Protisten, Pflanzen und Tiger: Unsere beliebtesten Mikroskopbilder im August 2021

september-2021-kerry-israel-banner.jpg

Kerry Israel

Kerry Israel

15 September, 2021

Von eukaryotischen Organismen über Blätter bis hin zu Nieren – unsere beliebtesten Bilder im August 2021 erstrahlen in vielen bunten Farben. Sehen Sie sich die farbenfrohen Aufnahmen unten an.

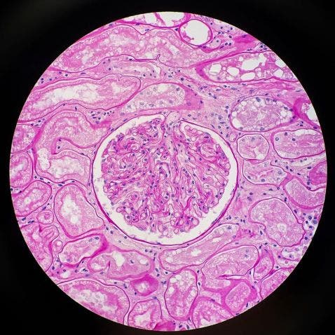
Mit Periodsäure-Schiff gefärbte Niere eines Tigers

Das Bild zeigt den Schnitt aus der Niere eines Tigers, die mit Periodsäure-Schiff (PAS) gefärbt wurde.

„Die Nieren haben die Aufgabe, das Blut zu filtern. Dabei werden die Abfallstoffe entfernt und gesammelt, um mit dem Urin ausgeschieden zu werden. Die Nieren sind auch für die Regulierung des Salz-, Wasser- und Mineralstoffhaushalts in unserem Blutkreislauf verantwortlich.

Der Glomerulus ist dabei meiner Meinung nach der Star. In diesem Knäuel von Kapillaren innerhalb der Niere beginnt der Filtrationsprozess. Die kleinen Moleküle wie Wasser und Abfallstoffe werden herausgefiltert und wandern hinunter zu den Tubuli. Auf dem Weg durch den Tubulus werden wichtige Stoffe wieder in den Blutkreislauf zurückgeführt, während die Abfallstoffe in einen Sammelkanal gelangen und schließlich mit dem Urin ausgeschieden werden.“

Bild und Beschreibung mit freundlicher Genehmigung von Kate Murphy. Aufgenommen mit dem Olympus Mikroskop BX40.

Mehrere Spinalganglien

Dieses Mikroskopbild mit dem treffenden Titel „Tree of Nerve“ (Nervenbaum) ist keine Pflanze oder Blume, sondern eine Gruppe von Nerven. Die Blüten bestehen aus Spinalganglien und Schwann-Zellen-Explantatkulturen, während die Äste und Stämme von Ischiasnerven stammen, die auf Schwann-Zellen und Neurofilament angefärbt wurden.

Bild mit freundlicher Genehmigung von Diara Santiago Gonzalez. Aufgenommen mit einer Olympus Disk Scanning Unit (DSU).

Baumwollblatt unter dem Mikroskop

Unser nächstes Bild ist ein vergrößerter Blick auf ein Baumwollblatt, das mit einem speziellen blauen Rheinbergfilter aufgenommen wurde. Die Rheinbergbeleuchtung ist eine Form der optischen Färbung und eine auffällige Variante der Dunkelfeld-Beleuchtung mit geringer bis mittlerer Leistung, bei der Präparat und Hintergrund mittels farbiger Gelatine oder Glasfilter in reichen Farben dargestellt werden.

Der Querschnitt des Baumwollblattes zeigt eine komplexe, netzartige Struktur, die aus Xylem (lila), Phloem (hellblau) und mehreren Fasern besteht.

Noch unglaublicher als das Bild selbst ist, dass es von einem Biologen und Fotografen einer Sekundarschule in Südkorea aufgenommen wurde. Wir lieben es, junge Wissenschaftler in Aktion zu sehen.

Bild mit freundlicher Genehmigung von @minjunsmicroworld. Aufgenommen mit dem Olympus Mikroskop CX21.

Strahlentierchen-Skelett

Im Rahmen unserer Serie „Erforschung der mikroskopischen Welt mit X Line™ Objektiven“ mit Håkan Kvarnström zeigen wir jeden Monat ein neues Bild vom mikroskopischen Leben in den Teichen in und um den Königlichen Stadtpark in Stockholm. Das Bild dieses Monats zeigt die faszinierende Form des Skeletts eines Strahlentierchens, das mit dem DIC-Kontrastverfahren und der Focus-Stacking-Technik (20X) aufgenommen wurde. Diese Skelettreste bilden Kieselschlamm, eine Art Sediment, das sich ablagert und 15 % des Meeresbodens ausmacht!

Bild mit freundlicher Genehmigung von Håkan Kvarnström. Aufgenommen mit einem Olympus Mikroskop BX51 mit X Line-Objektiven.

Protisten unter dem Mikroskop

Acantharia sind Protisten (Organismen, deren Zellen einen Zellkern aufweisen und die keine Tiere, Pflanzen oder Pilze sind), die häufig symbiotische Algen enthalten können. In dieser engen Beziehung zwischen Algen und Protisten kann sich ein spezialisierter Nährstoffkreislauf entwickeln. Aufgrund ihrer Form und Größe sind Acantharia in Plankton leicht zu identifizieren. Ihre Skelette bestehen aus Strontiumsulfat (SrSO4). Sie gehören zu den wenigen Organismen, die hauptsächlich aus diesem Sulfatsalz bestehen.

Bild mit freundlicher Genehmigung von Gabrielle Corradino. Wenn Sie mehr über ihre Arbeit erfahren möchten, lesen Sie unser Interview im Discovery Blog.

Bonus-Video!

Was Sie hier sehen, ist ein Blatt während der Photosynthese, die auf Hochtouren läuft. Schauen Sie sich genau an, wie sich die scheibenförmigen Chloroplasten in einem regelmäßigen Kreislauf um die Zellen bewegen und dabei fast jedes Mal den gleichen Weg nehmen. Ermöglicht wird dies durch Proteinmaschinen, die wie Transportbänder arbeiten, um die grünen Organellen zu bewegen und sie gleichmäßig dem Licht auszusetzen.

Video mit freundlicher Genehmigung von Benedikt Pleyer.

Wenn Sie mehr Bilder wie diese sehen wollen, folgen Sie uns auf Instagram: @olympuslifescience!

Möchten Sie Ihre eigenen Bilder vorstellen? Besuchen Sie unsere Website zur Bildereinreichung.

Kerry Israel

Kerry Israel

Manager, Marketing Communications

Kerry Israel is the Manager of Marketing and Communications for Life Science at Evident. She has a Bachelor of Arts degree from Brandeis University, and more than 15 years of experience in all aspects of marketing, from advertising and social media strategy to grassroots outreach.