应用笔记

联系我们

利用VS200研究级全玻片扫描系统和TruAI深度学习解决方案加速和优化胰岛图像的分割和分析

若要获得研究相关的数据,研究人员需要对大型图像集进行批量分析。这种分析既要定量又要定性,并且必须可靠且客观。根据所感兴趣的形态学领域不同,这一任务可能非常棘手。为了提高这一过程的效率,奥林巴斯推出了使用SLIDEVIEW VS200研究级全玻片扫描系统实现的深度学习的解决方案。为了对该解决方案进行测试,我们将其应用于胰岛图像的分割和分析。

胰岛检测与分割

研究人员从事实验性糖尿病研究的目的在于,增进他们对这类疾病复杂过程的了解,从而能够开发出更出色、更有效的治疗方法。分析大量的胰腺切片成为他们研究工作的重要组成部分。

胰腺具有两个主要功能:分泌酶以分解食物中的蛋白质、脂质、碳水化合物和核酸(外分泌),以及分泌控制血糖水平的胰岛素和胰高血糖素(内分泌)。后者与糖尿病有关。胰腺中的β细胞群(也称胰岛)在胰岛素分泌中起到关键作用。胰岛素通过刺激其他组织的细胞吸收能量,协助降低血液中的葡萄糖含量。

在研究糖尿病和其他代谢性疾病时,研究人员希望能够分析这些含胰岛素β细胞的百分比和相对位置。大批量显微图像分析对于确定胰岛的形态和定量至关重要。

使用SLIDEVIEW VS200研究级全玻片扫描系统和TruAI深度学习解决方案进行的实验

为了演示奥林巴斯TruAI深度学习技术如何帮助改善这一研究应用,我们通过一个研究CB57BL/6NTac小鼠胰岛衰老过程的项目,了解胰岛的形态和功能变化。

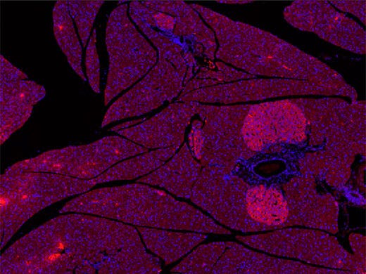
在我们实验中使用奥林巴斯VS200玻片扫描系统扫描的玻片示例。

在我们实验中使用奥林巴斯VS200玻片扫描系统扫描的玻片示例。使用Alexa 594和DAPI组织切片染色的胰腺切片由德国罗斯托克大学医学部医学生物化学和分子生物学研究所教授rer. nat.Simone E. Baltrusch博士提供

这些由德国罗斯托克大学医学部医学生物化学和分子生物学研究所的Simone E. Baltrusch教授和Cindy Zehm博士提供的样品,其使用胰岛素抗体染色方案制备的小鼠胰腺切片。这种染色可以实现对胰岛内β细胞的识别。这些细胞的结构与外分泌部分不同,对应于胰腺的内分泌部分 。

使用奥林巴斯SLIDEVIEW VS200研究级全玻片扫描系统以10倍倍率快速采集了小鼠胰腺样品的数字玻片图像。在最终获得40幅图像中,人眼就可以轻松识别其中的胰岛。图像清晰显示的红色Alexa 594染色第二抗体附着在生产胰岛素的β细胞第一抗体上,并与DAPI(蓝色)细胞核复染形成对比。

胰岛自动检测与分析的挑战

小鼠胰腺切片样品中的胰岛可以使用特定荧光抗体实现可视化。为了分析扫描图像中的这些结构,研究人员通常需要以非常耗时的手动方式筛选胰岛。此外,如下所示的传统自动分割方法(如基于阈值的算法)无法专门用于检测胰岛。

10倍图像为基于常规阈值方法的检测结果(绿色),该方法无法区分胰岛与血红细胞(蓝色)。

10倍图像为基于常规阈值方法的检测结果(绿色),该方法无法区分胰岛与血红细胞(蓝色)。

在观察Alexa 594通道的同时,还检测到红细胞的自发荧光,因此很难自动区分用于染色胰岛(绿色圆圈)β细胞的标记抗体与充满红细胞的血管(蓝色圆圈)。 VS200研究级全玻片扫描系统所提供的,基于卷积神经网络进行深度学习的方法的TruAI模块,是VS-Desktop软件用于图像分析的插件。

这类网络是一种自学习式的显微图像分析形式,也是可用于对象分割的极其强大的技术。我们可以借助这项技术自动检测小鼠胰岛。下一节将介绍神经网络的训练过程。

胰岛(绿色圆圈);血细胞(蓝色圆圈)

胰岛(绿色圆圈);血细胞(蓝色圆圈)

利用TruAI深度学习解决方案自动对样品进行细分和分析的轻松工作流程

进行这类自动分析的第一步就是为软件提供带标注的样品图像或“路面实况”数据。这是通过手工标记十二个不同小鼠胰腺样品(绿色圆圈)的胰岛而创建的。

带有手工标记胰岛的荧光胰腺切片 / 手工标记胰岛的细节(绿色圆圈)

标记的对象越多越好。强度、颜色、大小和形状不同的大量对象可以让神经网络鲁棒性更佳。这一易于使用的软件插件提供了方便进行手动标记的各种工具。

在生成标记数据后,下一步是训练深度神经网络(DNN)。在此阶段,神经网络会将基准真相数据与其自身计算数据进行比对,直到达到较高概率值为止。这种计算得出的数据是一种能够模仿人类大脑(所谓DNN)学习,识别结构并做出智能判断的人工智能算法(AI)。

最后,将计算得出的DNN应用于其余胰腺图像,即可实现胰岛的自动检测和分割。

经过训练的奥林巴斯TruAI深度神经网络算法可以在任何VS-Desktop工作站以及其他兼容的奥林巴斯产品上传输和使用。

胰岛分割和分析的自动化过程包括以下三个简单步骤:

1. 使用SLIDEVIEW VS200研究级全玻片扫描系统扫描新图像。

VS200研究级全玻片扫描系统
使用SLIDEVIEW VS200研究级全玻片扫描系统扫描新图像。

2. 经过训练的DNN对胰岛进行检测和分割。

经过训练的DNN对胰岛进行检测和分割。

3. 检测到的胰岛在经过分割后,将被用于进一步的计数和测量分析。

检测到的胰岛在经过分割后,将被用于进一步的计数和测量分析。

使用配备TruAI深度学习解决方案的SLIDEVIEW VS200研究级全玻片扫描系统,进行胰岛检测和分割的优势概述

TruAI模块能够以比其他现有自动化方法更高的可靠性和准确性,对复杂图像中的胰岛进行轻松的对象检测和分割。此外,还可以基于分割结果执行,诸如计数和测量等进一步的分析。

SLIDEVIEW VS200研究级全玻片扫描系统与TruAI深度学习解决方案相结合,可以为诸如明场和荧光细胞和组织样品等各种图像的多种生物学应用,提供从样品采集到精确定量数据分析的完整工作流程。

图像分析的精确自动化,将科研人员从大量繁琐的手动操作工作中解放出来,从而让他们的研究更加高效。

致谢

本应用指南的编写获得了德国罗斯托克大学医学部医学化学和分子生物学研究所的研究人员以及德国奥林巴斯软成像解决方案产品经理Sara Quinones Gonzalez的帮助:

适于这类应用的产品


https://main--eds-evident-website--evident-scientific.hlx.live/zh/solutions-based-systems/research-slide-scanner/

VS200

VS200研究级玻片扫查器提高了速度和效率,适用于需要定量分析大量样品的应用,包括脑、癌症、干细胞和药物发现研究。快速轻松地捕获高分辨率、高质量的玻片图像,并轻松地分析、共享和归档数据。VS200系统提供五种成像模式:明场、荧光、暗场、相衬和简单偏光。一次最多可加载210张载玻片进行自动扫描。

  • 2倍至100倍范围的高分辨率全玻片成像
  • 可顺应多种玻片尺寸和观察方法
  • 从明场到荧光多路传输的简化而又强大的工作流程
  • 从手动明场扫描到AI识别和全自动扫描,均可在软件和硬件中进行独特配置


https://main--eds-evident-website--evident-scientific.hlx.live/zh/software/cellsens/

cellSens

cellSens软件的用户界面可自定义,提供直观的操作和流畅无缝的工作流程,让您可以控制布局。cellSens软件具有一系列软件包,可提供各种针对您的具体成像需求进行了优化的功能。它的图形化试验管理器和孔导航器功能简化了5D图像采集。通过TruSight反卷积实现更高的分辨率,并使用会议模式共享图像。

  • 通过TruAI深度学习分割分析提高实验效率,从而提供非标记细胞核检测和细胞计数
  • 模块化成像软件平台
  • 直观的应用驱动型用户界面
  • 从简单的捕获到高级多维实时实验的大范围功能集