Application Notes

Contact Us

Evaluating Sample Preparation of Stone Tools: Effects of Cleaning on Surface Measurements

evaluating_sample

Executive Summary

Use-wear analysis reconstructs how archaeological tools were used through the identification of traces left on the surfaces of stone tools. Traditional analysis uses optical microscopy to visually identify wear traces. In recent years, a proliferation of new use-wear methods have been developed that can be used to quantify functional traces on stone tools. Many of these methods focus on the quantification of surface roughness, measuring topographic features at small scales to understand variation in surface texture created by varying contact materials such as antler, meat, and wood.

One method that shows particular promise uses the Olympus LEXT OLS4100 laser scanning confocal microscope to characterize surface texture. Outlined here are the results of measurements taken with the LEXT OLS4100 to understand the effects of various cleaning methods on the surface roughness of experimental stone tools used to cut wheat.

Currently, there is little consensus between use-wear analysts on how to adequately clean stone tools prior to analysis. Standardization is integral to the development of use-wear analysis and for continued research into the quantification of wear traces as it allows for comparability between the results from different researchers. The high-resolution images and surface measurements produced by the LEXT OLS4100 make this microscope uniquely qualified to contribute to this discussion. In this research, experimental stone tools were subjected to three levels of cleaning: 1) the tools were cleaned with alcohol, 2) then soap and water, and finally 3) chemical cleaning with potassium hydroxide (10%) and hydrochloric acid (10%). These three stages of cleaning represent commonly used techniques of sample preparation and are increasingly invasive.

The results of this study contribute to the standardization of sample preparation and highlight the applications of the LEXT OLS4100 for further use-wear studies. The aims of this study were to:

  1. Test whether different commonly used cleaning protocols affect surface roughness measurements
  2. Present the visual effects of different cleaningprotocols on a worn stone tool surface

Laser Scanning Confocal Microscopy & Use-Wear Quantification

3d_image_stone_tool
Figure 1: Three-dimensional image taken with an LSCM of a stone tool used for harvesting wheat. The tool’s edge is oriented toward the bottom of the screen.

The use of laser scanning confocal microscopy (LSCM) is becoming increasingly popular in archaeological studies of stone tool use-wear quantification. LSCM has the ability to characterize surface texture by constructing 3D models of surface features, producing quantitative measurements of surface roughness that are useful for distinguishing polishes from different contact materials (Figure 1).

Harvesting Experiment Setup

harvesting_field
Figure 2: Harvesting field located outside the town of St. Vallier de Thiey.

In August 2011, harvesting experiments were conducted in Southern France (organized and directed by Dr. Patricia Anderson, Centre National de la Recherche Scientifique). The experiments took place over five days, with three days dedicated to cutting the field, one day to threshing the wheat, and one day to winnowing the grain. The harvested field, located outside the town of St. Vallier de Thiey, was planted with einkorn wheat (Figure 2). This wheat is an early domesticated species, making it a good analog for ancient harvesting activities.

experimental_sickle

Figure 3: Experimental sickle used for harvesting experiment.

The experimental sickle used for harvesting was modeled after an archaeological piece from the Natufian occupation at Kebara Cave (Israel) (Figure 3). The sickle was armed with six chert geometric microlith stone tools (Negev chert) and was used for approximately 12,000 strokes (approx. 400 minutes). Two microlith inserts from the sickle were chosen to test differences in cleaning protocols.

Sickle Insert Analysis Methods

Two stone tool inserts from the sickle were chosen for analysis. In the first stage of analysis, the stone tools were cleaned with methyl alcohol and technical wipes, minimizing the transfer of residue from the cloth to the artifact. Once the pieces were cleaned they were scanned with the LEXT OLS4100 using the 20x objective and 50x objective respectively (Figures 4a and 5a).

For the second stage, the stone tools were cleaned with warm water and a mild detergent (nutratek) while being lightly brushed with a soft-bristled toothbrush. After cleaning they were once again scanned with the LEXT OLS4100 in the same location and at the same magnification (Figures 4b and 5b).

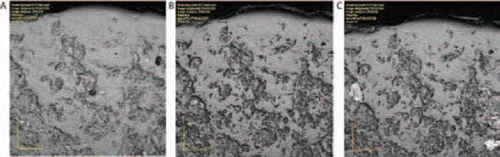
During the final stage of the analysis the stone tools were subjected to chemical cleaning (as outlined by Keeley, 1980). First they were soaked in a bath of 10% potassium hydroxide (KOH) for 10 minutes to remove organic deposits. Following this cleaning, the lithics were soaked in 10% hydrochloric acid (HCL) for 10 minutes to remove any mineral deposits. Finally, they were bathed in clean water to remove any remaining chemical traces. Scans were taken of the microliths after the final cleaning stage (Figures 4c and 5c). Thus, the lithics were subjected to increasingly invasive cleaning techniques during each stage of analysis.

stone_tool1
Figure 4: Stone tool #1 a) cleaned with alcohol, b) cleaned with soap and water, c)cleaned with KOH (10%) and HCL (10%).

evaluating_sample
Figure 5: Stone tool #2 a) cleaned with alcohol, b) cleaned with soap and water, c)cleaned with KOH (10%) and HCL (10%).

Data Analysis & Results

The overall results of the study indicate that alcohol cleaning is not sufficient for either visual interpretation of use-wear (Figures 4a and 5a) or for use-wear quantification. The data summarized in Figure 6 shows that surface measurements of average roughness for tool #1 cleaned with alcohol has a high variance. For tool #2, the piece has a high variance and a high average roughness measurement (Figure 7). This is likely due to the presence of greases (which have a smooth texture) and of particulate matter (which is rough) along with the texture found on the worn surface creating a highly variable surface. This interpretation is further corroborated with the visual assessment of the images, where grease and other particles can be clearly seen on the surface (Figures 4a and 5a). Cleaning with a detergent removed the grease and much of the particulate residue, resulting in measurements with lower variance for both tools. For tool #2, the mean roughness for the tool cleaned with detergent was significantly lower than the mean roughness of just alcohol cleaning (Figure 7). Finally, the surfaces cleaned with the acid and alkali method appear free from small particulate matter (Figures 4c and 5c). Thus, the texture variation is reduced considerably in the surface roughness measurement of the chemically cleaned pieces. This is particularly evident in tool #1, where there is a clear reduction in the variance of the surface roughness between the surface cleaned with nutratek and the surface cleaned with chemicals. It is interesting to note there is little difference in mean surface roughness between the cleaning with detergent and cleaning with chemicals for tool #2 suggesting that the soap cleaning was sufficient for this particular tool.

experimental_sickle

Figure 6: The average roughness for stone tool #1 with alcohol, nutratek, and chemical cleaning.

experimental_sickle

Figure 7: The average roughness for stone tool #2 with alcohol, nutratek, and chemical cleaning.

Summary

This research shows that differences in cleaning practices do have an effect on measured surface texture. In addition, visual differences can be seen between the different cleaning stages, with visible grease and particles on the tools cleaned with alcohol. This highlights sample preparation as an important area of methodological research for use-wear analysis. To ensure only surface texture is measured, we would recommend acid/alkali cleaning prior to imaging for metrological purposes. Clear differences in the measurements between detergent cleaning and chemical cleaning in tool #1 suggest that chemicals are needed to remove all adhering materials from the lithic surface. However, for visual assessment the tools cleaned with soap and water provided adequate cleaning if chemical facilities are not available.

This case study presents a new application of laser scanning confocal microscopy for the measurement of stone tool surfaces, contributing to the continued standardization of use-wear analysis. These cleaning techniques can now be applied to archaeological assemblages to gain a better understanding past behaviors through stone tool use.

Acknowledgements

Thank you to Richard Leach (National Physical Laboratory, UK) for use of the LEXT OLS4100 and his ongoing collaboration.

Danielle Macdonald thanks Patricia Anderson for inviting her to be part of the experimental harvesting work during the summer of 2011. Macdonald’s work on this project was supported by a University of Toronto School of Graduate Studies Travel Grant.

LEXT OLS5500

Hybrid 3D Optical Profilometer

  • Traceable surface measurements from the nanometer to micrometer scale
  • Laser scanning microscopy (LSM), white light interferometry (WLI), and focus variation microscopy (FVM) in one award-winning platform
  • First 3D optical profilometer to offer guaranteed accuracy and repeatability* for both LSM and WLI measurements
  • WLI mode delivers up to 40x faster measurement throughput than conventional LSM
  • Exceptional precision across surfaces with in-house engineered optics
  • Intuitive interface and smart automation streamline operation for users of all levels
  • AI-enhanced and high-throughput workflows with PRECiV™ software integration

*Based on Evident’s internal research as of October 2025. The guaranteed accuracy and repeatability apply only if the device has been calibrated according to the manufacturer’s specifications and is in defect free condition. Calibration must be performed by an Evident technician or an Evident-authorized specialist.

Learn More

LEXT OLS5100

The LEXT™ OLS5100 laser scanning microscope combines exceptional accuracy and optical performance with smart tools that make the system easy to use. The tasks of precisely measuring shape and surface roughness at the submicron level are fast and efficient, simplifying your workflow and delivering high-quality data you can trust.