Olympus has teamed up with Ultivue and Visiopharm to provide complete solutions for biomarker cell phenotyping. Learn more!

Biomarker Cell Phenotyping Solutions

Kontakt

Contact Us

Olympus has teamed up with Ultivue and Visiopharm to provide complete solutions for reagents, slide scanning, and quantitative analysis in biomarker cell phenotyping research. Leveraging the expertise of each company in linear multiplexing reagents, fast- and high-resolution multimode slide scanning, and AI-powered software assays, we have assembled a powerful set of tools to advance your discovery and preclinical digital pathology workflows.

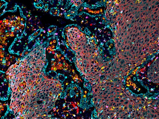
ULTIVUE Ultimapper™ Kits for Human Biomarker Multiplexing

ULTIVUE Ultimapper™ Kits for Human Biomarker Multiplexing

  • Fast and comprehensive exploration of biologically relevant markers
  • Fully optimized off-the-shelf staining kits providing same-day results
  • Variety of kits available, up to 8-plex, for powerful and quantitative phenotyping with true colocalization
  • Higher plex services available
  • Compatible with Olympus VS200 research slide scanning systems

Learn more

VS200 Research Slide Scanner

  • Multimode, high precision scanning
  • Simplified and powerful workflow
  • Up to 210 slides with autoloader
  • Optimized X Line optical system providing high-quality images for improved quantitative results

Learn more

VS200 Research Slide Scanner
Visiopharm Analysis Software

Visiopharm Analysis Software

  • Quantitative digital pathology solutions
  • Fast, objective, reproducible
  • Wide range of application modules
  • Multiplex phenotyping

Contact us

Predicting responses to drugs, chemicals, and devices and identifying the potential of these agents to cause cancer are critical components in the safety assessment process of drug discovery. The VS200 slide scanner’s rapid digitalization of glass slides eases both toxicology and pathology research, facilitating the image analysis of organs and tissues for morphological evaluation. Using this slide scanning system as a toxicologic pathology tool, research pathologists can identify injury at the cellular, subcellular, and molecular levels to help determine the adverse effects of drugs, chemicals, and devices.

VS200 Slide Scanner for Toxicology and Pathology Research

  • Multimodal scans with brightfield, polarization, darkfield, and fluorescence
  • Automatic tissue identification
  • Multiple slide formats, from standard slides to large glass plates
  • Comprehensive web server for data sharing
VS200 Toxicology and Pathology

Biomarker Cell Phenotyping Solutions - Fragen & Kommentare

Kontakt

Integrieren Sie Objektive in ein anderes Gerät?

Subscribe to Evident Scientific E-newsletter

Please, choose division

wissenschaftliche ForschungBiotechnologieklinische Anwendungen or KlinikAusbildungWirkstoffforschungRegenerative MedizinOEM KomponentenNewsletter

Ich stimme den Nutzungsbedingungen zu und habe die Datenschutzerklärung gelesen*

Send e-mail to TAC
Send E-mail to TAC (TSG Americas only)

VISIOPHARM® is a registered trademark of Visiopharm A/S.
ULTIVUE is a registered trademark of Ultivue, Inc.
Ultimapper™ is a trademark of Ultivue, Inc.