Des illustrations artistiques d’histologie autopsique nous font voir la mort sous un nouveau jour

À quoi ressemble la mort observée au microscope ? Nous avons échangé avec la Dre Marianne Hamel, médecin légiste, pour en apprendre plus sur le sujet.
Marianne Hamel exerce son métier de médecin légiste dans les États de Pennsylvanie et du New Jersey, aux États-Unis. En collaboration avec Nikki Johnson, une photographe médico-légale pleine de créativité exerçant à New York City (États-Unis), Marianne Hamel expose en ce moment à la Stedman Gallery de l’université Rutgers à Camden (New Jersey, États-Unis) une série de clichés histologiques réalisés au cours d’autopsies, sous le titre « Death Under Glass ».
Ces clichés, qui offrent un rare aperçu de l’anatomie humaine après la mort, sont étonnamment beaux. Chaque échantillon est découpé en tranches extrêmement fines qui sont ensuite colorées avec une série de colorants capables de faire ressortir des éléments spécifiques de la structure subcellulaire en vue d’illustrer les effets sur le corps d’une maladie naturelle, d’un traumatisme ou d’une toxicomanie. Certaines images de la collection sont des clichés diagnostiques ayant permis aux médecins légistes de déterminer la cause de la mort ; d’autres images sont tout simplement belles et permettent d’illustrer les interactions complexes entre les tissus constitutifs du corps humain. En dehors de la galerie, Marianne Hamel partage également ses examens médico-légaux à fort grossissement sur Instagram, sous le nom @deathunderglass.
Nous avons échangé avec Marianne pour en apprendre plus sur ses illustrations artistiques d’histologie autopsique. Cet entretien donne à la Dre Hamel l’occasion de mettre en avant sa vision unique du monde en tant que médecin légiste et de nous expliquer en quoi les microscopes permettent de faire parler les images d’histologie autopsiques.

Q. : Pouvez-vous nous expliquer le rôle d’un médecin légiste, ainsi que les différences par rapport aux autres spécialités médicales ?
Dre Hamel : La différence la plus évidente entre un médecin légiste et un médecin exerçant une autre spécialité repose sur le fait que je ne m’occupe pas de patients vivants. Cela m’arrive, mais c’est très rare.
En tant que médecin légiste, mon travail consiste à déterminer la cause et les circonstances du décès dès lors que celui-ci est jugé violent ou suspect, ne s’est pas produit sous la surveillance d’un médecin ou a eu lieu dans des circonstances ayant attiré l’attention du médecin légiste local. J’y parviens en réalisant des autopsies.
Je suis intéressée par le fait de déterminer la cause et les circonstances de la mort. C’est comme essayer de comprendre l’histoire d’une pièce de théâtre alors que vous n’avez assisté qu’au dernier acte. Vous devez donc être un bon détective. C’est un métier idéal pour les personnes un peu curieuses qui aiment résoudre des casse-têtes. Vous devez être capable de travailler avec vos mains et être à l’aise avec le fait de ne pas avoir toutes les informations en votre possession.
L’autre avantage de ce métier est qu’il est idéal pour les personnes, comme moi, qui n’aiment pas s’ennuyer. Chaque jour apporte son lot de nouveautés. En effet, je peux aussi bien pratiquer des autopsies que réexaminer des affaires non résolues, regarder l’histologie ou faire des examens ponctuels. Je passe également en revue des affaires civiles et pénales pour des avocats. Si vous êtes réfractaire à la routine, ce métier est fait pour vous. Vous devez aussi avoir le cœur bien accroché, mais c’est une autre question.
Q. : Qui ou qu’est-ce qui vous a inspiré à devenir médecin légiste ?
Dre Hamel : C’est à l’âge de quatorze ans que j’ai décidé de devenir médecin légiste. Ma sœur a décidé de devenir dentiste lorsqu’elle avait 12 ans, ce qu’elle est devenue. Nous avons donc toutes les deux choisi un métier que nous exerçons aujourd’hui.
À 19 ans, après ma première année universitaire, j’ai décroché un stage aux côtés du Dr Isidore Mihalakis, médecin légiste en Pennsylvanie (États-Unis). Il a été formidable. Il m’a laissé l’accompagner tout un été, tel un caneton suivant sa mère. Nous nous sommes rendus dans des postes de police, au tribunal et sur des scènes de crime et avons rencontré des familles. J’ai porté des tubes à essai, nettoyé des scalpels et réalisé toutes les tâches susceptibles de l’aider. Ce fut une superbe expérience.
Je suis ensuite entrée en faculté de médecine. Dès le premier jour, j’ai souhaité devenir médecin légiste. Quelques années plus tard, à ma sortie de la faculté, cela n’avait pas changé. Je n’ai jamais voulu changer de spécialité. L’objectif final était de devenir une médecin légiste certifiée.
Q. : Comment utilisez-vous la microscopie dans votre travail quotidien ?
Dre Hamel : La plupart du temps, les anatomopathologistes chirurgicaux, ou les spécialistes qui lisent les biopsies et les échantillons de tissus pour gagner leur vie, cherchent principalement à poser un diagnostic. La plupart du temps, ils cherchent à vérifier si le patient est atteint d’un cancer ou non.
Ce n’est pas du tout ce que je cherche. En effet, je recherche toutes sortes d’indices. Certains diagnostics de médecine légale ne peuvent être réalisés qu’avec l’aide de la microscopie. Par exemple, la myocardite, ou l’inflammation du cœur, peut provoquer des morts soudaines ne laissant aucune trace autre que des signes histologiques. L’empoisonnement à l’antigel constitue un autre bon exemple caractérisé par la présence de cristaux en forme d’éventail dans les reins, qui peuvent être détectés en lumière polarisée. Il existe donc un grand nombre de diagnostics de médecine légale qui nécessitent l’utilisation du microscope. J’aime beaucoup travailler au microscope.
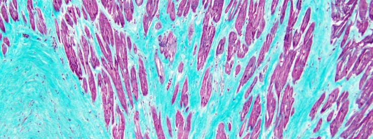
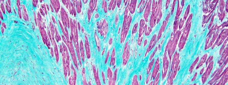
Coupe d’un cœur humain endommagé colorée au trichrome de Masson.
Les zones colorées en bleu correspondent aux tissus cicatriciels. Les zones en rouge correspondent aux cellules viables.
Image acquise avec un microscope BX43 d’Olympus équipé d’une caméra DP26.
Image reproduite avec l’aimable autorisation de Marianne Hamel.
Q. : Quels types de microscopes utilisez-vous généralement dans votre laboratoire ?
Dre Hamel : J’examine toutes mes lames à la maison avec mon excellent microscope BX43 d’Olympus, et j’utilise la lumière polarisée. La qualité des colorations spéciales dépend beaucoup de l’histologiste. L’histologie est une discipline située entre l’art et la science qui manque de reconnaissance. Si vous avez au sein de votre équipe un bon histologiste, retenez-le avec une bonne paie et montrez-lui votre reconnaissance, car nous manquons cruellement d’histologistes.
J’utilise le logiciel cellSens™ d’Olympus pour traiter et enregistrer mes images. Lorsque nous créons des images pour une exposition, nous les envoyons à un imprimeur new-yorkais spécialisé qui les imprime sur de l’aluminium.
Q. : Pouvez-vous décrire une situation où un microscope a joué un rôle important dans la résolution d’une affaire ?
Dre Hamel : Il n’y a pas longtemps, j’ai été missionnée sur une affaire dans laquelle une femme présentait une dépendance à la drogue. Ses analyses sont revenues positives à la méthamphétamine. Toutefois, lorsque j’ai analysé une coupe transversale de l’une de ses artères coronaires, j’ai pu observer que celle-ci s’était divisée en plusieurs sections. En effet, la paroi interne de son artère s’était déchirée, ce qui a créé une deuxième voie de circulation sanguine entraînant la fermeture de la voie normale.
La véritable cause de sa mort n’était pas une intoxication à la méthamphétamine. Je n’aurais jamais pu arriver à cette conclusion si je n’avais pas décidé d’observer cette artère coronaire au microscope.
Q. : Dans quelle mesure la technologie de la microscopie a-t-elle évolué au cours de votre carrière et impacté votre façon de travailler ?
Dre Hamel : Si vous regardez des images de lames prises avec un vieux microscope dans de vieux manuels, ces images sont généralement en noir et blanc. On dirait aussi qu’elles sont prises de loin à travers un banc de brouillard. Cela n’est pas de la faute du microscopiste. Il s’agit juste des limites de la technologie de l’époque.
Apprendre à lire des lames revient en quelque sorte à apprendre une langue étrangère. L’anatomopathologiste joue un rôle important puisqu’il interprète les tissus pour les autres médecins, de sorte qu’ils puissent poser un diagnostic et apporter à leurs patients un traitement adapté. L’apprentissage de cette capacité se fait par la lecture de centaines de milliers de lames en compagnie d’un autre anatomopathologiste capable de vous apprendre cette langue.
Coupe d’une artère humaine avec une coloration au pentachrome de Movat, qui utilise cinq colorants différents pour mettre en évidence les différents éléments de l’anatomie subcellulaire. Par exemple, les fibres élastiques de la paroi de l’artère, qui donnent la résistance et la résilience aux vaisseaux sanguins, apparaissent en noir lorsqu’elles sont colorées au pentachrome. Image acquise avec un microscope BX43 d’Olympus équipé d’une caméra DP26. Image reproduite avec l’aimable autorisation de Marianne Hamel.
Q. : Collaborez-vous avec d’autres professionnels dans le cadre de vos activités de médecine légale ?
Dre Hamel : Nous effectuons des analyses toxicologiques presque chaque fois. Ces analyses toxicologiques sont devenues très importantes à cause de la crise actuelle des opioïdes. Les toxicologues exercent un métier extrêmement difficile. En effet, ils doivent s’adapter au jour le jour, à mesure que la crise des opioïdes change et évolue. Par chance, ma carrière a commencé au moment où la crise des opioïdes débutait. Au cours des 12 dernières années, j’ai vu la crise changer et évoluer en temps réel.
Nous faisons parfois appel à un anthropologue. En effet, nous sommes de temps en temps confrontés à un corps partiellement ou totalement squelettisé. Aussi, je fais appel à un spécialiste en orthopédie quatre à cinq fois par an. Leur rôle est très important. Comme je l’ai déjà dit, je collabore souvent avec des histologistes. Chaque affaire présente ses propres caractéristiques ; c’est pour cette raison que je ne considère pas mon travail comme routinier. Vous devez changer d’approche pour chaque affaire.
Q. : Est-ce que certaines de ces collaborations professionnelles se sont transformées en collaboration artistique ?
Dre Hamel : Dans une certaine mesure, oui, puisque d’autres anatomopathologistes m’ont envoyé leurs lames en me disant : « Elles sont très belles. Vous devriez jeter un œil. » Certaines d’entre elles ont terminé dans l’exposition, ce qui est formidable. Ils ont fait preuve d’une grande générosité professionnelle.
Q. : Quand avez-vous réalisé pour la première fois que votre travail pouvait être également considéré comme de l’art ? Comment avez-vous poursuivi sur cette voie ?
Dre Hamel : Lorsque j’étais stagiaire, j’ai montré certaines des images observées au microscope à Nikki Johnson, ma partenaire pleine de créativité. Je lui ai dit : « Il serait super cool que tu puisses montrer à ces images à d’autres personnes pour qu’elles en profitent. » Elle les a regardées et m’a dit : « Leur résolution est suffisante pour pouvoir les agrandir et créer de véritables œuvres d’art. » Et c’est ce que nous avons fait.
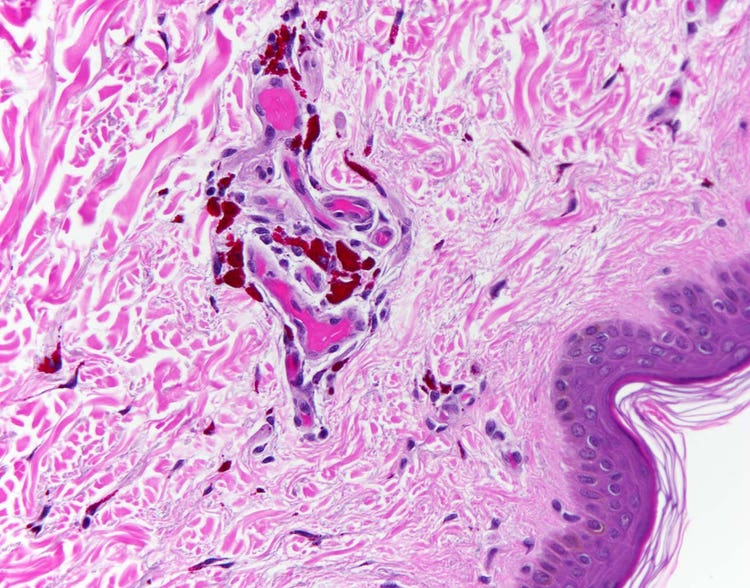
Coupe de peau humaine tatouée. Chaque granule pigmentaire est visible à fort grossissement au niveau du derme, à savoir la couche profonde de la peau. D’autres couleurs de granule pigmentaire sont observables au microscope, comme le noir, le bleu et le doré. Image acquise avec un microscope BX43 d’Olympus équipé d’une caméra DP26. Image reproduite avec l’aimable autorisation de Marianne Hamel.
Q. : Qu’est-ce que cela représente pour vous d’être exposée dans une galerie ?
Dre Hamel : C’est un peu surréaliste de voir son travail exposé dans un espace public. J’oublie régulièrement que les expositions présentées dans la galerie sont ouvertes au public. Les gens viennent me voir pour me dire : « Salut, j’ai vu ton exposition. » Et je me dis : « C’est vrai ? » Tout le monde peut entrer.
C’est très gratifiant d’avoir une idée et de la voir être transformée en quelque chose de concret. Jake Foster, le responsable de la Stedman Gallery, a fait un excellent travail de scénographie. Nous avons suspendu les images imprimées et avons fait des projections d’images en haute résolution sur le mur du fond. Les projections sont des images que nous n’avons pas imprimées, mais que nous voulions montrer. Il y a environ 25 de ces images, de sorte que cela a très bien fonctionné.
Q. : Quels messages souhaitez-vous communiquer auprès de ceux qui viennent voir votre travail ?
Dre Hamel : Un des volets passionnants de ce domaine repose sur le concept de généalogie génétique d’investigation, un domaine qui n’a que peu de rapport avec ce projet. La généalogie génétique d’investigation est une pratique qui fait appel à la recherche génétique pour identifier un suspect ou une victime lors d’affaires graves. Par exemple, l’échantillon du criminel est susceptible de ne pas être reconnu dans une base de données, ce qui peut ne pas être le cas de celui d’un des membres de sa famille. La généalogie permet d’utiliser des arbres généalogiques familiaux pour réduire le nombre de suspects à quelques personnes, voire une seule. Cela n’aurait jamais été possible auparavant. Si votre suspect n’était pas dans la base de données, nous n’avions aucune chance.
La généalogie génétique d’investigation est un domaine incroyablement puissant. Elle a permis dernièrement de résoudre quelques affaires que je croyais impossibles à résoudre. J’ai hâte de voir comment cela va tourner. Je dis cela en pensant aux affaires criminelles sur lesquelles je travaille et qui n’ont jamais été élucidées. Au cours des prochaines années, je ne serai nullement surprise d’être appelée à la barre pour témoigner lorsque les enquêteurs auront enfin pu arrêter un meurtrier.
Q. : Votre expérience artistique vous a-t-elle aidée à communiquer vos conclusions à des tribunaux ou à des auditoires non scientifiques ?
Dre Hamel : Cela m’a appris à m’exprimer en utilisant des termes non techniques. C’est très utile. J’essaie toujours d’expliquer à mon auditoire que les images d’histologie sont, en fait, des images artificielles. En effet, les tissus humains non colorés sont transparents, ce qui signifie que nous avons créé ces images. Il ne s’agit pas d’images naturelles. Le fait d’avoir à expliquer cela à des auditoires évoluant dans la sphère artistique m’a permis de trouver des termes plus adaptés pour l’expliquer aux jurés, ce qui leur permet de comprendre mon propos.
Lorsque vous témoignez à la barre, vous donnez un petit cours de maître en médecine légale. Si votre réponse fait plus de trois mots, vous ne parlez pas au procureur ou à l’avocat de la défense. Vous parlez aux jurés, et vous pouvez très rapidement voir s’ils arrivent à vous suivre. En effet, si vous parlez de la carotide en indiquant qu’il s’agit de l’artère sur laquelle vous prenez votre pouls et que les six jurés touchent leur cou, vous savez qu’ils vous écoutent. Écrire pour un public amateur d’art a permis d’améliorer mes compétences en communication afin de mieux me faire comprendre auprès des jurés profanes.
Q. : Avez-vous des conseils à donner à ceux qui souhaitent suivre une carrière en médecine légale ?
Dre Hamel : Tout d’abord, si vous souhaitez devenir histologiste, dépêchez-vous, car nous avons cruellement besoin de vous. Il n’y a que très peu d’histologistes talentueux disponibles sur le marché. Avec la demande croissante en services de médecine légale, nous avons besoin de plus en plus d’histologistes et de médecins légistes. Le parcours pour devenir médecin légiste est long, mais je le trouve très gratifiant. Toutefois, vous devrez avoir la peau plutôt dure. Les gens n’arrêteront pas de critiquer votre travail. Vous ne serez jamais remercié par vos patients comme cela peut être le cas pour d’autres spécialités. Cependant, je trouve le travail et la rigueur intellectuelle qui en découlent très gratifiants.
Coupe de tissus humains colorée au rouge congo et observée en lumière polarisée pour révéler la présence de substance amyloïde.
L’amylose, une maladie au cours de laquelle des protéines s’accumulent de manière anormale dans les tissus humains,
apparaît en vert pomme en lumière polarisée. Image acquise avec un microscope BX43 d’Olympus équipé d’une caméra DP26 et
reproduite avec l’aimable autorisation de Marianne Hamel.
Q. : Avez-vous des conseils à donner aux médecins légistes désireux d’apporter une note plus artistique à leur travail ?
Dre Hamel : Envoyez-moi vos lames !
Q. : Est-ce que le fait de partager votre travail sur Instagram a permis d’attirer plus d’attention sur la médecine légale ?
Dre Hamel : Je gère le compte Instagram @deathunderglass depuis huit ans maintenant, et je dois dire que l’intérêt porté par le public à la médecine légale est très important. Mes abonnés sont très fidèles.
Je vais vous donner un exemple. J’ai établi une liste de lecture pour mes internes du Montgomery County Office. Il s’agit d’une liste de 15 livres sur ou en lien avec la médecine légale qui valent, selon moi, la peine d’être lus. Tous ces livres ne sont pas issus de la culture populaire. Certains livres sont des manuels. J’en ai listé plusieurs d’entre eux sur mon compte et j’ai indiqué à mes abonnés qu’ils pouvaient m’envoyer un courriel s’ils étaient intéressés par la liste complète. Je pensais recevoir 20 ou 30 courriels. Le lendemain matin, je me réveille et je vois que j’ai reçu 400 courriels. C’est à ce moment-là que j’ai réalisé que j’avais clairement sous-évalué l’intérêt du public pour la médecine légale.
Q. : Souhaiteriez-vous nous faire d’autres commentaires sur la médecine légale ?
Dre Hamel : Il existe en ce moment un mouvement qui essaie de changer notre perception de la mort. En effet, dans certains cercles, nous sommes censés ne jamais regarder l’anatomie humaine et prétendre que nous sommes tous éternels. J’ai passé toute ma carrière en affirmant que nous allons tous mourir. Et jusqu’à présent, je ne me suis pas trompée ! Le taux de décès est de 100 %.
Il est important de discuter du travail que nous accomplissons dans les morgues. Certains médecins légistes plus âgés pensent que ce qui est réalisé à la morgue doit rester secret et que nous ne devons pas en parler, car on parle de corps morts, de dissections et de choses comme celles-là. Je ne suis pas du tout d’accord avec cette vision.
Je pense que je propose un service public utile. Mes confrères et consœurs travaillent très dur, mais ne reçoivent que très peu de reconnaissance. Je ne parle pas seulement des médecins légistes, mais aussi des techniciens d’autopsie, des personnes qui travaillent à l’identification du corps et des toxicologues.
Ils travaillent tous incroyablement dur et méritent aussi d’être reconnus. On ne peut plus faire comme si personne n’était là pour recoudre le corps à la fin de notre travail ou pour nettoyer la morgue, comme si toutes ces tâches étaient faites comme par magie. Ils travaillent dur et font très bien leur travail, ce qui me permet de bien effectuer mon travail au quotidien.
Staff Writer
Rebecca holds a bachelor's degree in journalism from Endicott College and writes about trends and technologies in science and industry. She works closely with Evident engineers and scientists to write pieces about the latest laser scanning, super-resolution, multiphoton, upright, stereo, and inverted microscope systems, as well as leading-edge optics, cameras, and software. Follow her work to learn about Evident's latest for numerous applications, including cytology, pathology, education, and more.