/en/microscope-resource-center/nav
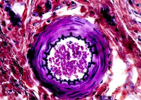
Arteriole Stained Thin Section

Arteriole Stained Thin Section

The vascular system is one of the first developments in an embryo because transporting fluids is a fundamental need of growing life forms. As components of the vascular system, arterioles are small tubes that branch from arteries and are important in the conveyance of blood.