全玻片成像

X Line高品质物镜和VS200研究级全玻片扫描系统

联系我们

提升图像质量

平场性、数值孔径和色差校正全方面提升,能够获取清晰、高分辨率、具有优异色彩还原的图像, 可以清楚地观察重要的评估因素,例如组织颜色,细胞形态和细胞核中的微粒。

精准拼接

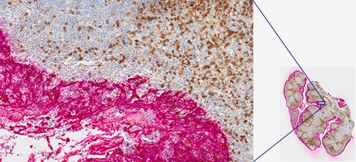
Tonsil CD3(rm),ImmPRESS试剂(HRP)抗小鼠Ig标记DAB(棕色),AE1 / AE3(m)ImmPRESS(AP)(HRP)抗兔IgG标记Vector Red(红色)。 用苏木精QS复染(蓝色)。 样品由Vector Labs提供。

精准拼接

扩展的图像平场性提高了相邻视野之间图像拼接的准确性。 因此,使用VS200获取的高分辨率虚拟切片图像无缝拼接在一起,不存在不均匀现象,并且从宏观到微观都保持了准确的聚焦。

优异的多通道成像

400–1000 nm的宽色差校正可帮助您更准确地叠加不同波长的荧光图像。 您还可以高速获取四通道以上的高质量荧光切片图像。

优异的多通道成像

用Ultivue PD-L1试剂盒多重试剂盒在VS200上以20倍成像的肺组织; Dapi:核复染色,FITC:CD8,TRITC:CD68,Cy5:PD-L1,Cy7:panCK。
图片数据由Ultivue Inc.提供

相关产品

VS200

VS200

  • 定量分析的优异图像质量
  • 灵活适用于多种应用
  • 更少时间获取更多数据
  • 简洁的工作流程

了解更多

VS200不用于临床