SLIDEVIEW VS200 für die digitale Pathologie

Kontakt

Alle Objektträger. Alle Details. Alle Möglichkeiten.

Mit unserem fortschrittlichsten Objektträgerscanner sind Anwendungen von der High-End-Forschung bis zur spezialisierten digitalen Pathologie möglich.

Der SLIDEVIEW Universal-Scanner für komplette Objektträger, dem mehr als einem Jahrhundert Erfahrung in der Präzisionsoptik zugrunde liegt. Er ist für die Erfassung einer Vielzahl an Proben und Färbungen auf Objektträgern verschiedener Abmessungen in mehreren Vergrößerungen und fünf vielseitigen Bildgebungsmodi konzipiert.

Durch die hervorragende Qualität der Darstellung kompletter Objektträger erschließt sich das volle Potenzial der Proben für zuverlässige bahnbrechende Entscheidungen.

Der SLIDEVIEW DX VS200 Scanner ist ab jetzt mit der CE-Kennzeichnung der EU IVDR* über In-vitro-Diagnostika für den Einsatz in der klinischen Diagnostik in Europa versehen. Mehr dazu in unserer Ankündigung >>

*Verfügbar ab Juli 2025

Broschüre als Download

FISH-Analyse, 40X
H&E-gefärbtes Gewebe, 40X

Aussagekräftige Bilder. Zuverlässige Ergebnisse.

Mit bis zu sechs leistungsstarken X Line Objektiven, True Color LED-Beleuchtung und farbkorrigierten Kameraprofilen liefert das SLIDEVIEW VS200 System klare Aufnahmen von kompletten Objektträgern. Der Scanner wurde für eine konsistente Reproduktion von Proben- und Färbemerkmalen entwickelt, um die Notwendigkeit erneuter Scans zu minimieren und effiziente Diagnosen zu unterstützen.

Mit erweiterten Bildgebungsmodi und anpassbaren Einstellungen werden mehr Probendetails sichtbar

Entdecken Sie mehr Details in Ihren Proben mit fünf Bildgebungsmodi – Hellfeld, Polarisation, Fluoreszenz, Dunkelfeld und Phasenkontrast – mit der Möglichkeit, mehrere Techniken in einem einzigen Scan zu kombinieren. Diese Flexibilität erweitert die Optionen zur Untersuchung von histologischen und zytologischen Proben, in der Routinepathologie bis hin zur komplexen molekularen Darstellung von Krebsgewebe.

Menschliches Knorpelgewebe, aufgenommen mit dem X Line UPLXAPO10X Objektiv mit fünf verschiedenen Bildgebungsmodi

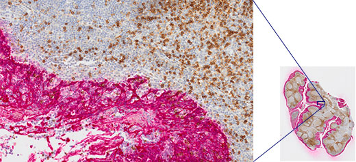
Tonsille CD3 (rm), ImmPRESS Reagenz (HRP) Anti-Maus-IgG Immpact DAB (braun), AE1/AE3(m) ImmPRESS (AP) (HRP) Anti-Kaninchen-IgG Immpact Vector Red (rot). Gegenfärbung mit Hämatoxylin QS (blau).
Bildquelle: Vector Labs.

Mehr sehen mit flexiblen Hardware- und Softwareoptionen

Mehr als nur einfaches Scannen

Schnellere, einfachere Arbeitsabläufe

  • Dank der einfachen Benutzeroberfläche mit Schnell- und Experten-Modus ist die Software leicht zu erlernen und zu verwenden, ohne dass die Flexibilität eingeschränkt wird.
  • Es können unterschiedliche Proben von Immunfluoreszenz bis hin zu Knochenmarksproben und Amyloidregionen gescannt und in den digitalen Workflow integriert werden.
  • Durch Speichern und Abrufen von Einstellungen können sich wiederholende Arbeitsabläufe und standardisierte Vorgänge beschleunigt werden.

Scannen von verschiedenen Probentypen in einem Batch

  • Unterstützt mehrere Objektträgertypen, -größen und -färbungen.
  • Erkennt automatisch verschiedene Formate und scannt sie im selben Stapel, was die Effizienz und den Durchsatz erhöht.

KI-gestütztes Scannen für smartere Beurteilungen

  • Die KI-gesteuerte Probenerkennung hilft bei der Identifizierung von Zell- und Geweberegionen und verbessert die Scangenauigkeit, selbst bei schwach gefärbten Proben, während die Speicherungsanforderungen optimiert werden.
  • Eine Automatisierung spart Zeit und Aufwand und steigert die Präzision beim Scannen, sodass selbst bei komplexen Proben zuverlässige Beurteilungen möglich sind.
  • Die TruAI Technologie ermöglicht eine hochpräzise Erkennung, Segmentierung und Messung von Zellen für eine markerfreie Beobachtung und Analyse.

Workflow

Maximieren Sie die Produktivität und optimieren Sie Ihre Arbeitsabläufe

Automatisierte digitale Objektträgerverwaltung

Die einfache Integration in bestehende PACS, Bildverwaltungssysteme oder digitale Arbeitsabläufe und die Unterstützung von HL7-, FHIR-, ODBC-, HDD- und DICOM-Standards gewährleisten die Interoperabilität zwischen vorhandenen Arbeitsabläufen.

Speichern, teilen und zusammenarbeiten

Ortsunabhängige Verwaltung großer Bilddateien mit der optionalen Net Image Server (NIS) SQL-Datenbank. Speicherung und sichere Weiterleitung von Bildern mit unserem webbasierten Bildbetrachter OlyVIA, um in Echtzeit mit externen Beratern zusammenzuarbeiten.

Schnelle Digitalisierung mit integriertem Support

Arbeiten Sie schneller mit einem effizienten digitalen und synchronisierten Arbeitsablauf, bei dem Sie während des gesamten Prozesses durch Anleitungen unterstützt werden. Unser globales Experten-Team unterstützt Sie bei der Optimierung Ihres gesamten digitalen Pathologieprozesses, vom Scannen der Objektträger bis zu Bildverbesserungen und Datenverwaltung.

Image server connected to internet

Das kommt als nächstes!

Erweitern Sie Ihre Fähigkeiten mit zunehmenden Anforderungen

Der Scanner, den Sie heute benötigen, mit der Flexibilität zur Erweiterung, wenn sich die Prioritäten im Labor ändern. Ganz gleich, ob Sie Multiplex-Fluoreszenz für die Erkennung von Krebssignaturen erfassen, polarisiertes Licht für die Untersuchung von Amyloiden in Hirngewebe verwenden oder großformatige Proben auf histologische Merkmale hin analysieren möchten – der SLIDEVIEW VS200 Scanner lässt sich an alle Herausforderungen anpassen.

Vor Ort aufrüstbare Optionen ermöglichen die Erweiterung der Funktionen bei minimaler Ausfallzeit:

  • Beginnen Sie mit einem Single-Tray-System und rüsten Sie auf den Loader mit hoher Objektträgerkapazität auf, wenn die Anzahl der Proben zunimmt.
  • Sie können jederzeit Fluoreszenzfunktionen oder zusätzliche Vergrößerungen hinzufügen, wenn sich die Bildgebungsanforderungen ändern.

https://adobeassets.evidentscientific.com/content/dam/mis/vs200/media/videos/SLIDEVIEW%20VS200_USCAP.mp4

Mehr erreichen in der digitalen Pathologie

Kombinieren Sie den SLIDEVIEW VS200 Scanner mit unserem SLIDEVIEW VS-M1 System, um die Möglichkeiten in Ihrem Labor mit einem speziellen Scanner für die digitale Pathologie zu erweitern. Das SLIDEVIEW VS-M1 System wurde für Labore mit hohem Probendurchsatz entwickelt und liefert schnell hochwertige Bilder mit integrierten Workflows für die gängigsten pathologischen und zytologischen Proben. Durch die Kombination dieser Systeme kommen Sie der hundertprozentigen Digitalisierung Ihrer Proben einen großen Schritt näher.

Haftungsausschluss

Dieses Produkt ist für die Verwendung im Labor bestimmt. Es ist Sache der Kunden sicherzustellen, ob das Produkt und seine Funktionen für die jeweiligen Einsatzgebiete und Anwendungen geeignet sind.

Für eine vollständige Liste der in Ihrer Region verfügbaren Optionen und Konfigurationen klicken Sie hier oder kontaktieren Sie den zuständigen Evident Vertreter.

Produkte, die mit dieser Anwendung zusammenhängen

VS200

Mit unserem fortschrittlichsten Objektträgerscanner sind Anwendungen von der High-End-Forschung bis zur spezialisierten digitalen Pathologie möglich. Das SLIDEVIEW VS200 System ist für die Erfassung einer Vielzahl von Proben und Färbemitteln mit mehreren Vergrößerungen, flexiblen Objektträgergrößen und fünf vielseitigen Bildgebungsmodi konzipiert. Durch die hervorragende Qualität der Darstellung kompletter Objektträger erschließt sich das volle Potenzial der Proben.

Mehr erfahren