jpn. J. Appl. Phys. 55(8), 082501 (2016).

A. Nagasawa-Masuda and K. Terai, “Yap/Taz transcriptional activity is essential for vascular regression via Ctgf expression and actin polymerization,” PLoS ONE 12(4), e0174633 (2017).

H. Nakajima, et al., “Flow-Dependent Endothelial YAP Regulation Contributes to Vessel Maintenance,” Dev. Cell 40(6), 523-536.e6 (2017).

K. Tateishi, et al., “Three-dimensional Organization of Layered Apical Cytoskeletal Networks Associated with Mouse Airway Tissue Development,” Sci. Rep. 7, 43783 (2017).

E. Herawati, et al., “Multiciliated cell basal bodies align in stereotypical patterns coordinated by the apical cytoskeleton,” J. Cell Biol. 214(5) 571-586 (2016).

M.-T. Ke, et al., “Super-Resolution Mapping of Neuronal Circuitry With an Index-Optimized Clearing Agent,” Cell Rep. 14(11) 2718–2732 (2016).

※1 HeLa細胞は医学研究で最も重要な細胞株の一つで、科学の発展に偉大な貢献をしました。しかし、この細胞の元となったヘンリエッタ・ラックス(Henrietta Lacks)さんの同意が得られていなかった事実を認識しなければなりません。HeLa細胞の使用は、免疫学や、感染症学、癌研究などにおける重要な発見に貢献しましたが、同時に医学における個人情報保護や倫理についての重要な議論も引き起こしました。

ヘンリエッタ・ラックスさんの生涯と現代医学への貢献における詳細は、以下にアクセスしてご覧ください。

http://henriettalacksfoundation.org/

機能

OSRの原理

OSR(Olympus Super Resolution)技術は、水平(XY)分解能120 nmを実現します。共焦点画像の高い空間周波数データを利用するように独自設計されています。処理後の最終画像は、ポイントサイズの縮小により鮮明になるだけでなく、非常に近づき合った構造の分解能もよくなります。

OSR技術の詳細はこちら

OSR Principle

高速超解像イメージングと広い視野

手動で視野全体を苦労してスキャンする代わりに、SpinSR10の高感度イメージングセンサーによって、サンプル全体のスナップショットが1ステップで高速撮影されるので、高速で起こる生物現象を観察できます。広視野共焦点モードでは、視野数(FN)18の光学系によって広い視野の画像を取得できるとともに、2つのカメラで2色の超解像画像を同時取得できます。

また、共焦点光学系をベースにしたOSR技術を活用する光学セクショニングによる、背景光(ボケ像)のない鮮明な超解像画像が取得できます。

標本作製、画像の取得・提供にご協力賜りました先生:
大阪大学大学院 生命機能研究科・医学系研究科
加納 初穂先生、矢野 智樹先生、月田 早智子先生

明るいライブセルイメージングを届けるスピニングディスク

SoRaディスクを備えた高感度モデルでは、スピニングディスクの共焦点ピンホールにマイクロレンズが付いていることから、従来よりも明るい超解像画像の取得が実現します。各共焦点ピンホールで弱いレーザーパワーのイメージングが可能になり、サンプルの光退色と光毒性を抑えるとともに、明るい超解像画像を撮影できます。

通常の共焦点顕微鏡の結像関係は、照明系のPSF(点像分布関数)と検出系のPSFとの積で表されます。ピンホールの光軸からDの位置の結像を確認すると、図のように照明系のPSFと検出系のPSFの積となり、光軸からD/2の位置情報が伝達されるものの、分解されないことが分かります。これを補正するために、ピンホールにマイクロレンズを取り付けて、ピンホールに投影される個々の焦点を光学的に中心に集めることで、理想的な結像と明るさが得られ、分解能が向上します。この場合の分解能は、ピンホールを無限小に小さくした理想的な共焦点顕微鏡とほぼ等しくなります。

参考資料:T. Azuma and T. Kei, "Super-Resolution Spinning-Disk Confocal Microscopy Using Optical Photon Reassignment, " Opt. Express 23, 15003-15011 (2015).

Even Illumination Across the Entire Field of View

視野全体に均一な照明

IX83P2ZF倒立顕微鏡用に設計された変倍装置により、視野全体に均一な照明が届きます。変倍装置のテレセントリック光学系は、対物レンズの性能を最大限に引き出すとともに、共焦点と超解像をシームレスに電動で切り替えることができます。

Z方向分解能の向上

シリコーンオイル浸対物レンズは、深部組織の観察用に設計されています。深部観察では、屈折率ミスマッチにより生じる球面収差の影響を受けます。シリコーンオイルの屈折率(ne=1.40)は、生細胞や培養組織切片の屈折率(ne=1.38)に近いため、球面収差を最小限に抑え、深さ数十マイクロメートルの細胞内構造の超解像イメージングが可能になります。

https://adobeassets.evidentscientific.com/content/dam/video/video/library/Silicone_Objectives_withVO_480.mp4

Reduce Spherical Aberration

球面収差の低減

遠隔補正環ユニットは、対物レンズ内のレンズ位置の調整に使用して、屈折率ミスマッチにより生じる球面収差を補正し、信号、分解能、コントラストを大きく向上させることができます。IX3-RCCユニットは、すべての補正環付きUIS2対物レンズに対応します。

イメージングの安定性

IXplore SpinSR顕微鏡システムをTruFocus Zドリフトコンペンセーターシステムと組み合わせて使用すると、位置とピントが合った高精度タイムラプス画像を取得できます。

TruFocusシステムの詳細はこちら

https://adobeassets.evidentscientific.com/content/dam/video/video/library/TruFocus_Z-Drift_Compensator_480.mp4

Manage Complex Experiments

Manage Complex Experiments

The process manager makes it simple to acquire multicolor, Z-stack, and time-lapse images. The programmable graphic experiment manager (GEM) enables users to design more complex automation from a visual interface to support a wide variety of experimental imaging protocols and device triggering. Customize flexible experiment protocols that can be easily changed as needed anytime during the imaging process.

アプリケーション

内耳コルチ器外有毛細胞ステレオシリアとキノシリア(アクチン:赤、微小管:緑)

標本作製、画像の取得・提供にご協力賜りました先生:
1大阪大学大学院生命機能研究科・医学系研究科、
2京都府立医科大学耳鼻咽喉科・頭頸部外科学
加納 初穂 先生1、神谷 透 先生1,2、坂口 博史 先生2、月田 早智子 先生1

Stereocilia and kinocilia of inner hair cells in the organ of Corti (Actin:Orange, Tubulin:Green)

https://adobeassets.evidentscientific.com/content/dam/video/video/library/SpinSR10-Mitotic-cu[…]alcell-Chromosome-Blue-Tubulin-Green-ZO1-Red_480.mp4

培養上皮細胞の分裂装置(微小管、Z01)

標本作製、画像の取得・提供にご協力賜りました先生:
大阪大学大学院 生命機能研究科・医学系研究科 加納 初穂 先生、矢野 智樹先生、月田 早智子 先生

GFPでラベルしたミトコンドリアのビデオレート(30fps)での高速観察

個々の細かいミトコンドリアの動態観察ができている。(Scale bar: 全体:5um, 拡大: 500nm)

標本作製、画像の取得・提供にご協力賜りました先生: 東北大学大学院 工学研究科 林 久美子 先生

Purkinje cells labeled with GFP. XYZ image with confocal and super resolution image in different Z positions. Super resolution images are projected by Z (10 slices). 3D displayed by FV31S-DT.

GFPでラベルした脳スライスのプルキンエ細胞

共焦点観察によりサンプルのXYZを観察し、高さの異なる場所を超解像で観察した。超解像画像はそれぞれZ10枚のプロジェクション画像。3次元構築画像はFV31S-DTで表示。

標本作製、画像の取得・提供にご協力賜りました先生:
慶應義塾大学医学部神経生理学研究室 竹尾 ゆかり 先生、 柚﨑 通介 先生

ラインアップ

IXplore TOP
IXplore Standard
IXplore Pro
IXplore TIRF
IXplore Live
IXplore Spin

仕様

顕微鏡フレーム IX83P2ZF
対応する観察手法 超解像観察
共焦点観察
蛍光 (B, G励起)
蛍光 (U励起)
微分干渉
位相差
明視野
レボルバー 電動式(6穴)
焦準機構 電動式
Zドリフトコンペンセーター
鏡筒 広視野 (FN22) ティルティング双眼
照明系 透過ケーラー照明 LED光源
100Wハロゲンランプ
落射蛍光照明 100W水銀ランプ
ライトガイド光源
蛍光ミラーユニットカセット 電動式(8穴)
ステージ 電動式 電動ステージのオプションについては、お近くの営業担当者にお問い合わせください。
マニュアル式 IX3-SVR 右奥ロングハンドルステージ X: 114 mm, Y: 75 mm
IX3-SVL 左手前ショートハンドルステージ X: 114 mm, Y: 75 mm
コンデンサー 電動式 ユニバーサルコンデンサー W.D.=27mm、NA=0.55、電動絞り、電動ポラライザー付
マニュアル式 ユニバーサルコンデンサー NA 0.55/ W.D. 27 mm
超長作動距離コンデンサー NA 0.3/ W.D. 73.3 mm
共焦点スキャンユニット スピニングディスク共焦点スキャンユニット
超解像処理 Olympus Super Resolution (OSR) フィルター
アクセサリー 遠隔補正環調整ユニット (IX3-RCC)
リアルタイムコントローラー (U-RTCE)
保温箱
外形寸法 323 (W) x 475 (D) x 706 (H) mm (IX83P2ZFフレーム)
質量 約47kg(IX83P2ZFフレーム)

カタログ・ビデオ・その他資料

アプリケーション資料

インサイト

動画

カタログ・マニュアル