L’imagerie de lames entières et l’intelligence artificielle (IA) accélèrent la caractérisation de la néphrite lupique

La néphrite lupique (NL) est une maladie rénale inflammatoire chronique qui survient fréquemment (40–60 %) chez les personnes atteintes de lupus érythémateux disséminé (LED).1 Jusqu’à 30 % des patients atteints de NL développent une insuffisance rénale, après quoi seuls un traitement par dialyse ou une greffe de rein sont possibles. L’un des objectifs de la recherche sur le lupus est d’accélérer le processus d’identification et de caractérisation de la NL dans les échantillons prélevés par biopsie afin d’augmenter le potentiel de détection précoce et d’améliorer le pronostic de la maladie.

Wei Juan Wong

Wei Juan Wong

8 December, 2022

Les défis de la caractérisation des échantillons de néphrite lupique

La NL provoque un large éventail de lésions différentes, ce qui est indicatif d’une atteinte tissulaire. Celles-ci peuvent être détectées en observant des échantillons de biopsie rénale au microscope optique. La caractérisation des lésions rénales et une classification appropriée de la NL sont décrites dans la classification de l’International Society of Nephrology (ISN)/ Renal Pathological Society (RPS). Les anatomopathologistes utilisent ce système de classification pour déterminer le stade de la maladie.

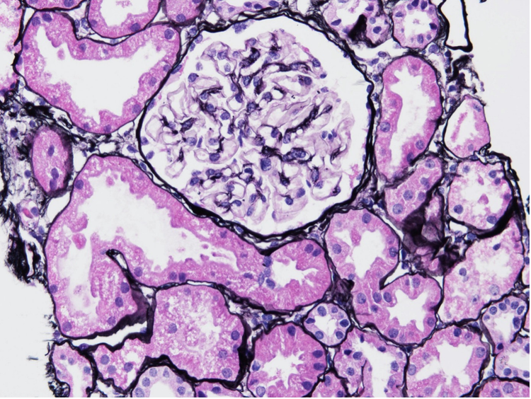
Par exemple, la figure 1 illustre des échantillons rénaux de patients à un stade précoce de NL de classe 1, sans changements glomérulaires significatifs par rapport à des sujets en bonne santé. 2

Figure 1. Échantillon de biopsie de rein atteint de NL de classe 1 coloré avec la coloration argentique de Jones

Figure 1. Échantillon de biopsie de rein atteint de NL de classe 1 coloré avec la coloration argentique de Jones

Dans la figure 2, les échantillons de patients à un stade avancé de NL (classe 5) présentent quant à eux des trous diffus (flèche bleue) et de petites pointes (flèche rouge) le long des membranes basales glomérulaires.3

Figure 3. Étapes du modèle de MRPS destiné à effectuer une caractérisation anatomopathologique à l’aide de l’apprentissage profond

Figure 3. Étapes du modèle de MRPS destiné à effectuer une caractérisation anatomopathologique à l’aide de l’apprentissage profond

À l’aide du scanner de lames pour la recherche SLIDEVIEW™ VS200, le Dr Shen et une équipe de chercheurs ont acquis 199 images de lame entière en haute résolution de tissus rénaux colorés au PAS provenant de souris en bonne santé et de souris atteintes de NL. Les images ont été séparées en cinq catégories différentes par les chercheurs, avec un score de 0 pour les souris en bonne santé et un score de 4 pour les souris présentant une NL sévère. Ces images ont été divisées en un ensemble destiné à l’entraînement et un ensemble destiné à la validation.

En marquant manuellement les glomérules et les cellules glomérulaires respectivement, les chercheurs ont pu utiliser la technologie d’apprentissage profond TruAI™ pour générer deux réseaux neuronaux à partir de l’ensemble d’entraînement : un réseau neuronal glomérulaire et un réseau neuronal cellulaire.

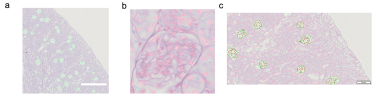
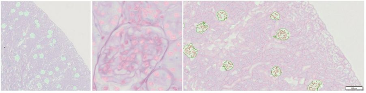
Les réseaux neuronaux ont ensuite été appliqués à l’ensemble de validation pour extraire de multiples caractéristiques glomérulaires et cellulaires de chaque image, comme illustré dans la figure 4.4

Figure 4. Application des réseaux neuronaux entraînés à une image de validation représentative : a. Tous les glomérules ont été identifiés en cyan b. Tous les noyaux rénaux ont été identifiés en magenta. c. Le glomérule et les noyaux identifiés ont été mesurés dans la région d’intérêt. Le réseau neural glomérulaire a fourni une région d’intérêt pour le comptage ; le réseau neural cellulaire a compté tous les noyaux à l’intérieur de cette région d’intérêt.

Figure 4. Application des réseaux neuronaux entraînés à une image de validation représentative :
a. Tous les glomérules ont été identifiés en cyan
b. Tous les noyaux rénaux ont été identifiés en magenta.
c. Le glomérule et les noyaux identifiés ont été mesurés dans la région d’intérêt.
Le réseau neural glomérulaire a fourni une région d’intérêt pour le comptage ;
le réseau neural cellulaire a compté tous les noyaux à l’intérieur de cette région d’intérêt.

Le périmètre, la forme, le diamètre interne minimal, le diamètre minimal et le nombre d’objets dans chaque composante sont des prédicteurs indépendants qui indiquent la sévérité de la NL. En se fondant sur les paramètres ci-dessus, les chercheurs ont élaboré un modèle de détermination de score, qui s’est révélé efficace pour faciliter la caractérisation et qui est corrélé positivement au score déterminé par les chercheurs.

Le potentiel de l’apprentissage profond TruAI™ pour aider à réaliser l’analyse des images

Cette étude montre qu’une analyse reproductible à haut débit d’échantillons pathologiques est possible grâce à une technologie d’apprentissage profond. Cela s’avère précieux pour la recherche fondamentale où l’analyse d’images de lame entière à haut débit est en forte demande. L’apprentissage profond peut également être appliqué à d’autres modèles et à d’autres maladies, et il a le potentiel de réduire considérablement la charge de travail des chercheurs tout en augmentant la précision quantitative de l’analyse.

Remerciements :

Nous remercions le Dr Shen Luping d’avoir écrit la première version de cet article, publié sur Make IT Evident丨TruAI 加速狼疮肾炎病理学诊断 (qq.com).

Wei Juan Wong

Wei Juan Wong

Spécialiste des applications, Systèmes de numérisation de lames

Wei Juan Wong est une spécialiste des applications pour les systèmes de numérisation de lames numériques chez Evident. Elle a commencé comme spécialiste de produit à Singapour pour aider nos clients d’Asie du Sud-est à utiliser des microscopes à champ large, y compris le scanner de lames pour la recherche SLIDEVIEW™ VS200. Elle s’est ensuite installée en Allemagne pour rejoindre le Centre technologique EVIDENT Europe en tant que spécialiste des applications pour les systèmes de numérisation de lames, où elle fournit une assistance en matière d’applications et de marketing aux clients du monde entier. Elle est titulaire d’un diplôme en physique et a travaillé au sein d’un laboratoire de recherche en biophysique ainsi que dans un service de microscopie.