Acetanilide Crystallites
Ague Tree
Amphibian Lung
Arteriole Stained
Augite Section
Augite in Basalt
Blowfly Mouth Parts
Bolting Cloth
Neuron Culture
Butternut Tree Section
Cast Iron Grain
Cat Cryptococcus
Computer Chip
Daphnia Egg Case
DDT Pesticide
Digestive Tissue Cells
Dogfish Scales
Dogwood Section
Ductile Cast Iron
Ephedrine Sulfate
Epidermis
Feline Spinal Cord
Fern Stalk Section
Fern Stalk Longitudinal
Ferrosilicon Alloy
Fetal Mouse Tissue
Fibroblast Nuclei
Foraminifera Plankton
Granophyre Section
Graphite Particles
Gray Cast Iron
Hair Shaft Section
Hippuric Acid
Human Bone
Human Intestine
Skin Capillaries
Insect Antennae
Jellyfish Mantle Edge
Kidney Stained Tissue
Leaf Scale
Leaf Stomates Cells
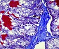
Lung Tissue
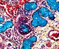
Lung Tissue with Movat
Carbon Steel
Mouse Fibroblast
Oxalic Acid
Plant Stem
Potassium Chlorate
Redwood Tree
Resorcinol Crystallites
Sea Urchin Spine
Skin Sebaceous Gland
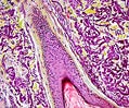
Skin Hair Follicle
Skin Hair Shaft
Sponge Spicule
Striated Muscle
Sycamore Tree
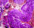
Thyroid Gland
Titanium Oxide
Tongue Stained
Urea Crystallites
Vitamin B-6
Vitamin C
Water Flea
Water Lily Leaf
Western Larch
Whelk Palate
Wood Section