전체 슬라이드 이미징

X Line High-Performance Objectives and the SLIDEVIEW VS200 Research Slide Scanner

연락처

향상된 이미지 품질

향상된 평탄도, 개구수 및 색수차 보정이 결합되어 우수한 색 재현과 함께 깨끗한 고해상도 이미지를 제공합니다. 조직 색, 세포 형태 및 핵의 미세입자 같은 중요한 평가 요소들을 명확히 관찰합니다.

뛰어난 스티칭 정확도

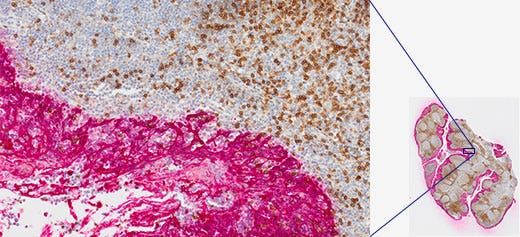
Tonsil CD3(rm), ImmPRESS 시약(HRP) Anti-Mouse IgG Immpact DAB(갈색), AE1/AE3(m) ImmPRESS(AP)(HRP) Anti-Rabbit IgG Immpact Vector Red(빨간색). Hematoxylin QS(파란색)로 대비 염색됨.
샘플 슬라이드 제공: Vector Labs.

정확한 스티칭

확장된 이미지 평탄도는 인접 시야 간 스티칭된 이미지의 정확도를 높여줍니다. 따라서, VS200 슬라이드 스캐너를 사용하여 획득된 고해상도 가상 슬라이드 이미지는 불균형 없이 원활하게 스티칭되며 매크로에서 마이크로까지 정확한 초점이 유지됩니다.

우수한 다채널 이미징

400–1000nm의 넓은 색수차 보정을 통해 각기 다른 파장으로 형광 이미지를 더 정확하게 오버레이할 수 있습니다. 또한 고품질 형광 가상 슬라이드의 채널 4개 이상을 고속으로 획득할 수 있습니다.

뛰어난 색 정확도

20X를 사용한 VS200으로 획득된 폐 조직 이미지 이며 Ultivue PD-L1 키트 다중화 키트로 착색됨, Dapi: 핵 대비 염색, FITC: CD8, TRITC: CD68, Cy5: PD-L1, Cy7: panCK.
이미지 데이터 제공: Ultivue Inc.

관련 제품

VS200

VS200

  • 정량화를 위한 뛰어난 이미지 품질
  • 다양한 애플리케이션을 위한 유연성
  • 더 짧은 시간에 더 많은 획득
  • 간소화된 강력한 워크플로

더 알아보기

VS200은 임상 진단용이 아닙니다.