Imágenes de portaobjetos completos a través de medios de inmersión en aceite: Preguntas frecuentes (FAQ)

april-2021-dr-daniel-göttel-banner.jpg

Dr. Daniel Göttel

Dr. Daniel Göttel

1 abril, 2021

El escáner de portaobjetos dedicado a la investigación SLIDEVIEW VS200 es conocido por sus potentes capacidades que capturan imágenes digitales de alta resolución a partir de portaobjetos de vidrio completos.

Más allá de las características estándar del sistema, éste puede ser optimizado para trabajar con medios de inmersión gracias a un dispensador de líquido opcional y objetivos de inmersión en aceite o silicona de alta resolución. Estas funciones contribuyen a maximizar la resolución y la calidad de la imagen.

¿Le despierta curiosidad saber cómo funciona? Continue su lectura y obtenga las respuestas a las preguntas más frecuentes que se formulan sobre el procesamiento de imágenes con medios de inmersión.

¿Cómo funciona el dispensador de líquido VS200?

El escáner de portaobjetos usa una bomba de aire comprimido para suministrar un volumen definido de gotas sobre la superficie del portaobjetos. La cantidad de gotas que se dispensan depende dinámicamente del área de escaneo real. Éstas son contadas mediante un contador de gotas de fotodiodo que se halla en el interior del cabezal dispensador.

Este método dinámico de dispensación de líquido es exclusivo de los sistemas VS200 y asegura que se aplique la cantidad apropiada del medio de inmersión en un portaobjetos, como también que el medio de inmersión no caiga al escáner desde el portaobjetos.

Si desea visualizar el dispensador de líquido en acción, mire el siguiente pequeño video.

Videos asociados

¿Cómo mejoran los medios de inmersión en aceite la calidad de las imágenes adquiridas a partir de los portaobjetos?

La microscopía de inmersión en aceite aumenta el índice de refracción de una muestra para lograr una alta resolución óptica y calidad de imagen. Los portaobjetos preparados con técnicas de inmersión en aceite funcionan mejor con alta magnificación, ya que los aceites aumentan la refracción a pesar de distancias focales cortas.

¿Qué tipo de objetivos de inmersión en aceite pueden usarse con el escáner de portaobjetos VS200?

En el caso del procesamiento de imágenes con inmersión en aceite para campo claro y fluorescencia, existen tres opciones de objetivos disponibles de la X Line: los objetivos apocromáticos prolongados de aceite UPLXAPO de 40X, 60X y 100X.

¿Cómo se aplican las diferentes magnificaciones en el procesamiento de imágenes de portaobjetos completos?

La opción de magnificación de 40X ofrece un gran campo visual para un escaneo más rápido, mientras que los objetivos de alta magnificación (60X y 100X) brindan más detalles a una velocidad de escaneo más lenta.

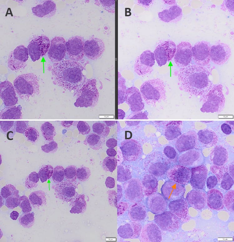
A continuación, se da un ejemplo real de cómo se aplican estas magnificaciones. Se escanea una muestra de sangre periférica humana (Figura 1, a continuación) de una leucemia mieloblástica aguda (APL) mediante un objetivo de aceite UPLXAPO de 40X con un A .N. de 1.4 (Figura 2 - A y C) y un objetivo de aceite UPLXAPO de 60X con un A. N. de 1.42 (Figura 2 - B y D).

Procesamiento de imágenes de portaobjetos completos de una muestra de sangre periférica

Figura 1. Muestra de sangre periférica humana de una leucemia aguda promielocítica, escaneada con el escáner de portaobjetos dedicado a la investigación VS200. Imágenes por cortesía de Jana Kirsten, Instituto de Química Clínica y Medicina de Laboratorio del Centro Médico Universitario de Regensburg.

En esta aplicación, la sangre periférica muestra los promielocitos neoplásicos con núcleos bilobulados o gránulos extremos (Figura 2, flecha naranja). Estos promielocitos neoplásicos también se hallan en la médula ósea, así como en las células blásticas mieloides en las que se hay haces completos de bastones de Auer (flecha verde en A, B y C). Es importante tenerlos en cuenta si se sospecha una APL.

Procesamiento de imágenes de portaobjetos completos que contienen células blásticas mieloides con bastones de Auer

Figura 2: (A) Blasto mieloide con bastón de Auer adquirido a través de una magnificación de 40X, pero aumentada digitalmente a 60X. (B) Mismo blasto adquirido con una magnificación de 60X y mostrado con una resolución nativa. (C) Misma imagen que la A, pero con una resolución nativa de 40X. (D) Blasto con gránulos a través de magnificación de 60X.

La leucemia promielocítica (LMP) puede confirmarse después de evidenciarse una translocación recíproca t (t15; 17) por medio de la hibridación fluorescente in situ (FISH). Como resultado de este cambio cromosómico estructural, aparece una fusión de dos genes en el cromosoma 15 (PML) y el cromosoma 17 (receptor de ácido retinoico, alfa [RARα]). Los pacientes que padecen leucemia promielocítica (PML) progresiva pueden ser tratados con ácido transretinoico (ATRA).

Al comparar la imagen A (40X) con B (60X) en la Figura 2, se muestra el beneficio del objetivo de aceite UPLXAPO de 40X dotado de una A. N. de 1.4, ya que los bastones de Auer y los gránulos aún son claramente visibles con esta magnificación más baja. Además, el tiempo de escaneo con el objetivo de 40X fue un 50 % más rápido en comparación con el objetivo de 60X (tiempo de escaneo para un área de 1 × 1 cm: 40X = 4:40 minutos y 60X = 10:30 minutos).

¿Cómo los objetivos de la X Line optimizan el procesamiento de imágenes de portaobjetos completos?

Todos los objetivos de la X Line proporcionan:

¿Qué tipos de objetivos de inmersión en silicona pueden usarse con el escáner de portaobjetos VS200?

En el caso de medios de inmersión en silicona, hay tres opciones disponibles: Objetivos superapocromáticos de aceite de silicona UPLSAPO de 40X, 60X y 100X.

¿Cómo benefician los objetivos de inmersión en silicona al procesamiento de imágenes de portaobjetos completos?

Los objetivos de inmersión en silicona ofrecen una amplia apertura numérica y una larga distancia de trabajo, lo que permite obtener imágenes estables, a largo plazo y de alta resolución, que no sufren cambios de temperatura.

Dr. Daniel Göttel

Dr. Daniel Göttel

Gerente de asistencia en ventas

Daniel Göttel posee un doctorado en Genética Humana, otorgado por el Centro Alemán de Investigación Oncológica en Heidelberg (Alemania). Trabajó durante muchos años como especialista de aplicaciones para sistemas de escaneo de portaobjetos virtuales, y ha adquirido experiencia práctica especializada en campo. Daniel es ahora gerente de asistencia en ventas para el escáner de portaobjetos dedicado a la investigación SLIDEVIEW™ VS200 y la base de datos SQL de Net Image Server de Evident.