Was ist Hellfeldmikroskopie?

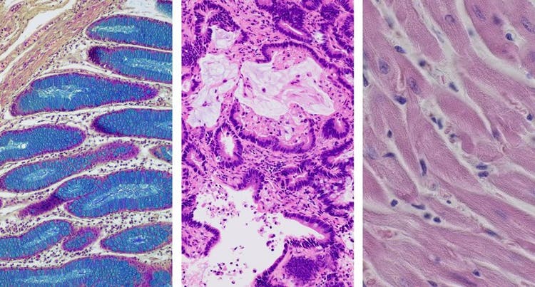
Hellfeldaufnahmen eines Dickdarms, einer HE-gefärbten Mauslunge und eines HE-gefärbten Schnitts durch ein Mausherz

Taichi Yoshikura

Taichi Yoshikura

10 August, 2023

Die Hellfeldmikroskopie ist eine der am häufigsten verwendeten Mikroskopiemethoden in der Biologie und der Medizin. Es handelt sich um eine einfache und zuverlässige Methode, mit der Proben im Detail untersucht und visualisiert werden können. In diesem Beitrag wird erläutert, was Hellfeldmikroskopie ist, wie sie funktioniert und welche Vorteile und Grenzen sie hat.

Wie funktioniert Hellfeldmikroskopie?

Bei der Hellfeldmikroskopie wird eine Probe mit Licht beleuchtet und ein Bild erzeugt. Die Probe befindet sich dazu auf einem Objektträger und wird mit einer Lichtquelle, in der Regel einer Halogenlampe oder einer Leuchtdiode (LED), beleuchtet. Das Licht passiert die Probe, und ein Objektiv vergrößert das Bild und projiziert es in ein Okular oder eine Kamera. Die Probe erscheint vor einem hellen Hintergrund dunkel, daher der Name „Hellfeld“.

Welche Komponenten werden für die Hellfeldmikroskopie benötigt?

Ein Hellfeldmikroskop besteht in der Regel aus mehreren grundlegenden Komponenten:

Aufbau eines typischen Hellfeldmikroskops

Aufbau eines typischen Hellfeldmikroskops

Warum ist die Hellfeldmikroskopie eine bewährte Bildgebungstechnik?

Die Hellfeldmikroskopie ist eine einfache und kostengünstige Bildgebungstechnik, die hochauflösende Bilder liefert. Sie wird als allgemeines Bildgebungsverfahren zur Beobachtung und Begutachtung von Proben in verschiedenen Branchen eingesetzt. Die Hellfeldmikroskopie ist aus mehreren Gründen ein bewährtes Bildgebungsverfahren:

1. Einfachheit

Die Hellfeldmikroskopie ist ein einfaches und unkompliziertes Verfahren, das keine spezielle Probenvorbereitung oder Färbung erfordert. Dadurch ist diese Technik für alle Benutzer, unabhängig vom Grad der Vorkenntnisse, leicht anwendbar.

2. Geeignet für eine Vielzahl an Proben

Mit der Hellfeldmikroskopie kann ein breites Spektrum von Proben untersucht werden, von Zellen und Geweben bis zu Mineralien und Fasern. Das macht sie zu einem vielseitigen Werkzeug für viele Bereiche der Forschung und Industrie.

3. Erschwinglich

Hellfeldmikroskope sind im Vergleich zu anderen Mikroskoptypen relativ preiswert. Damit sind sie für viele Labore, Schulen und Universitäten interessant.

4. Überall erhältlich

Die Hellfeldmikroskopie ist eine weit verbreitete Technik, daher gibt es eine Vielzahl von Hellfeldmikroskopen. Die meisten Mikroskophersteller haben Hellfeldmikroskope in ihrem Produktsortiment. Somit sind auch Ersatzteile in der Regel ohne Weiteres erhältlich. Außerdem kann auf die umfangreiche Erfahrung von anderen Anwendern zurückgegriffen werden.

Hellfeldmikroskope für das Klassenzimmer

Was sind die Herausforderungen beim Einsatz der Hellfeldmikroskopie?

Die größte Einschränkung der Hellfeldmikroskopie besteht darin, dass sie nur dann gut funktioniert, wenn die Proben einen hohen Hintergrundkontrast aufweisen. So ist es beispielsweise schwierig, Proben zu untersuchen, die transparent sind oder die gleiche Farbe wie der Hintergrund haben. Außerdem kann es vorkommen, dass nicht sachgemäß vorbereitete oder gefärbte Proben unter einem Hellfeldmikroskop nicht sichtbar sind.

Wesentliche Vorteile der Hellfeldmikroskopie

Das Hellfeldmikroskop ist ein zuverlässiges und vielseitiges Bildgebungsinstrument, das in der Biologie, in der Medizin und in anderen Bereichen häufig verwendet wird. Es ist einfach zu bedienen, erzeugt hochauflösende Bilder und ist für viele Labore erschwinglich.

Wenn Sie mehr über Hellfeldmikroskopie erfahren möchten oder ein hochwertiges Mikroskop für Ihr Forschungs- oder Lehrlabor benötigen, wenden Sie sich an unser Expertenteam. Von uns erhalten Sie Antwort auf Ihre Fragen! Kontaktieren Sie uns noch heute und machen Sie den ersten Schritt, um Hellfeldmikroskopie in Ihrer Forschung zu nutzen.

Taichi Yoshikura

Taichi Yoshikura

Supervisor, Marketing Communications, Life Science Division

Taichi Yoshikura leitet das Global Life Science Marketing Communication Team bei Evident in Tokio, Japan. Er hat einen Bachelor of Arts der Waseda University und ist seit 2016 bei Evident tätig.