Six façons d’améliorer l’imagerie de recherche grâce aux caméras couleur modernes pour microscopes

march-2021-stephan-fliegel-banner.jpg

Stephan Fliegel

Stephan Fliegel

16 mars, 2021

Les caméras couleur modernes pour microscopes continuent de progresser et de révolutionner notre façon de travailler, d’enseigner et de collaborer. Par exemple, les derniers ajouts à notre série DP, soit les caméras numériques pour microscopes DP28 et DP23, offrent une reproduction fidèle des couleurs et des fonctionnalités intelligentes qui permettent aux chercheurs d’analyser des échantillons sur un moniteur avec précision et confiance.

Lisez la suite pour découvrir six façons dont ces caméras couleur modernes améliorent l’imagerie dans les domaines des sciences de la vie et de la recherche clinique.

1. Les couleurs réelles des échantillons et fluorophores peuvent être visualisées sur un grand écran

L’observation des couleurs constitue l’une des principales méthodes permettant de différencier les aspects pertinents d’un échantillon. Il est donc essentiel que votre caméra numérique pour microscope puisse reproduire avec précision les couleurs naturelles ou celles des colorants telles qu’elles apparaissent à travers l’oculaire.

Les caméras DP23 et DP28 utilisent un système intelligent de gestion des couleurs pour offrir une fidélité chromatique exceptionnelle. Les profils de couleurs ICC intégrés préservent les variations de couleurs subtiles pour afficher les échantillons dans leurs couleurs naturelles, de sorte que l’apparence des fluorophores est conforme à vos attentes.

La gestion des couleurs fonctionne également en temps réel : les profils sont appliqués en mode « Live » pour fournir la meilleure fidélité chromatique possible, à la vitesse la plus élevée possible. Cela signifie que vous pouvez saisir une image directement à partir du mode « Live » sans vous soucier de la qualité des couleurs.

Pour maximiser les avantages de la fidélité chromatique, combinez la caméra DP28 ou DP23 avec notre source de lumière à DEL TruColor pour le microscope BX53. Vous obtiendrez alors un système complet qui fournit en tout point une excellente fidélité chromatique.

2. Profitez d’une qualité d’image de nouvelle génération lorsque vous observez les détails des échantillons

En microscopie, une résolution plus élevée (ou plus de pixels par pouce) permet la saisie d’un niveau de détail plus élevé pour l’analyse de structures d’échantillon fines.

La caméra DP28 offre une résolution 4K époustouflante (8,9 mégapixels) et permet ainsi l’affichage de fins détails d’échantillon, même sous un faible grossissement. Cela signifie qu’une seule capture instantanée peut montrer un aperçu d’un échantillon et contenir suffisamment de détails pour que vous puissiez zoomer et voir les structures fines. Puisqu’il n’est pas nécessaire de passer à un grossissement plus élevé pour obtenir toutes les informations dont vous avez besoin, l’analyse et la présentation des échantillons sont plus efficaces.

Notre caméra DP23, quant à elle, offre une haute résolution de 6,4 mégapixels qui permet d’obtenir des images ayant le niveau de détail requis pour la plupart des applications des sciences de la vie et de recherche clinique.

3. Une plus grande zone d'échantillon est visible grâce à un champ de vision plus large

Une autre des caractéristiques utiles de nos caméras est leur capacité à offrir une imagerie à champ large. Les deux caméras offrent un grand champ de vision avec un indice de champ (FN) allant jusqu’à 25 (avec les microscopes compatibles) afin que vous puissiez observer une plus grande zone d’échantillon à la fois.

Ces images à champ large restent nettes au centre comme en périphérie et permettent ainsi une imagerie et une analyse efficaces. Pour optimiser cet avantage, combinez la caméra avec les plus récents composants optiques, par exemple nos objectifs X Line haute performance pour profiter d’une planéité exceptionnelle, ou nos adaptateurs de caméra conçus pour offrir un champ de vision très large (indice de champ 25).

4. Profitez d’images en temps réel fluides lors de l’observation de vos échantillons et de vos discussions à leur sujet

Si vous avez besoin d’images en temps réel fluides et sans distorsion sur votre moniteur pour la collaboration, les présentations ou l’analyse d’images, ne cherchez pas plus loin : utilisez la caméra DP28.

Grâce à un obturateur global et à la plus récente technologie de capteur CMOS, cette caméra assure l’équilibre entre les fréquences d’images élevées et la résolution. Visualisez des images en résolution 4K à 32 images par seconde (ips) ou des images en pleine HD et en temps réel à 64 ips (la fréquence d’images maximale qu’un moniteur standard peut afficher). Il en résulte des mouvements fluides comme si vous regardiez à travers les oculaires, même sur de grands écrans.

La caméra DP23 offre également une fréquence d’images élevée qui permet l’obtention d’images en temps réel fluides. Saisissez des images en haute résolution à 30 ips ou des images en pleine HD à 60 ips.

5. Collaborez efficacement en ayant des discussions locales ou à distance

Puisque les laboratoires suivent les politiques de distanciation sociale, l’apprentissage à distance est devenu courant. Il est donc important d’avoir un moyen de partager des images et de susciter l’intérêt de son auditoire virtuellement. Les caméras DP23 et DP28 fournissent des outils de collaboration intuitifs et des images réalistes qui permettent de bien faire participer les scientifiques ou les étudiants avec qui vous interagissez.

Affichez ou partagez toutes vos données essentielles (images, annotations et mesures en temps réel) localement ou à distance en utilisant le logiciel cellSens et la solution NetCam, ou la fonction de partage d’images à distance optionnelle du module autonome de commande de caméra.

Ces outils de collaboration facilitent la discussion et le partage d’images fluides en temps réel. Les données sont partagées en toute sécurité grâce à la prise en charge de protocoles de sécurité réseau comme NIST et GDPR, ainsi qu’à la prise en charge optionnelle d’un antivirus.

6. Travaillez plus rapidement grâce à des caméras faciles à configurer et à utiliser

Pour terminer, les caméras DP23 et DP28 offrent une configuration simple qui vous permet de vous mettre au travail rapidement. Aucun adaptateur c.a. distinct n’est requis : il suffit de brancher le cordon d’alimentation de la caméra dans le port USB 3.1 de votre ordinateur. La caméra démarre rapidement pour que vous puissiez commencer tout de suite à profiter de l’imagerie.

Pour plus de flexibilité, vous pouvez choisir de commander la caméra au moyen du module autonome pour économiser de l’espace sur la paillasse ou au moyen du logiciel cellSens pour bénéficier de fonctionnalités supplémentaires. Les deux options ont une interface utilisateur intuitive qui simplifie le processus d’acquisition d’images. Dans la plupart des cas, vous pouvez acquérir des images en un clic, ce qui augmente l’efficacité du flux opérationnel.

Les caméras utilisent l’automatisation pour optimiser les paramètres en temps réel. Saisissez facilement la meilleure image possible grâce à des fonctionnalités intelligentes, notamment les suivantes :

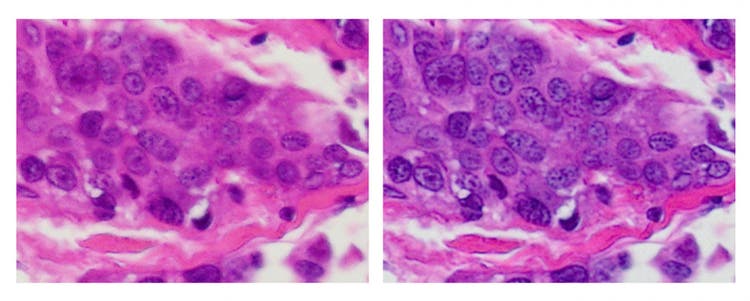
Système « Olympus Smart Image Averaging » (OSIA) : réduit le bruit et les artefacts tout en maintenant une fréquence d’images rapide.

Réduction du bruit à l’aide du moyennage d’images dans les caméras numériques pour microscopes

Sans système OSIA (à gauche) vs avec système OSIA (à droite)

Intensification de la mise au point : contribue à l’identification des zones nettes sur les échantillons grâce à une aide visuelle à la mise au point qui affiche les zones nettes en couleur et les zones floues dans un calque gris sur une image affichée en temps réel ; cette fonction est particulièrement utile pour l’observation de spécimens épais.

Fonction d’intensification de la mise au point dans les caméras pour microscopes

Sans intensification de la mise au point (à gauche) vs avec intensification de la mise au point (à droite)

Mode de contraste élevé : ajuste le temps d’exposition et les paramètres de contraste pour présenter un rapport signal sur bruit plus élevé – une fonction utile pour saisir des images claires à partir d’échantillons sombres en microscopie de polarisation et de fluorescence.

Imagerie à contraste élevé d’échantillons sombres

Saisissez des images claires à partir d’échantillons sombres grâce au mode de contraste élevé.

Imagerie rapide en temps réel : fournit une fréquence d’images constamment élevée, même lors de la production d’une imagerie à longue exposition. Obtenez des images fluides lorsque vous observez des échantillons dans des conditions de faible luminosité.

Imagerie en temps réel fluide en microscopie

Sans imagerie rapide en temps réel (à gauche) vs avec imagerie rapide en temps réel (à droite)

Caméra DP28 ou DP23 : laquelle convient à votre application?

Maintenant que vous connaissez les avantages de nos caméras, vous vous demandez peut-être laquelle convient le mieux à votre application.

Nous vous recommandons de bien comparer les caractéristiques des caméras et de tenir compte de la façon dont elles répondent aux besoins propres à vos applications. Toutefois, le choix se fait souvent en fonction de quelques caractéristiques clés :

  1. Résolution : La caméra DP28 est le bon choix si vous avez besoin d’une résolution plus élevée. Elle offre une résolution 4K (8,9 mégapixels), laquelle permet une collaboration et une observation efficaces. La DP23, quant à elle, offre une haute résolution (6,4 mégapixels) qui convient à la plupart des applications.
  2. Imagerie en temps réel : Avez-vous besoin d’images en temps réel fluides et sans distorsion? Si c’est le cas, notre caméra DP28 avec un obturateur global est une bonne option. Sinon, la caméra DP23 avec obturateur roulant fournit des images en temps réel fluides avec les détails nécessaires pour la plupart des applications.
  3. Sensibilité : La caméra DP28 offre une plus grande sensibilité que la caméra DP23 pour les applications de fluorescence.

Si vous ne savez toujours pas quelle caméra choisir, utilisez notre sélecteur de caméra en ligne pour soupeser les options ou communiquez avec nous pour discuter avec un expert en imagerie. Nous sommes toujours heureux de pouvoir vous aider.

Stephan Fliegel

Stephan Fliegel

Responsable de produit, Caméras pour microscopes optiques

Stephan Fliegel a obtenu son diplôme universitaire en génie physique avec une spécialisation en technologie des applications laser à l’université des sciences appliquées de Münster en 2007. Il a d’abord travaillé en tant que spécialiste des applications, puis en tant que responsable de produit et chargé de projet dans le domaine des lasers industriels en se concentrant sur la conception, le développement et la planification de systèmes laser propres aux clients. Il est désormais responsable de produit pour les caméras des microscopes optiques chez Evident.