오일 이멀젼 미디어로 전체 슬라이드 이미징: FAQ(자주 묻는 질문)

april-2021-dr-daniel-göttel-banner.jpg

Dr. Daniel Göttel

Dr. Daniel Göttel

2021년 4월 01일

올림푸스의 SLIDEVIEW VS200 연구용 슬라이드 스캐너는 전체 유리 슬라이드의 고해상도 디지털 이미지를 캡처하는 강력한 기능으로 알려져 있습니다.

이 시스템은 표준 기능 이상으로, 액체 디스펜서 옵션과 고해상도 오일 또는 실리콘 이멀젼 대물렌즈 덕분에 이멀젼 미디어와 함께 작동하도록 개선할 수 있습니다. 이러한 기능은 이미지 해상도와 품질을 극대화하는 데 도움을 줍니다.

어떻게 작동하는지 궁금하신가요? 오일 이멀젼 미디어를 사용하는 전체 슬라이드 이미지에 대해 공통적인 질문과 대답을 읽으십시오.

VS200 액체 디스펜서는 어떻게 작동하나요?

슬라이드 스캐너는 공기 압력 펌프를 사용하여 정의된 양의 물방울을 슬라이드 표면에 분사합니다. 분사되는 물방울 수는 실제 스캔 영역에 따라 동적으로 달라집니다. 디스펜서 헤드 내부의 포토 다이오드 물방울 카운터를 통해 계수됩니다.

이 동적 액체 분사 방식은 VS200 시스템 고유의 방식으로, 필요한 이멀젼 미디어의 양만 슬라이드에 떨어지고 슬라이드에서 스캐너로는 침수 미디어가 떨어지지 않도록 하는 데 도움을 줍니다.

액체 디스펜서가 작동하는 것을 보려면 아래 짧은 영상을 확인하세요.

관련 영상

오일 이멀젼 미디어는 슬라이드의 이미지 품질을 어떻게 개선하나요?

오일 이멀젼 현미경은 높은 광학적 해상도와 이미지 품질을 위해 표본의 굴절률을 증가시킵니다. 오일 이멀젼법으로 준비된 슬라이드는 짧은 초점 길이에도 불구하고 오일이 굴절률을 높이는 고배율에서 가장 잘 작동합니다.

VS200 슬라이드 스캐너에서 사용할 수 있는 오일 이멀젼 대물렌즈 유형은 무엇인가요?

밝은 영역 및 형광 이미징에서의 오일 이멀젼을 위해 세 가지 X Line 대물렌즈 옵션, 40X, 60X 및 100X UPXAPO 확장 아포크로맷 오일 대물렌즈를 사용할 수 있습니다.

전체 슬라이드 영상에서 다양한 배율이 어떻게 사용되나요?

40X 배율 옵션은 더 빠른 스캔을 위해 큰 시야를 제공하는 반면, 더 높은 배율 대물렌즈(60X 및 100X)는 더 낮은 스캔 속도에서 더 많은 세부 정보를 제공합니다.

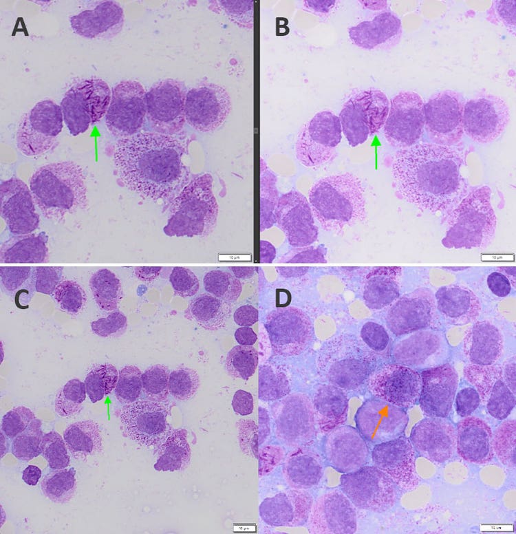
다음은 이러한 배율이 어떻게 사용되는지에 대한 실제 예입니다. 우리는 1.4 NA의 40X UPLXAPO 오일 대물렌즈(그림 2, A 및 C) 및 1.42 NA의 60X UPLXAPO 오일 대물렌즈(그림 2, B 및 D)를 사용하여 급성전골수세포백혈병(APL)의 인간 말초 혈액 샘플(아래 그림 1)을 스캔했습니다.

말초혈액 샘플의 전체 슬라이드 이미징

그림 1. VS200 연구 슬라이드 스캐너로 스캔한 급성전골수세포백혈병의 인간 말초 혈액 샘플. 이미지 제공: Jana Kirsten, University Medical Center Regensburg의 임상 화학 및 실험실 의학 연구소.

이 응용 분야에서 말초 혈액은 비복종 핵이나 극단적인 과립을 가진 신생 전골수구를 보여줍니다(그림 2, 주황색 화살표). 이러한 신생 전골수구는 골수에서뿐만 아니라, 아우어 막대(Auer rod)의 전체 다발(A, B, C의 녹색 화살표)이 있는 골수 아세포에서도 발견됩니다. 이들은 APL이 의심되는지를 찾는 데 중요합니다.

아우어 막대가 있는 골수아세포의 전체 슬라이드 이미징

그림 2: (A) 40X 배율에서는 획득했지만 60x 배율로 디지털 확대한 아우어 막대가 있는 골수아세포. (B) 60X 배율에서 획득하여 기본 해상도로 표시된 동일한 아세포. (C) A와 동일하지만 기본 40X 해상도인 이미지. (D) 60X 배율에서 그래룰을 가진 아세포.

그런 다음 전골수세포백혈병(PML)은 FISH를 통해 상호 전이 t(t15; 17)의 증거를 통해 확인됩니다. 이러한 구조적인 염색체 변화의 결과로 염색체 15(PML)와 염색체 17(레티노산 수용체, 알파 [RARα])에 두 개의 유전자 융합이 있습니다. PML을 앓고 있는 환자들은 ATRA(all-trans retinoic acid)로 치료할 수 있습니다.

그림 2의 이미지 A(40X)와 B(60X)를 비교하면 아우어 막대와 그래뉼은 여전히 이 낮은 배율에서도 명확하게 보이므로, 1.4 NA의 40X UPXAPO 오일 대물렌즈의 장점을 알 수 있습니다. 또한 40X 대물렌즈를 사용한 스캔 시간은 60X 대물렌즈에 비해 50% 더 빨랐습니다(1 × 1cm 면적의 스캔 시간: 40X = 4분40초, 60X = 10분30초).

X Line 대물렌즈는 전체 슬라이드 이미지를 어떻게 개선하나요?

모든 X Line 대물렌즈는 다음과 같은 이점을 제공합니다.

VS200 슬라이드 스캐너에서 사용할 수 있는 실리콘 이멀젼 대물렌즈 유형은 무엇입니까?

실리콘 이멀젼 미디어의 경우 40X, 60X 및 100X UPLSAPO 슈퍼 아포크로마토 실리콘 오일 대물렌즈의 세 가지 옵션을 사용할 수 있습니다.

실리콘 이멀젼 대물렌즈는 전체 슬라이드 이미징에 어떤 이점을 제공하나요?

실리콘 이멀젼 대물렌즈는 높은 개구수와 긴 작업 거리를 모두 제공하여, 온도 변화에 영향을 받지 않는 안정적이고 장기적인 고해상도 이미징을 가능하게 합니다.

Dr. Daniel Göttel

Dr. Daniel Göttel

영업 지원 관리자

Daniel Göttel은 독일 하이델베르크의 독일 암 연구 센터에서 인류 유전학 박사 학위를 취득했습니다.Daniel Göttel은 가상 슬라이드 스캐닝 시스템 응용 전문가로 몇 년간 근무했으며 이 분야에 대한 심도 있는 실용 지식을 보유하고 있습니다.Daniel Göttel은 현재 Evident에서 SLIDEVIEW™ VS200 연구 슬라이드 스캐너 및 Net Image Server(NIS) SQL 영업 지원 관리자를 맡고 있습니다.