애플리케이션 노트
수동 현미경 및 디지털 카메라를 사용한 슬라이드 계수화
슬라이드 샘플 디지털화에 대한 중요성 증가
전체 슬라이드 이미징(WSI)이라고 하는 관행에 따라 슬라이드 표본을 디지털화하여 실험실 작업의 효율성을 증가시키는 것이 더욱 중요해지고 있습니다. 전체 슬라이드 이미징은 표본을 관찰하기 위해 현미경을 설정할 필요가 없기 때문에 생산적인 이점이 많습니다. 관찰 위치와 배율을 변경할 수 있는 PC를 통해 가상 이미지를 보고 원격으로 동료와 함께 동시에 샘플을 관찰할 수 있습니다.
완전 전동 가상 슬라이드 스캐너를 통해 WSI 프로세스가 간소화될 수 있지만 이러한 스캐너를 소유할 만큼 예산이나 벤치 공간 또는 데이터 용량이 있는 연구원은 많지 않습니다. 대안으로 Olympus의 BX53 수동 현미경을 DP74 디지털 카메라와 결합하여 제한된 작업 공간에서 비용 효과적 전체 슬라이드 이미징을 수행할 수 있습니다.
수동 전체 슬라이드 이미징을 통한 슬라이드 디지털화
수동 전체 슬라이드 이미징(mWSI)은 전동 스테이지를 사용하지 않고 전체 표본의 디지털 이미지 데이터를 생성합니다. mWSI 방법은 Olympus의 BX53 수동 현미경, DP74 디지털 카메라 및 cellSen 소프트웨어를 결합합니다. 이는 저배율로 스티치드 이미지를 생성하기 위한 효과적 방법입니다. 스테이지를 수동으로 이동시키면 획득된 이미지가 실시간으로 함께 스티칭됩니다. 전체 표본 이미지를 임의의 범위 내에서 촬영할 수 있습니다. 예를 들어 4X 대물렌즈를 사용하여 15mm2 표본 영역을 약 30초 내에 스캔할 수 있습니다.
수동 전체 슬라이드 이미징의 공통 응용
사례 1. 그룹 논의
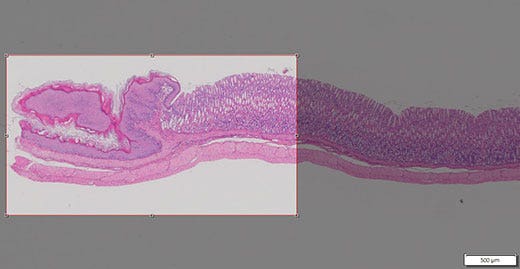
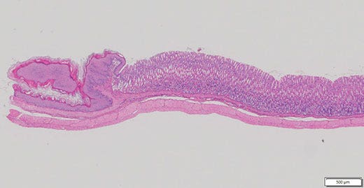
연구 그룹과 같은 특정 상황에서 고배율과 저배율로 전체 표본을 보여야 할 수 있습니다. 수동 전체 슬라이드 이미징을 통해 저배율 대물렌즈를 사용하여 전체 표본의 이미지를 캡처할 수 있습니다(그림 1). 그룹은 현미경을 설정하여 사용하는 대신에 화면의 가상 슬라이드 이미지를 관찰하여 논의할 수 있습니다. mWSI는 이미지가 전체 샘플 슬라이드에 위치해 있기 때문에 고배율로 촬영한 샘플 이미지를 논의하는 데도 유용합니다(그림 2).
관련 영상
그림 1: 샘플에서 표본의 저배율 이미지
관련 영상
그림 2: 이미지 위치를 쉽게 찾을 수 있습니다
사례 2. 학술 회의 및 연구 논문의 이미지
학술 회의 포스터 및 논문은 종종 다양한 이미지를 표시해야 합니다. 하지만 저배율 대물렌즈로도 전체 샘플을 캡처하기가 어려울 수 있습니다. 수동 전체 슬라이드 이미징을 사용하여 다중 영역을 함께 매끄럽게 스티칭하여 명료한 오법뷰 이미지(그림 3)를 획득한 다음 타일 이미지를 트리밍하여 특정 영역을 캡처할 수 있습니다(그림 4).
그림 3: 샘플의 광범위한 오버뷰 이미지
그림 4: 오버뷰 이미지를 트리밍하여 관심 영역을 캡처할 수 있습니다
사례 3. 디지털 아카이브
과거에는 전체 표본을 가상 슬라이드 이미지로 캡처하려면 완전 전동 가상 슬라이드 스캐너가 필요하였습니다. 하지만 수동 전체 슬라이드 이미징을 이용하면 DP74 디지털 카메라와 cellSens 소프트웨어를 BX53 현미경에 추가하기만 하면 더 적은 데이터를 사용하여 디지털 아카이브를 만들 수 있습니다.
예를 들어 세포 클러스터 같은 일부 표본의 경우 다초점 평면의 캡처가 필요합니다. 이 작업은 초점 위치를 수동으로 이동하면서 동영상을 촬영하여 쉽게 수행할 수 있으며 이를 통해 더 작은 파일 크기로 필요한 정보를 얻을 수 있습니다.
사례 4. 원격 컨설팅
교육에서 일반적인 원격 관찰 토론의 경우 현미경으로 캡처된 샘플 이미지를 전자적으로 공유해야 합니다. 하지만 화상 회의를 위해 현미경을 설정하는 것이 어렵고 시간이 많이 소비될 수 있습니다. 수동 전체 슬라이드 이미징을 사용하여 미리 전체 표본을 디지털화하면 원격 동료 및 컨설턴트와 함께 샘플을 쉽게 검토할 수 있습니다.
수동 전체 슬라이드 이미징을 통한 관찰 개선
Olympus의 BX53 수동 현미경, DP74 디지털 카메라 및 cellSens 소프트웨어를 결합하는 수동 전체 슬라이드 이미징을 사용하면 전동 가상 슬라이드 스캐너를 사용하는 것보다 더 저렴한 비용으로 표본을 더 효율적으로 관찰할 수 있습니다.
이 애플리케이션에 사용되는 제품
https://main--eds-evident-website--evident-scientific.hlx.live/ko/microscopes/upright/bx53f2/
반전동식 형광 현미경
BX53
- 고광도 트루 컬러 LED 조명
- 모듈식 개념을 통한 개별 부품의 전동화
- 멀티 컬러 형광 이미지를 간편하게 획득
https://main--eds-evident-website--evident-scientific.hlx.live/ko/camera/color/dp74/
현미경 디지털 카메라
DP74
선명한 형광 이미징이 가능한 냉각 CMOS 센서가 적용된 DP74 디지털 현미경 카메라는 60fps에서 고품질 컬러 이미지를 제공합니다. 또한 카메라’의 위치 내비게이터는 관심 영역의 시각적 추적을 제공합니다.
- 60fps에서 생표본의 고품질 컬러 이미지 제공
- 위치 내비게이터를 통해 스티치 이미지 내 관심 영역을 시각적으로 추적
- 냉각 CMOS 센서가 잡음이 적고 선명한 형광 이미지 확보 지원
https://main--eds-evident-website--evident-scientific.hlx.live/ko/software/cellsens/
이미징 소프트웨어
cellSens
직관적인 작동 및 원활한 워크플로를 제공하는 cellSens 소프트웨어의 사용자 인터페이스는 맞춤 설정이 가능하기 때문에 레이아웃을 제어할 수 있습니다. cellSens 소프트웨어는 여러 가지 패키지로 제공되며 특정한 이미지화 요구 사항에 최적화된 다양한 기능이 포함되어 있습니다. 그래픽 실험 관리자 및 웰 탐색기 기능은 5D 이미지 획득을 용이하게 합니다. TruSight™ 디콘볼루션을 통해 향상된 해상도를 확보하고 콘퍼런스 모드를 사용하여 이미지를 공유하세요.
- TruAI™ 딥러닝 분할 분석을 통한 실험 효율 개선으로 라벨 없는 핵 검출 및 세포 계수를 제공하세요.
- 모듈식 이미지화 소프트웨어 플랫폼
- 사용자 중심의 인터페이스로 직관적인 애플리케이션
- 광범위한 기능 세트는 간단한 스냅샷과 고급 다차원 실시간 실험을 지원
선택 비교
관련 제품 없음