使用台式荧光显微镜简化研究成像流程

易于使用的研究级显微镜

Taichi Yoshikura

Taichi Yoshikura

2022年 7月 21日

上次更新时间:2024年9月13日。

在开始成像之前,您是否花了很多时间来调节您的显微镜?您是否希望通过一种简单的方法采集高质量的显微镜图像?您是否厌倦了不得不使用暗室? APEXVIEW APX100台式荧光显微镜通过一个易于使用的系统克服了这些常见的研究难题。

使用台式荧光显微镜的简单研究工作流程 传统显微镜与APX100台式荧光显微镜的成像工作流程对比

APX100显微镜省去了目镜观察步骤,并配备一系列智能功能,可有效简化工作流程,大大减少了研究成像应用中花费在显微镜设置调整上的时间。该显微镜可与我们著名的物镜(包括我们屡获殊荣的X Line系列)配合使用,您只需点击几下,就能获得出版级质量的图像。

APX100显微镜可通过以下方式轻松获取优质图像:

1. 智能样品导航器

当样品被放入样品托架时,智能样品导航器会自动获取宏观图像,内置AI会在载玻片上定位样品。然后系统会自动将样品置于物镜的中心,并在显示器上显示样品。您可以选择观察方法,并立即开始采集图像。欢迎通过以下视频了解更多信息:

2. 快速自动对焦

系统的自动对焦比传统的自动对焦算法快12倍。您可以快速找到理想的成像平面。通过协调自动化,您可以花更少的时间搜索样品,花更多的时间采集数据。请观看本视频,了解快速自动对焦的工作原理:

3. 易于学习和培训研究人员

APX100显微镜操作简单。只需放置样品、合上盖子并按下按钮。软件布局清晰,工作流程精简,您只需稍加培训,即可开始进行图像采集。

向新研究人员培训多种成像模式可能是一个耗时的过程,而系统的易用性可大大简化和加速培训过程。

不熟悉显微镜的研究人员可以很快学会如何操作系统并拍摄出版级质量的图像,而显微镜专家则会对系统的自动化和简化的工作流程赞赏有加。

研究用显微镜的简洁用户界面 布局简单,便于研究人员捕捉图像

4. 用于实验室和核心实验室的紧凑型成像设备

APX100显微镜占地面积小,采用内置防震技术和屏蔽的光学器件,几乎可以放置在任何地方。可将其直接安装在实验室的台面上,以便为不同实验进行成像,即使是在光线明亮的房间中也可如此。由于不需要专用暗室,可以节省实验室或核心实验室的宝贵空间。

用于实验室和核心实验室的台式显微镜 APX100系统可以直接放置在实验室的台面上,节省了空间

5. 组织有序的图像

APX100显微镜有专门的系统用于组织和存储数据。当您采集图像时,软件会自动为每个样品创建文件夹,并将数据保存到正确的文件夹中。一致的索引使您的数据组织有序,易于查找,并可防止意外将数据保存到错误的文件夹中。此外,每张图像的重要参数可一同保存,以供将来参考。

易于使用的研究级成像显微镜 APX100系统的图像管理功能

6. 为众多研究应用提供灵活的成像选择

APX100显微镜支持多种玻片、培养皿和微孔板研究成像应用。您可以将多通道、拼接、延时和Z堆栈采集等内置成像方法任意组合使用,以适应您的研究方案。此外,还可以通过明场、相衬、荧光和渐变对比采集图像。

渐变对比由Evident公司开发,是一种独特的透射观察方法,有助于采集到令人印象深刻的高对比度三维图像。通过这段简短的视频可以了解更多关于渐变对比的知识:

有了这些成像选项,您就可以采集到一系列令人惊叹的出版级质量的图像。以下是可以使用APX100台式荧光显微镜获得的一些应用图像示例。

多通道图像

简单易用的多通道成像荧光显微镜 BPAE细胞。染色剂:小鼠抗α微管蛋白、BODIPY FL山羊抗小鼠IgG、德克萨斯红X环肽和DAPI。

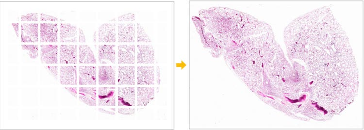
拼接图像

使用易用型显微镜采集的小鼠肺部图像 使用UPLXAPO4X物镜采集的小鼠肺部。染色剂:HE。

Z堆栈图像

使用易用型显微镜采集的Z堆栈图像 中心体蛋白kendrin/中心粒周蛋白的亚细胞定位。染色剂:中心粒周蛋白绿色,α微管蛋白红色,DNA蓝。
图像数据承蒙京都府立医科大学解剖学系和发育生物学系的Kazuhiko Matsuo博士提供。

延时图像

延时观察小鼠受精卵。

提示:如果需要使用荧光共振能量转移(FRET)、全内反射荧光(TIRF)、进行超过2天的延时实验,或使用超分辨率显微镜,那么 IXplore倒置显微镜就是理想之选。欢迎您联系我们的专家,讨论您的成像和研究需求。

要了解有关APX100显微镜成像能力的更多信息,并查看更多示例图像,请访问我们的APX100图库。欢迎在线了解APX100显微镜的所有功能,或联系您当地的销售代表安排演示。

Taichi Yoshikura

Taichi Yoshikura

生命科学部营销传播管理员

Taichi Yoshikura在日本东京Evident主导全球的生命科学营销传播团队。他拥有早稻田大学文科学士学位,自2016年起在Evident工作。