벤치톱 형광 현미경으로 연구 이미징 간소화

연구에 쉽게 사용할 수 있는 현미경

Taichi Yoshikura

Taichi Yoshikura

2022년 7월 21일.

마지막 업데이트: 2024년 9월 13일.

이미징을 시작하기 전에 현미경을 조정하는 데 시간이 오래 걸리십니까? 고품질 현미경 이미지를 쉽게 캡처할 방법을 원하십니까? 암실을 사용해야만 하는 것이 지겨우십니까? APEXVIEW™ APX100 벤치톱 형광 현미경은 사용하기 쉬운 하나의 시스템으로 이러한 일반적인 연구 문제를 극복합니다.

벤치톱 형광 현미경을 사용한 간단한 연구 워크플로 기존 현미경과 APX100 벤치톱 형광 현미경의 이미징 워크플로 비교

접안렌즈를 통해 볼 필요가 없으며 워크플로를 간소화하도록 설계된 일련의 스마트한 기능이 있는 APX100 현미경은 연구 이미징을 위해 현미경 설정을 조정하는 데 걸리는 시간을 극적으로 줄여줍니다. 이 현미경은 수상 경력이 있는 X Line™ 시리즈 등 Olympus의 유명 대물렌즈와 함께 작동하므로 몇 번의 클릭만으로 고해상도 이미지를 얻을 수 있습니다.

다음은 APX100 현미경에서 탁월한 이미지를 쉽게 얻도록 해주는 몇 가지 요소입니다.

1. 스마트 샘플 탐색기

샘플을 샘플 홀더에 넣으면 스마트 샘플 탐색기가 매크로 이미지를 자동으로 획득하고 내장된 AI가 슬라이드에서 샘플을 찾습니다. 그러면 시스템이 자동으로 샘플을 대물렌즈의 중앙에 배치하고 모니터에 표시합니다. 여기에서 관찰 방법을 선택하고 즉시 이미지 캡처를 시작할 수 있습니다. 아래 동영상에서 자세히 알아보세요.

2. 빠른 자동 초점

이 시스템의 자동 초점은 기존 자동 초점 알고리즘보다 최대 12배 빠릅니다. 따라서 사용자는 이상적인 이미징 평면을 빠르게 찾을 수 있습니다. 조정된 자동화를 통해 샘플 검색 시간은 줄이고 더 많은 시간을 데이터 수집에 쓸 수 있습니다. 다음 동영상에서 고속 자동 초점의 작동 방식을 확인하세요.

3. 배우기 쉽고 연구원들에게 가르치기 쉬움

APX100 현미경은 사용 방법이 간단합니다. 샘플을 올리고 뚜껑을 닫고 버튼을 클릭합니다. 소프트웨어의 명확한 레이아웃과 간소화된 워크플로 덕분에 약간의 교육만 받으면 이미지 획득을 시작할 수 있습니다.

새 연구원에게 여러 이미징 방식을 가르치려면 시간이 오래 걸릴 수 있지만 이 시스템은 사용이 간편하여 교육 과정이 크게 간소화되고 교육 기간이 단축됩니다.

현미경에 익숙하지 않은 연구원도 시스템 작동 방법을 빠르게 배워 고해상도 이미지를 캡처할 수 있으며, 현미경 전문가는 시스템의 자동화와 간소화된 워크플로에 만족할 것입니다.

연구용 현미경의 간편한 사용자 인터페이스 간단한 레이아웃을 통해 연구원이 이미지를 쉽게 캡처할 수 있음

4. 실험실과 핵심 시설을 위한 소형 이미징 장치

APX100 현미경은 설치에 필요한 면적이 작고 진동 방지 기술이 내장되어 있으며 광학 장치가 차폐되어 있어 거의 모든 곳에 배치할 수 있습니다. 장치를 실험실 테이블에 바로 설치하면 불빛이 밝은 방에서도 다른 실험과 병행하여 이미지를 획득할 수 있습니다. 전용 암실이 필요하지 않아 실험실이나 핵심 시설의 귀중한 공간을 절약할 수 있습니다.

실험실과 핵심 시설을 위한 벤치톱 현미경 APX100 시스템을 실험실 테이블에 바로 설치하여 공간을 절약할 수 있음

5. 이미지 정리

APX100 현미경에는 데이터를 정리하고 저장하는 전용 시스템이 갖춰져 있습니다. 사용자가 이미지를 획득하면 소프트웨어에서 자동으로 샘플별로 폴더를 만들고 데이터를 올바른 폴더에 저장합니다. 일관된 인덱싱으로 데이터를 정리하고 쉽게 찾을 수 있으며 실수로 잘못된 폴더에 데이터를 저장하는 일이 없게 됩니다. 또한 중요한 설정은 나중에 참조할 수 있도록 각 이미지와 함께 저장됩니다.

연구 이미징에 쉽게 사용할 수 있는 현미경 APX100 시스템을 통한 이미지 정리

6. 다양한 연구 분야를 위한 유연한 이미징 옵션

APX100 현미경은 슬라이드, 접시, 웰 플레이트를 사용하는 광범위한 연구 이미징 분야를 지원합니다. 연구 프로토콜에 맞게 멀티채널, 스티칭, 타임랩스, Z 스택 획득 등의 다양한 이미징 방법을 조합하여 사용할 수 있습니다. 또한 명시야, 위상 대비, 형광, 경사 대비 가 있는 이미지를 획득할 수 있습니다.

Evident에서 개발한 경사 대비는 우수한 고대비 3D 이미지를 획득할 수 있는 특별한 투과 관찰 방법입니다. 다음의 짧은 동영상에서 경사 대비에 대해 자세히 알아보세요.

이러한 모든 이미징 옵션을 사용하여 고해상도 뛰어난 이미지를 획득할 수 있습니다. 다음은 APX100 벤치톱 형광 현미경으로 획득할 수 있는 몇 가지 예시 분야의 이미지입니다.

멀티채널 이미지

멀티채널 이미징을 위한 간편한 형광 현미경 BPAE 세포. 염색: 마우스 항-α-튜불린, BODIPY FL 염소 항-마우스 IgG, 텍사스 레드-X 팔로이딘, DAPI.

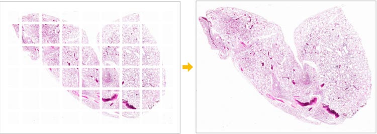
스티칭된 이미지

사용하기 쉬운 현미경으로 캡처한 마우스의 폐 이미지 UPLXAPO4X 대물렌즈로 캡처한 마우스의 폐. 염색: HE.

Z 스택 이미지

사용하기 쉬운 현미경으로 캡처한 Z 스택 이미지 켄드린/페리센트린 중심체 단백질의 세포하 위치결정. 염색: 페리센트린-녹색, 알파 튜불린-빨간색, DNA파란색.
이미지 데이터 제공: Kazuhiko Matsuo 박사, 교토부립 의과대학, 해부학 및 발달생물학.

타임랩스 이미지

생쥐의 수정된 난자에 대한 타임랩스 관찰.

팁: FRET(Fluorescence Resonance Energy Transfer), TIRF(Total Internal Reflection Fluorescence), 2일을 초과하는 타임랩스 실험 또는 초고해상도 현미경을 사용해야 하는 경우, IXplore™ 도립 현미경이 적합합니다. 전문가에게 문의하여 이미징 및 연구 요구 사항에 대해 상담해 보세요.

APX100 현미경의 이미징 기능에 대해 자세히 알아보고 더 많은 예시 이미지를 보려면 APX100 이미지 갤러리를 방문하세요. 온라인으로 APX100 현미경의 모든 기능을 살펴보거나 현지 영업 담당자에게 연락하여 데모를 예약하세요.

Taichi Yoshikura

Taichi Yoshikura

감독자, 마케팅 커뮤니케이션, 생명과학

Taichi Yoshikura는 일본 도쿄 Evident에서 글로벌 생명과학 마케팅 커뮤니케이션 팀을 이끌고 있습니다.Taichi Yoshikura는 와세다대학교에서 문학사 학위를 받았으며 2016년부터 Evident에 재직 중입니다.