Notas de aplicación

Contacta con nosotros

Procesamiento de imágenes de la respuesta de esferoides en la evaluación de la eficacia de fármacos/medicamentos

Índice

  1. Procesamiento de imágenes de la respuesta de esferoides a un medicamento (oscilación del ion calcio)
  2. Observación multipunto de la quimioluminiscencia a partir de placas multipocillo
  3. Observación a largo plazo a través de perfusión media y adición de sustrato automatizada
  4. Observación de la embriogénesis de la mosca de la fruta

1. Procesamiento de imágenes de la respuesta de esferoides a un medicamento (oscilación del ion calcio)

Los organoides (u orgánulos) y los esferoides (agregados de células) son modelos 3D que a menudo responden de modo más similar al tejido vivo real si se les compara con la evaluación convencional que emplea células cultivadas 2D. Existe una creciente necesidad por organoides y esferoides en la investigación del desarrollo de medicamentos para las aplicaciones de evaluación de eficacia de estos últimos. En igual medida, el interés por el procesamiento de imágenes de luminiscencia, que implica el uso de proteínas de luminiscencia (LP) en lugar de proteínas de fluorescencia (FP), está en aumento debido a las ventajas que aporta como la reducción de la fototoxicidad y la ausencia de ruido de fondo de fluorescencia.

En la investigación de los ligandos en los receptores acoplados a proteína G (GPCR) a nivel celular, representando el grupo molecular diana principal para los productos farmacéuticos, las oscilaciones en la concentración de ion calcio son usadas a menudo como indicador. Pero, esto no es motivo de preocupación con la quimioluminiscencia (CL), la cual no requiere luz de excitación, a diferencia de la fluorescencia, la autofluorescencia de esferoides y otras estructuras. Gracias a esta característica de las sondas CL, el procesamiento de imágenes con quimioluminiscencia goza de potencial al medir las oscilaciones en la concentración del ion calcio en esferoides, a la vez que mantiene una alta relación señal-ruido (SNR) y una cuantificación precisa. En consecuencia, sensores de luminiscencia del calcio con nanolinterna mejorada verde (eNL) —GeNL (Ca2), 520 (41)— han sido introducidos en esferoides creados a partir de células cultivadas. Tras la estimulación con histamina, que es un ligando del receptor GPCR H1 para esferoides, se probó la observación continua a largo plazo de las oscilaciones en la concentración intracelular del ion calcio (21). El resultado fue una observación exitosa de las señales luminosas generadas por el GeNL(Ca2)_520, con una óptima relación señal-ruido (SNR) durante un período de 50 minutos (Figura 2).

Condiciones de observación
Células HEK293T: Cultivo de una semana en una placa de 96 pocillos con base en U en el que fueron introducidos virus adenoasociados de forma transitoria con sensores de ion calcio de quimioluminiscencia [(GeNL(Ca2)_520)]
Recipiente de observación: Placa multipocillo de 96 pocillos con base en U
Medio de observación: DMEM/F-12 (Gibco) con 10 % de suplemento FBS
Sustrato luminiscente: 10 µM de furimazina (Promega).
Estimulación celular: 2 µM de histamina.
Microscopio: Sistema de procesamiento de imágenes de luminiscencia* basado en el sistema IXplore™ Live.
Lente objetivo: UPLSAPO20X (A. N. de 0.75). Adaptador de cámara: 0.5x.
Cámara EM-CCD: Andor iXon Ultra 888 (Ganancia de multiplicador de electrones [EM] de 1000x). Tiempo de exposición: 20 segundos/foto. Fijación: 1 × 1

Figura 1. Proceso del activador del sensor GeNL(Ca2+)_520 de (izq.) en ion calcio con quimioluminiscencia (izq.) y ejemplo de un sistema de imágenes de luminiscencia basado en el sistema IXplore Live (der.)

Video 1. Observación con luminiscencia de las oscilaciones del ion calcio provocadas por la estimulación con histamina (barra de escala: 500 µm)

Mediciones de las oscilaciones en la concentración del ion calcio provocadas por la estimulación con histamina

Figura 2. Mediciones de las oscilaciones en la concentración del ion calcio provocadas por la estimulación con histamina

Imagen de campo claro
Imagen de luminiscencia
Imagen superpuesta
Imagen de luminiscencia con pseudocolor (verde)

2. Observación multipunto de la quimioluminiscencia a partir de placas multipocillo

Al cribar nuevas moléculas candidatas a fármacos a partir de la biblioteca de compuestos, es necesario llevar a cabo un análisis de alto contenido de las células cultivadas en una placa multipocillo con el fin de analizar múltiples fenotipos celulares, como la concentración de iones intracelulares y los cambios en la morfología celular. Por ende, el uso de proteínas quimioluminiscentes de alta luminosidad es efectivo, ya que captura cambios en la morfología y el movimiento celular de forma cuantitativa y con alto contraste.

Mediante un procesamiento de imágenes con quimioluminiscencia para la detección de fármacos/medicamentos y la evaluación de la eficacia, en una placa multipocillo, se cultivaron células que expresan proteínas quimioluminiscentes. Se ejecutaron escaneos multipunto automatizados y reiterados en cada pocillo mediante el uso de una platina motorizada; posteriormente, se ejecutó un análisis de los datos adquiridos por el procesamiento de imágenes a partir de todos los pocillos. Esto permitió la adquisición de imágenes a partir de toda la placa multipocillo en sólo unos minutos. Como resultado, se pudo observar exitosamente imágenes de baja magnificación desde los pocillos de la microplaca, así como imágenes de alta magnificación relativas a la morfología de las células individuales con alto contraste. En la Figura 3, se muestran imágenes de las células con campos de visión (o visuales) que van de 1 mm a 100 μm. El experimento demostró que puede lograse un análisis celular de alto rendimiento y alto contenido mediante el uso de un sistema de procesamiento de imágenes con quimioluminiscencia que incorpore un microscopio capaz de ejecutar escaneos multipunto.

Condiciones de observación
Células HeLa: Expresión estable de la proteína de quimioluminiscencia con alto brillo, y nanolinterna mejorada con amarillo.
Recipiente de observación: Placa multipocillo de 96 pocillos con base plana
Medio de observación: HBSS(-) (Sigma)
Sustrato luminiscente: 10 µM de Furimazina (Promega)
Microscopio: Sistema de procesamiento de luminiscencia* basado en el sistema IXplore Live. Lente objetivo: UPLFLN10X2PH (A. N. de 0.3). Adaptador de cámara: 0.5xbr/>. Cámara EM-CCD: Andor iXon Ultra 888 (Ganancia de multiplicador de electrones [EM] de 1000x). Tiempo de exposición: 1 segundo/foto. Fijación: 2 × 2

Células cultivadas en placas de múltiples pocillos a 1 mm, 500 µm y 100 µm y capturadas usando el procesamiento de imágenes con luminiscencia a partir del escaneo multipunto

Figura 3. Células cultivadas en placas de múltiples pocillos a 1 mm, 500 µm y 100 µm y capturadas usando el procesamiento de imágenes con luminiscencia a partir del escaneo multipunto

3. Observación a largo plazo a través de perfusión media y adición de sustrato automatizada

Con objeto de evaluar la eficacia de fármacos/medicamentos, la observación de las células durante un período prolongado es esencial para llegar a un análisis detallado de los efectos. Puesto que requieren un característico tiempo de maduración corto y una vida media, las luciferasas han sido reconocidas durante mucho tiempo como genes reporteros eficaces para controlar la dinámica de la expresión génica a lo largo del tiempo. Además, dado que no requieren luz de excitación como ocurre con la fluorescencia, al usar sondas luminiscentes para aplicaciones de procesamiento de imágenes a largo plazo, se reduce la fototoxicidad celular. Sin embargo, esta técnica requiere un sustrato luminiscente (luciferina); por tanto, es importante proporcionar un suministro estable de luciferina a las células.

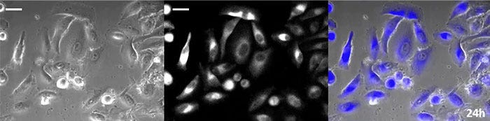
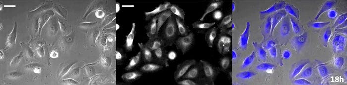
La luciferina de tipo coelenteracina posee un brillo especialmente alto; no obstante, su oxidación en la célula tras un corto período de tiempo conlleva a que sea agregada adecuadamente, lo que es esencial en las aplicaciones de observación a largo plazo. Para dar solución a este problema, se ejecutó la perfusión de células con una proteína luminiscente de alta intensidad, al mismo tiempo que un dispositivo de adición de sustrato automatizado agregó automáticamente la coelenterazina para que la luminiscencia pudiera ser monitoreada continuamente. Como resultado, se logró monitorizar la imagen luminiscente en combinación con el procesamiento de imágenes de contraste de fase durante más de 24 horas (Figura 4).

0 horas

Figura 4-1 0 horas

6 horas

Figura 4-2 6 horas

12 horas

Figura 4-3 12 horas

18 horas

Figura 4-4 18 horas

24 horas

Figura 4-5 24 horas

Condiciones de observación
Células HeLa†: Expresión estable de la proteína de quimioluminiscencia con alto brillo, y nanolinterna mejorada con amarillo.
Recipiente de observación: Placa con fondo de vidrio de 35 mm
Medio de observación: DMEM/F-12 (Gibco) con 10 % de suplemento FBS
Sustrato luminiscente: Coelenteracina H de 2,5 mM (FUJIFILM Wako Pure Chemical Corp.), 1,2 µL/7,5 minutos
Caudal de perfusión: 40 µL/minuto. Drenaje medio: 10 mL/hora aprox.
Microscopio: Sistema de procesamiento de imágenes de luminiscencia* basado en el sistema IXplore Live
Lente objetivo: UPLFLN40XPH (A. N. de 0.75). Adaptador de cámara: 0.5x.
Cámara EM-CCD: Andor iXon Ultra 888 (Ganancia de multiplicador de electrones de 1000x). Tiempo de exposición: 5 minutos/foto. Intervalo de captura: 7,5 minutos. Fijación: 1 × 1

4. Observación de la embriogénesis de la mosca de la fruta

La evaluación de la eficacia de los medicamentos mediante el uso de organismos modelo es esencial para desarrollar la siguiente etapa de ensayos clínicos. En los últimos años, las moscas han atraído mucha atención a modo de excelente material para la investigación de enfermedades humanas. Por ejemplo, el medicamento Vandetanib, descubierto a través del desarrollo y uso de un modelo de cáncer de tiroides medular de mosca, ha sido aprobado como medicamento de tratamiento para humanos por la FDA.

Ahora bien, a pesar de que se usan a menudo proteínas fluorescentes como indicadores para monitorear la expresión genética en los organismos modelo vivos, es necesario considerar una variedad de problemas, como la transmisión de luz a partir de los embriones y la autofluorescencia en respuesta a la luz de excitación. Por el contrario, el procesamiento de imágenes con luminiscencia no requiere luz de excitación, lo que elimina la mayoría de estos problemas. En el caso de este experimento, la D-Luciferina que se mezcló con extracto de levadura fue introducida en larvas del tercer estadio, y los cambios en la expresión genética Engrailed a través del proceso de embriogénesis de la mosca de la fruta fueron monitoreados a lo largo del tiempo usando este compuesto como indicador. Los resultados mostraron que la luminiscencia podía detectarse en lo profundo de la crisálida, a través de la cubierta de la pupa, y logramos observar en tiempo real los cambios en los sitios de expresión y el nivel de expresión durante el proceso de transformación (Video 2).

Imagen de luminiscencia
Imagen de luminiscencia con pseudocolor

Video 2. Procesamiento de imágenes con luminiscencia de embrión de mosca de la fruta (barra de escala: 500 µm)

Condiciones de observación
Mosca de la fruta: Reportero de luminiscencia en expresión genética Engrailed (luciferasa: Pmat)
Tras la administración de la D-Luciferina mezclada con extracto de levadura a la larva del tercer estadio, las pupas se colocaron en una placa de 24 pocillos para su observación.
Microscopio: Sistema de procesamiento de imágenes de luminiscencia* basado en el sistema en vivo IXplore Live Lente del objeto: UPLFLN4XPH (A. N. de 0.13), adaptador de cámara: 0.5x
Cámara EM-CCD: Andor iXon Ultra 888 (ganancia de multiplicador de electrones [EM] de 300x). Tiempo de exposición: 120 segundos/foto. Fijación: 1 × 1

Agradecimientos

Estas notas de aplicación fueron elaboradas con la ayuda de los siguientes investigadores:
Prof. Kenji Nagai y Prof. asistente Mitsuru Hattori
Instituto de Investigación Científica e Industrial de la Universidad de Osaka, Laboratorio Nagai

Las muestras de los embriones de mosca de la fruta fueron preparadas con la ayuda de los siguientes investigadores:
Prof. Toshie Kai y Prof.a asistente Ritsuko Sugiyama
Facultad de Graduados Frontier Biosciences, Universidad de Osaka, Laboratorio de Biología Reproductiva

*El sistema de procesamiento de imágenes con luminiscencia que se usó para estos experimentos es el resultado del desarrollo colaborativo entre el Prof. Kenji Nagai et al. del Instituto de Ciencia y Tecnología de la Universidad de Osaka, Tokai Hit Co. Ltd. y Olympus Corporation. Forma parte de un programa avanzado de desarrollo de equipamiento/tecnología de análisis y medición con la combinación de componentes de productos existentes, como el microscopio Olympus IXplore Live. Si bien este sistema en particular sólo está disponible en ciertas regiones, Evident Life Sciences ofrece soluciones de luminiscencia similares a sus clientes del mundo. Póngase en contacto con su representante de ventas local de Evident para obtener más detalles.

Trabajos citados:
Biochem. Biophys. Rep., 23 (2020) 100771

†Nota: Las células HeLa son una de las cepas celulares más importantes y conocidas para la investigación médica y el desarrollo científico. Han contribuido a importantes descubrimientos en inmunología, enfermedades infecciosas e investigación del cáncer, y han planteado serias dudas sobre la ética en el campo de la medicina. Visite el cibersitio http://henriettalacksfoundation.org/ para obtener más información sobre la vida de Henrietta Lacks y su contribución a la medicina moderna.

Productos usados para esta aplicación

Sistema microscópico para imágenes de células vivas

IXplore Live

  • Utilice el controlador en tiempo real de Olympus para los datos relevantes a nivel fisiológico con una mínima alteración celular
  • Mantenga la viabilidad celular durante el procesamiento de imágenes con varias opciones de control ambiental
  • Mantenga el enfoque de forma precisa y fiable en experimentos a intervalos gracias al sistema de enfoque automático (compensación de deriva en Z) del hardware Olympus
  • Descubra la forma real de sus células gracias a los objetivos de inmersión de silicona de Olympus

Más información