/en/microscope-resource-center/nav
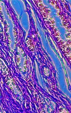
Lymph Node Carcinoma

Lymph Node Carcinoma

A stained thin section of human lymph node reveals damage caused by a carcinoma. As evidenced by this micrograph, combining phase contrast microscopy with classical histological staining techniques often yields enhancement of cellular features.