Amphibian Skin
Bacteria
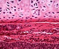
Bald Scalp
Bracken Fern
Cerebrum
Lycopodium
Ductus Deferens
Epididymis
Fern Spores
Frog Epithelium
Frog Muscle Tissue
Pigmented Skin
Hemlock Leaf
Horsetail Strobilus
Cerebral Cortex
Immature Testes
Keloid Scar Tissue
Cardiac Muscle
Cerebellum
Hyaline Cartilage
Graafian Follicle
Mammalian Kidney
Smooth Muscle
Mammalian Testes
Marchantia Liverwort
Oleander Leaf
Optic Nerve
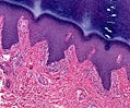
Palmar Skin
Pine Needle
Pine Stem
Plantar Skin
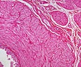
Prostate Gland Old
Prostate Gland Young
Columnar Epithelium
Salamander Liver
Thyroid Gland
Zamia Stem