Olympus는 Ultivue 및 Visiopharm과의 협업을 통해 생물지표 세포 표현형을 위한 완벽한 솔루션을 제공합니다. 더 알아보기!

생물지표 세포 표현형 솔루션

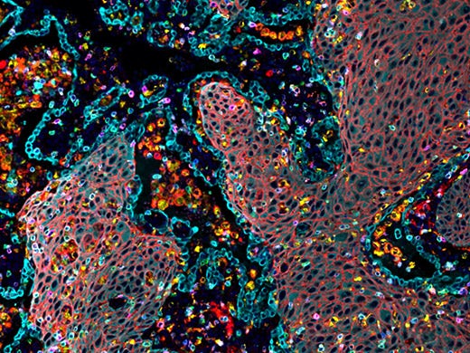
Olympus는 Ultivue 및 Visiopharm과의 협업을 통해 생물지표 세포 표현형 연구의 시약, 슬라이드 스캐닝 및 정량적 분석을 위한 완벽한 솔루션을 제공합니다. 선형 다중화 시약, 신속한 고해상도 다모드 슬라이드 스캐닝 및 AI 지원 소프트웨어 분석에 있어서 각 회사의 전문 기술을 활용하여 신약 개발 및 임상전 디지털 병리학 워크플로를 촉진하기 위한 강력한 도구 세트를 만들었습니다.

인간 생물지표 다중화를 위한 ULTIVUE Ultimapper™ 키트

인간 생물지표 다중화를 위한 ULTIVUE Ultimapper™ 키트

  • 생물학적으로 관련된 지표의 신속하고 종합적인 탐구
  • 당일 결과를 제공하는 완전 최적화된 기성 염색 키트
  • 진정한 공동 국소화를 통한 강력한 정량적 표현형을 위해 최대 8플렉스의 다양한 키트 구입 가능
  • 더 높은 플렉스 서비스 제공 가능
  • Olympus VS200 연구 슬라이드 스캐닝 시스템과 호환

더 알아보기

VS200 연구 슬라이드 스캐너

  • 다모드, 고정밀 스캐닝
  • 간소화된 강력한 워크플로
  • 자동 로더로 최대 210개 슬라이드
  • 정량적 결과 향상을 위한 고품질 이미지를 제공하는 최적화된 X 라인 광학 시스템

더 알아보기

VS200 연구 슬라이드 스캐너
Visiopharm 분석 소프트웨어

Visiopharm 분석 소프트웨어

  • 정량적 디지털 병리학 솔루션
  • 신속, 객관적, 재현 가능
  • 다양한 응용 모듈
  • 다중 표현형

문의처

약제, 화학약품 및 장치에 대한 반응 예측과 이러한 물질의 암 유발 가능성 확인은 신약 개발의 안전성 평가 과정의 주요 구성 요소입니다. VS200 슬라이드 스캐너의 유리 슬라이드의 빠른 디지털화를 통해 독성학 및 병리학 연구가 용이하게 되고 형태학적 평가를 위한 장기 및 조직의 이미지 분석이 촉진됩니다. 이 슬라이드 스캐닝 시스템을 독성학적 병리학 도구로 이용하여, 연구 병리학자들은 세포, 아세포 및 분자 수준의 손상을 식별하고 약제, 화학약품 및 장치의 부작용을 판단할 수 있습니다.

독성학 및 병리학 연구를 위한 VS200 슬라이드 스캐너

  • 명시야, 편광, 암시야 및 형광을 사용한 다모드 스캔
  • 자동 조직 식별
  • 표준 슬라이드에서 큰 유리판까지 여러 슬라이드 형식
  • 데이터 공유를 위한 종합 웹 서버
VS200 독성학 및 병리학

Biomarker Cell Phenotyping Solutions - 질문 & 의견

문의처

대물 렌즈를 다른 기기에 통합하고 있습니까?

Evident Life Science Solution E-newsletter을 구독합니다.

Please, choose division

Academic ResearchBiotechClinicalEducationDrug DiscoveryRegenerative MedicineOEM ComponentsOthers

I agree to the Terms of Use and acknowledge that I have read the Privacy Notice*

Send e-mail to TAC
Send E-mail to TAC (TSG Americas only)

VISIOPHARM® is a registered trademark of Visiopharm A/S.
ULTIVUE is a registered trademark of Ultivue, Inc.
Ultimapper™ is a trademark of Ultivue, Inc.