/en/microscope-resource-center/nav
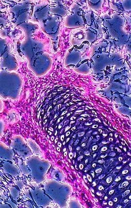
Mammalian Cartilage

Mammalian Cartilage

Cartilage is a dense network of collagen fibers, embedded in a firm but plastic-like gelatinous substance, covered by a membrane called the perichondrium. The beautiful image presented above is a phase contrast photomicrograph of a thin section of cartilage that has been stained with eosin and hematoxylin.