Foire aux questions : Imagerie de lames entières avec immersion dans l’huile

april-2021-dr-daniel-göttel-banner.jpg

Dr Daniel Göttel

Dr Daniel Göttel

1 avril, 2021

Notre scanner de lames pour la recherche SLIDEVIEW VS200 est connu pour ses puissantes capacités qui permettent de capturer des images numériques haute résolution de lames entières.

Au-delà de ses fonctionnalités standard, ce système peut être amélioré de manière à pouvoir travailler avec des milieux d’immersion au moyen d’un distributeur de liquide (en option) et d’objectifs haute résolution à immersion dans l’huile ou le silicone. Ces fonctionnalités permettent de maximiser la résolution et la qualité des images.

Curieux d’en savoir plus ? Lisez la suite pour découvrir les réponses aux questions les plus fréquemment posées sur l’imagerie de lames entières avec milieux d’immersion.

Comment fonctionne le distributeur de liquide VS200 ?

Le scanner de lames utilise une pompe à air comprimé pour distribuer un volume défini de gouttelettes sur la surface de la lame. Le nombre de gouttes distribuées dépend dynamiquement de la surface à numériser. Elles sont comptées par un compteur de gouttes à photodiode situé à l’intérieur de la tête d’inspection du distributeur.

Cette méthode dynamique de distribution de liquide est propre aux systèmes VS200 et permet de s’assurer que seule la quantité de milieu d’immersion nécessaire est appliquée sur la lame et qu’aucun milieu d’immersion ne coule de la lame et ne pénètre dans le scanner.

Pour voir comment le distributeur de liquide fonctionne, regardez la courte vidéo ci-dessous.

Comment l’immersion dans l’huile améliore-t-elle la qualité d’image des lames ?

En augmentant l’indice de réfraction d’un spécimen, la microscopie à immersion dans l’huile fournit une résolution optique et une qualité d’image élevées. Les techniques d’imagerie de lames avec immersion dans l’huile donnent de meilleurs résultats avec un fort grossissement où les huiles augmentent la réfraction malgré les courtes distances focales.

Quels types d’objectifs à immersion dans l’huile sont compatibles avec le scanner de lames VS200 ?

Pour l’imagerie en fond clair et de fluorescence avec immersion dans l’huile, trois objectifs X Line sont disponibles : les objectifs apochromatiques étendus à huile UPLXAPO 40X, 60X et 100X.

Comment les différents grossissements sont-ils utilisés pour l’imagerie de lames entières ?

L’option de grossissement 40X offre un large champ de vision afin d’accélérer la numérisation, tandis que les objectifs à fort grossissement (60X et 100X) fournissent plus de détails à une vitesse de numérisation inférieure.

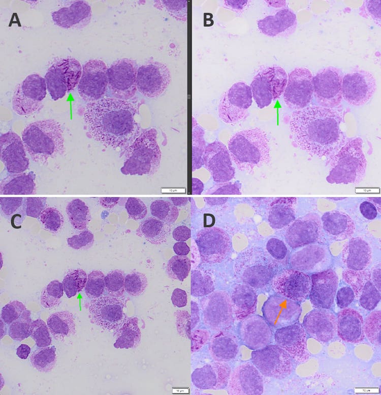
Voici un exemple concret de l’utilisation de ces grossissements. Nous avons numérisé un échantillon de sang périphérique humain (figure 1 ci-dessous) d’un patient atteint de leucémie aiguë promyélocytaire (LAP) à l’aide d’un objectif à huile UPLXAPO 40X avec une ON de 1,4 (figure 2, A et C) et d’un objectif à huile UPLXAPO 60X avec une ON de 1,42 (figure 2, B et D).

Imagerie sur lame entière d’un échantillon de sang périphérique

Figure 1. Échantillon de sang périphérique humain d’un patient atteint de leucémie aiguë promyélocytaire numérisé avec le scanner de lames pour la recherche VS200. Images reproduites avec l’aimable autorisation de Jana Kirsten de l’Institut de chimie clinique et de médecine de laboratoire du Centre médical universitaire de Ratisbonne.

Dans cette application, le sang périphérique montre les promyélocytes néoplasiques avec des noyaux bilobés ou des granules abondants (figure 2, flèche orange). Ces promyélocytes néoplasiques sont également présents dans la moelle osseuse, ainsi que des myéloblastes dans lesquelles se trouvent des faisceaux entiers de bâtonnets d’Auer (flèche verte en A, B et C). Ces éléments sont importants à rechercher en cas de suspicion de LAP.

Imagerie de myéloblastes avec des bâtonnets d’Auer par numérisation d’une lame entière

Figure 2 : (A) Myéloblaste avec bâtonnets d’Auer acquis à un grossissement de 40X mais zoomé numériquement à 60x. (B) Même blaste acquis à un grossissement de 60X et affiché en résolution native. (C) Même image que A, mais avec la résolution native de 40X. (D) Blaste avec granules à un grossissement de 60X.

La leucémie promyélocytaire (LPM) est ensuite confirmée par la mise en évidence d’une translocation réciproque t(t15 ; 17) par FISH. En raison de cette modification chromosomique structurelle, une fusion de deux gènes s’opère sur le chromosome 15 (PML) et le chromosome 17 (récepteur de l’acide rétinoïque, alpha [RARα]). Les patients atteints de LMP peuvent être traités par l’acide tout-trans rétinoïque (ATRA).

La comparaison de l’image A (40X) avec B (60X) dans la figure 2 montre l’avantage de l’objectif à huile UPLXAPO 40X avec une ON de 1,4, car les bâtonnets et les granules sont encore clairement visibles à ce grossissement inférieur. De plus, le temps de numérisation avec l’objectif 40X était 50 % plus court qu’avec l’objectif 60X (temps de numérisation pour une surface de 1 × 1 cm : 40X = 4 minutes 40 sec, 60X = 10 minutes 30 sec).

Comment les objectifs X Line améliorent-ils l’imagerie de lames entières ?

Tous les objectifs X Line offrent :

Quels types d’objectifs à immersion dans le silicone sont compatibles avec le scanner de lames VS200 ?

Pour les milieux d’immersion au silicone, trois options sont disponibles : 40X, 60X et 100X Objectifs à huile de silicone super apochromatiques UPLSAPO.

Quels sont les avantages des objectifs à immersion dans le silicone pour l’imagerie sur lame entière ?

Les objectifs à immersion dans le silicone offrent à la fois une grande ouverture numérique et une grande distance de travail, ce qui permet une imagerie stable et à haute résolution sur le long terme non influencée par les variations de température.

Dr Daniel Göttel

Dr Daniel Göttel

Responsable du soutien aux ventes

Daniel Göttel a obtenu son doctorat en génétique humaine au Centre allemand de recherche sur le cancer de Heidelberg, en Allemagne. Il a travaillé pendant de nombreuses années en tant que spécialiste des applications pour les systèmes de numérisation de lames et a acquis des connaissances pratiques approfondies sur le terrain. Il est désormais responsable de l’assistance commerciale pour le scanner de lames de recherche SLIDEVIEW™ VS200 et Net Image Server (NIS) SQL chez Evident.