Système SLIDEVIEW VS200 pour l’anatomopathologie numérique
Chaque lame. Chaque détail. Un monde de possibilités.
De la recherche de pointe à l’anatomopathologie numérique spécialisée, menez à bien tous vos projets avec notre scanner de lames le plus avancé.
Fruit de plus d’un siècle d’expertise en optique de précision, le scanner universel d’imagerie de lames entières SLIDEVIEW™ VS200 est conçu pour prendre des images d’une large variété d’échantillons et de marquages, avec de multiples niveaux de grossissement, divers formats de lames et cinq modes d’imagerie polyvalents.
La qualité d’image exceptionnelle de l’ensemble de la lame permet à votre laboratoire de tirer le meilleur parti de vos échantillons et de prendre des décisions déterminantes en toute confiance.
Le SLIDEVIEW DX VS200 est désormais certifié CE conformément au règlement IVDR* de l’Union européenne, pour une utilisation dans le cadre de diagnostics cliniques en Europe. Apprenez-en plus dans notre annonce >>
* Disponible en juillet 2025
Des images fiables et des résultats sûrs
Le système SLIDEVIEW VS200, capable d’accueillir jusqu’à six objectifs haute performance X Line™, est doté de l’éclairage True Color LED et de profils de caméra à correction colorimétrique, ce qui lui permet de produire des images de lames entières d’une grande clarté. Conçu pour assurer une reproduction fidèle et constante des caractéristiques des échantillons et des marquages, ce scanner réduit au minimum le besoin de reprendre des images des échantillons et permet de poser un diagnostic plus efficacement.
Voyez plus de détails grâce aux modes d’imagerie avancée et aux paramètres adaptables
Voyez davantage de détails dans vos échantillons grâce à cinq modes d’imagerie – fond clair, lumière polarisée, fluorescence, fond noir et contraste de phase – et à la possibilité de combiner plusieurs techniques en une seule numérisation. Cette flexibilité ouvre la porte à de multiples possibilités pour l’observation d’échantillons d’histologie et de cytologie, allant de l’anatomopathologie de routine à la caractérisation moléculaire avancée de tissus cancéreux.
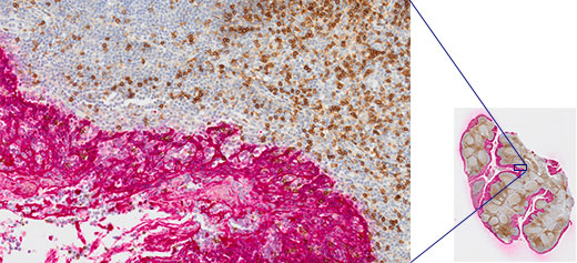
CD3 d’amygdale (rm), anti-IgG de souris (réactif ImmPRESS [PR]) + substrat Immpact DAB (brun), anticorps AE1/AE3 (m) + anti-IgG de lapin (ImmPRESS [PA] [PR]) + substrat Immpact Vector Red (rouge). Contre-coloration à l’hématoxyline QS (bleue).
Données d’images reproduites avec l’aimable autorisation de Vector Labs.
Voyez-en plus avec des options matérielles et logicielles flexibles
- Choisissez le grossissement de numérisation le plus adapté, de 2X à 100X, avec n’importe quel objectif de la gamme d’Evident.
- Notre distributeur d’huile automatisé, associé à un objectif à immersion dans l’huile, permet de réaliser des numérisations à fort grossissement.
- Le dispositif de sectionnement optique VS-SILA (« Speckle Illumination Acquisition ») produit des images de type confocal des échantillons épais.
Des numérisations au-delà de l’usuel
Des processus plus rapides et plus simples
- Une interface utilisateur intuitive, avec des modes rapide et expert, permet une prise en main facile du logiciel sans limiter sa flexibilité.
- Une large gamme d’échantillons – des préparations d’immunofluorescence aux échantillons de moelle osseuse, en passant par les tissus contenant des dépôts amyloïdes – peuvent être numérisés et intégrés à votre flux de travail numérique.
- Enregistrez et rappelez des réglages pour accélérer les procédures répétitives et standardiser les opérations.
Numérisez différents types d’échantillons en un seul lot
- Il prend en charge une variété de types et de tailles de lames, ainsi que divers marquages.
- Il détecte automatiquement différents formats et les numérise dans un même lot, optimisant ainsi l’efficacité et la cadence.
Des numérisations assistées par l’IA pour des examens plus intelligents
- La détection des échantillons guidée par l’IA permet de repérer les cellules et les tissus sur la lame, améliorant ainsi la précision de la numérisation – même pour les échantillons faiblement colorés – tout en optimisant l’utilisation de l’espace de stockage.
- L’automatisation permet de gagner du temps et de réduire les efforts, en plus de renforcer la fiabilité des examens, même dans les cas complexes.
- La technologie TruAI™ est capable de détecter, de segmenter et de mesurer les cellules non marquées avec une haute précision, ce qui permet d’éviter de marquer les cellules avant l’observation et l’analyse pour un gain de temps considérable.
Déroulement des opérations
Maximisez votre productivité, simplifiez le déroulement de vos opérations
Gestion automatisée des lames numériques
Son intégration simple aux systèmes PACS, aux systèmes de gestion d’images et aux opérations numériques existants, ainsi que sa compatibilité avec les normes HL7, FHIR, ODBC, HDD et DICOM, garantissent l’interopérabilité entre toutes les opérations de votre laboratoire.
Stockez, partagez et collaborez
Gérez vos fichiers d’image volumineux depuis n’importe où grâce à la base de données SQL de Net Image Server (NIS) en option. Stockez des images et partagez-les en toute sécurité avec notre visionneuse d’images Web OlyVIA pour collaborer en temps réel avec des consultants à distance.
Passez rapidement au numérique grâce à l’assistance intégrée
Travaillez plus rapidement grâce à un déroulement synchronisé et efficace des opérations numériques, guidé par des instructions fournies à chaque étape. Notre équipe internationale de spécialistes est prête à vous aider à optimiser l’ensemble de votre processus d’anatomopathologie numérique — de la numérisation des lames à l’amélioration de l’imagerie, en passant par la gestion des données.
Prêt à relever les défis de demain
Des capacités qui évoluent en fonction de vos besoins
Il s’agit du scanner dont vous avez besoin aujourd’hui, mais doté de la flexibilité nécessaire pour évoluer avec les priorités de votre laboratoire. Que vous ayez besoin d’observer de la fluorescence multiplexée pour la découverte de marqueurs du cancer, d’utiliser la lumière polarisée pour étudier les amyloïdes dans les tissus cérébraux, ou d’analyser des échantillons grand format à la recherche de caractéristiques histologiques, le scanner SLIDEVIEW VS200 s’adapte à vos besoins pour relever chaque défi.
Les options pouvant être mises à niveau sur site vous permettent d’étendre vos capacités avec un minimum d’interruptions :
- Commencez avec un système à plateau unique, puis passez au chargeur à haute capacité lorsque votre charge de travail augmente.
- Ajoutez des fonctionnalités de fluorescence ou des niveaux de grossissement supplémentaires à tout moment, en fonction de l’évolution de vos besoins en imagerie.
Faites-en plus en anatomopathologie numérique
Associez le SLIDEVIEW VS200 à notre système SLIDEVIEW VS-M1 pour étendre les capacités de votre laboratoire grâce à un scanner dédié à l’anatomopathologie numérique de routine. Conçu pour les laboratoires à haute cadence, le SLIDEVIEW VS-M1 fournit rapidement des images de haute qualité et comporte des procédures intégrées pour les échantillons d’anatomopathologie et de cytologie les plus courants. Ensemble, ces systèmes vous rapprochent de l’objectif de numériser la totalité de vos échantillons.
Avis de non-responsabilité
Ce produit est destiné à être utilisé en laboratoire. Le client est responsable de vérifier que les performances du produit sont adéquates pour l’usage ou l’application envisagés.
Pour obtenir la liste complète des options et des configurations disponibles dans votre région, cliquez ici ou contactez le représentant Evident de votre région.
Produits liés à cette application
VS200
De la recherche de pointe à l’anatomopathologie numérique spécialisée, menez à bien tous vos projets avec notre scanner de lames le plus avancé. Le système SLIDEVIEW™ VS200 est conçu pour produire des images de haute qualité à partir d’une grande variété d’échantillons et de colorations, avec plusieurs niveaux de grossissement, des formats de lames flexibles et cinq modes d’imagerie polyvalents. La qualité d’image exceptionnelle sur l’ensemble de la lame permet à votre laboratoire de tirer le meilleur parti de vos échantillons.