Illuminare l'invisibile: la capacità di scanR di rendere visibile l'invisibile

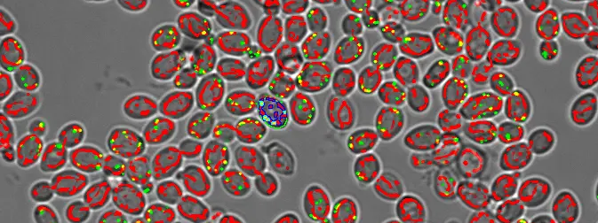
Yeasts imaged with the scanR high-content screening system and analyzed with TruAI deep-learning technology.

Rebecca Chandler

Rebecca Chandler

24 luglio 2025

Primo piano di lieviti, acquisito in una piastra a pozzetti in modo automatizzato utilizzando un sistema di screening ad alto contenuto scanR dotato di tecnologia con microscopio a disco rotante e di un obiettivo a secco 40X XAPO (NA 0,95). I fotogrammi originali acquisiti dal microscopio sono quattro volte più grandi. Il diametro dei lieviti è approssimativamente di 5 μm. I segnali rossi e verdi rappresentano probabilità di organuli, renderizzati da reti IA preaddestrate costruite all'interno del software scanR.

scanR consente ai ricercatori di creare, scoprire e realizzare più di quanto sia mai stato possibile.

Per Evident, innovazione non significa solo costruire nuovi strumenti, bensì predisporre un futuro in cui scienziati e medici possano infrangere le barriere, scoprire ciò che un tempo era invisibile e compiere progressi significativi nel campo della salute, della biologia e della tecnologia.

Il nostro sistema di screening ad alto contenuto scanR, recentemente aggiornato alla versione 3.6, si trova in prima linea in questa missione. Per scoprire di più, abbiamo incontrato il Dott. Manoel Veiga, application specialist presso Evident e una delle menti dietro all'ultimo perfezionamento di scanR.

Ne è seguita un'ampia e approfondita conversazione sul futuro dell'imaging, dell'intelligenza artificiale e delle scoperte su larga scala.

Costruire piattaforme che allargano i confini della scoperta scientifica

D: Manoel, partiamo dalle basi. Cosa significa "creare" nell'ambito del sistema scanR, versione 3.6?

Dott. Veiga: Per Evident, "creare" significa offrire ai ricercatori una piattaforma che vada oltre la semplice raccolta di immagini; vuol dire agevolare la creazione di una vera conoscenza. Che si tratti di sviluppare un nuovo test da zero o un nuovo modello di intelligenza artificiale per migliorare un saggio già consolidato, scanR rappresenta una rampa di lancio per l'innovazione scientifica.

Esaminiamo un paio di esempi, passati e recenti. Più di dieci anni fa, alcuni ricercatori, ispirati dall'interfaccia della funzionalità di citometria per immagini del software scanR, svilupparono una sequenza completa di acquisizione e analisi denominata "Citometria quantitativa basata su immagini" (Quantitative Image-Based Cytometry). Questo sforzo portò a una serie di pubblicazioni che ebbero un notevole impatto nella ricerca sul cancro.1 I diagrammi a dispersione di migliaia di singoli nuclei, che tracciano il contenuto di DNA rispetto a specifici marcatori proteici, hanno contribuito a chiarire le vie e i meccanismi biologici coinvolti nella risposta ai farmaci.

Proprio quest'anno, nel 2025, un ricercatore che ha utilizzato le funzionalità di IA e citometria del sistema scanR ha sviluppato un flusso di lavoro che ha chiamato "Quantitative AI-based DNA fiber workflow", ovvero "Flusso di lavoro quantitativo basato su IA per le fibre di DNA". Questo processo studia lo stress di replicazione delle fibre di DNA in modo automatizzato, esaminando immagini di singole fibre di DNA acquisite dal microscopio.2 L'analisi delle fibre di DNA esisteva già, ma si basava esclusivamente sull'acquisizione e sull'analisi manuale delle immagini, che richiedevano molto tempo ed erano soggette a errori da parte dell'utente. Il nuovo flusso di lavoro basato su IA per le fibre di DNA (qAID) consente l'imaging e l'analisi multiparametrica di migliaia di fibre di DNA in qualche decina di minuti.

Passaggi dell'analisi automatizzata delle immagini delle fibre di DNA con il sistema di screening ad alto contenuto scanR.

Questi esempi dimostrano che quando i ricercatori acquistano un sistema scanR non si limitano a comprare un microscopio, bensì ottengono risultati reali.

D: Cosa rende scanR 3.6 differente rispetto alle versioni precedenti?

Dott. Veiga: Il cambiamento più significativo sta nel fatto che scanR versione 3.6 funziona con la piattaforma IXplore™ IX85, un microscopio invertito motorizzato leader del settore con un valore di campo pari a 26,5 mm, per un campo visivo senza precedenti. I singoli fotogrammi sono ora più grandi e consentono di ottenere statistiche migliori: 50% di cellule in più per immagine, nonché scansioni più veloci, poiché non è necessario acquisire tante immagini come prima per ottenere le stesse statistiche sulle cellule.

A sinistra: aumentando il valore di campo si aumenta il conteggio cellulare. A destra: piattaforma IXplore IX85 con microscopio invertito motorizzato.

Oltre alla nuova piattaforma IX85, supportiamo ora una varietà più ampia di configurazioni con disco rotante. Oltre a CSU-W1 di Yokogawa, la cui versione SoRa supporta l'imaging a super risoluzione, abbiamo ora integrato Crest X-Light V3 con uno speciale design di accoppiamento per massimizzare l'ampio campo visivo di IX85.


È importante sottolineare che non è solo l'hardware a contribuire a risultati più rapidi.

Il flusso di lavoro complessivo del software è altrettanto importante:

  1. Un ottimo hardware non rende più veloci le scansioni se gli utenti impiegano molto tempo per impostare gli esperimenti di acquisizione. scanR può avviare gli esperimenti di acquisizione all'interno del software con pochi clic, mantenendo al contempo tutte le cellule a fuoco.
  2. La velocità complessiva viene accelerata dall'esecuzione in parallelo dell'acquisizione e dall'analisi. Il riscontro che abbiamo ricevuto dagli utenti indicava che attività che prima richiedevano settimane o addirittura mesi possono ora essere completate molto più rapidamente, a volte solo in qualche ora.

D: L'intelligenza artificiale sembra avere un ruolo più importante in scanR versione 3.6. In che modo potenzia il sistema?

Dott. Veiga: La maggior parte dei saggi di analisi si basa sulla stessa sequenza:

1) Segmentazione di oggetti

2) Estrazione delle caratteristiche di questi oggetti

3) Classificazione delle singole cellule in base alle caratteristiche estratte

4) Ottenimento di una percentuale accurata di popolazione di ciascun tipo di cellula rispetto ai trattamenti

Quanto meglio si riesce a segmentare questi oggetti tanto maggiore sarà la qualità dei risultati, poiché i fattori di intensità e forma vengono estratti in modo molto preciso, il che rende più affidabili le successive classificazioni delle cellule. Pertanto, se si riesce a segmentare con precisione ciò che si desidera, è possibile eseguire svariate analisi personalizzate per le varie applicazioni di imaging.

In passato, gli utenti dovevano avere molta esperienza nell'elaborazione delle immagini per riuscire a segmentare in modo selettivo solo le strutture specifiche di interesse. Fortunatamente, la segmentazione è ora facilitata grazie all'IA, uno strumento che semplifica notevolmente i saggi. Il sistema scanR versione 3.6 viene fornito con cinque reti preaddestrate: nuclei, cellule, punti di analisi, struttura e nuclei in trasmissione, che supportano gli utenti nelle attività di analisi più comuni.

Pluripotent stem cells acquired and segmented with a scanR widefield microscope. Cellule staminali pluripotenti acquisite con un microscopio scanR widefield. In giallo viene mostrato un modello IA di segmentazione di cellule preaddestrato applicato al canale verde, mentre in rosso è mostrato un modello IA di segmentazione dei nuclei preaddestrato applicato al canale arancione.

Oltre a ciò, gli utenti possono applicare un modulo di addestramento di IA per sviluppare i propri algoritmi in modo tale che segmentino strutture specifiche senza dover necessariamente possedere competenze di codifica informatica. Indipendentemente dal tipo di operazione, che si tratti di trovare ponti tra cromosomi durante la mitosi, di analizzare interazioni distinte tra cellule in un time-lapse o di identificare un particolare schema di distribuzione della fluorescenza all'interno di una cellula, l'intelligenza artificiale offre un livello di sofisticazione che non avremmo potuto raggiungere altrimenti.

Infine, gli strumenti di classificazione e di IA di scanR possono essere utilizzati per identificare e acquisire rapidamente nuove immagini di cellule o strutture di interesse ad alta risoluzione applicando la funzione di riscansione dalla regione.

Illuminare l'invisibile: rendere visibile l'invisibile

D: L'obiettivo di Evident è "illuminare l'invisibile" per superare i limiti della scoperta scientifica. Cosa significa per i ricercatori che utilizzano scanR?

Dott. Veiga: "Illuminare l'invisibile" significa rivelare la complessità e la ricchezza dei sistemi biologici che spesso sfuggono alle tecniche di imaging tradizionali. Per decenni, "microscopia" equivaleva a osservare esclusivamente ciò che era immediatamente visibile: caratteristiche luminose, cellule marcate e marker fluorescenti. Ma c'è molto di più al di sotto della superficie. Il sistema scanR permette ai ricercatori di acquisire e analizzare milioni di cellule, fornendo così una visione completa della variabilità biologica, non solo poche immagini rappresentative.

Inoltre, il sistema scanR può identificare strutture subcellulari, fenotipi cellulari o comportamenti dinamici che altrimenti sarebbero troppo difficili da vedere o troppo complessi da misurare. Ecco perché i ricercatori possono esplorare nuove questioni scientifiche che prima erano fuori dalla loro portata.

Non sto parlando solo di dati grezzi, bensì di sbloccare informazioni che prima non erano accessibili. È questo il vero potere di scanR: illuminare l'invisibile e fornire ai ricercatori gli strumenti necessarie per compiere queste scoperte.

D: Può condividere un esempio di come questo si traduce in una ricerca reale?

Dott. Veiga: Certamente. Ad esempio due immagini vicine, rispettivamente contenenti migliaia di cellule, possono apparire molto simili all'occhio umano. Tuttavia, quando le cellule vengono classificate e tracciate all'interno di istogrammi multidimensionali, le differenze tra i campioni diventano evidenti.

Comparison of cell populations using the scanR high-content screening platform. L'immagine a sinistra (controllo) è chiaramente diversa dalle altre due (le cellule rosa sono più luminose e abbondanti). Tuttavia, le differenze tra le due immagini a destra non sono così evidenti. Gli istogrammi 2D dei valori di intensità delle diverse marcature di fluorescenza rivelano chiaramente percentuali diverse di popolazioni cellulari in tutte e tre le immagini.

Poiché il sistema scanR è in grado di analizzare i dati parallelamente all'acquisizione, possiamo esaminare approfonditamente i campioni dei clienti durante le dimostrazioni. I ricercatori abituati a una minore produttività di imaging e a statistiche cellulari inferiori sono talvolta sorpresi quando osservano gli istogrammi 2D, in quanto trovano fenotipi che non si aspettavano.


Questi possono presentarsi in una percentuale molto bassa, ma sono facilmente visibili come valori anomali (outlier) negli istogrammi 2D. Tuttavia, nonostante la loro bassa percentuale, se riproducibili, potrebbero avere una rilevanza biologica. Gli utenti possono fare clic direttamente all'interno degli istogrammi 2D e vedere le cellule dietro a qualsiasi punto di dati, in modo da avere il pieno controllo dell'esperimento e iniziare a esplorare nuove questioni scientifiche.

2D histogram in scanR showing a cell with an abnormal number of spots. Una cellula con un numero anomalo di punti di analisi è facilmente identificabile come outlier in un istogramma 2D. È possibile acquisire un'altra immagine della cellula con un ingrandimento maggiore (o anche passando dalla modalità a campo ampio a quella confocale) utilizzando la funzione Rescan Region.

Realizzare ciò che conta: al servizio delle esigenze del mondo reale

D: In che modo scanR versione 3.6 fa la differenza in termini di usabilità nel mondo reale?

Dott. Veiga: Nel mondo reale, il tempo, le risorse e la flessibilità sono limitati, per cui è essenziale che scanR 3.6 lavori all'interno di questi vincoli. Abbiamo progettato scanR in modo che fosse un sistema modulare, per consentire ai laboratori di partire da una configurazione di base e di aggiungere altri moduli in base all'evoluzione delle loro esigenze, quali funzionalità di IA, incubazione di cellule vive, analisi del tracciamento delle cellule o imaging a super risoluzione. Inoltre, i software scanR e cellSens™ possono coesistere all'interno dello stesso microscopio, il che aumenta la flessibilità del sistema. Si tratta di fornire un sistema che cresca di pari passo con le esigenze del laboratorio, senza aggiungere inutili complessità.

Dal punto di vista del software di analisi, sono lieto di constatare che scanR è stato progettato in modo intelligente fin dalla sua prima versione. Nel corso degli anni, la sua struttura ci ha permesso di integrare senza problemi nuove funzionalità all'interno del set di strumenti di analisi, come l'elaborazione delle immagini, la gerarchia degli oggetti, il tracciamento delle cellule e la segmentazione basata sull'IA. I dati grezzi non vengono mai modificati ed è possibile eseguire più analisi nello stesso set di dati senza la necessità di duplicare le immagini. Uno o più modelli di IA possono essere utilizzati in uno o più canali in una configurazione a Z-stack completa o in un singolo Z-layer. Le probabilità dell'IA possono essere ispezionate nell'ambito di un controllo di qualità, e così via. Dal mio punto di vista, è l'interfaccia perfetta per l'analisi e lo sviluppo di saggi basati sull'intelligenza artificiale, ed è anche divertente da usare... di gran lunga si tratta dello strumento di ricerca più piacevole che abbia utilizzato nella mia carriera!

Inoltre, alcuni gestori di strutture di imaging hanno affermato che scanR, abbinato al software cellSens, è diventato rapidamente la soluzione di microscopia più utilizzata in termini di tempo dedicato al sistema, superando persino i microscopi confocali. I risultati ottenuti sono la vera misura del successo.3

D: Da ultimo, cosa la entusiasma di più del futuro di scanR e del ruolo di Evident nelle scienze della vita?

Dott. Veiga: Personalmente, ciò che mi entusiasma di più è rendermi conto che gli utenti di scanR non sono solo nostri clienti, ma anche nostri stretti collaboratori; il loro riscontro sul sistema ci aiuta a migliorarlo anno dopo anno e ad adattarlo il più possibile alle loro esigenze scientifiche. Inoltre, il sistema scanR non offre sono funzionalità di imaging e analisi: forniamo anche supporto per la creazione di saggi di analisi, il che ci permette di conoscere la ricerca di cui si occupano i nostri clienti e le ultime tendenze della microscopia. Dal punto di vista aziendale, scanR è una grande risorsa che ci tiene aggiornati in campo scientifico.

Infine, Evident non si limita a costruire soluzioni di microscopia all'avanguardia, ma contribuisce al futuro della scienza, e credo che scanR sia al centro di questo futuro. La nostra missione consiste nell'offrire maggiori possibilità ai ricercatori. Vogliamo che ogni scienziato abbia accesso ai migliori strumenti di imaging, indipendentemente dalle dimensioni del suo laboratorio o dal suo tipo di ricerca.

Informazioni sull'intervistato

Manoel Veiga

Manoel Veiga ha conseguito il dottorato di ricerca in chimica fisica presso l'Università di Santiago de Compostela, in Spagna. Dopo due postdoc presso la Complutense University of Madrid e la University of Münster, si è occupato di supportare i professionisti di tutto il mondo nell'ambito della microscopia FLIM (Fluorescence Lifetime Imaging Microscopy) e della spettroscopia risolta nel tempo. Nel 2017 ha portato la sua esperienza all'EVIDENT Technology Center Europe, dove lavora come global application specialist focalizzato sull'analisi ad alto contenuto e sul deep learning.

Bibliografia

  1. Toledo, L.I., M. Altmeyer, M.B. Rask, C. Lukas, D.H. Larsen, L.K. Povlsen, S. Bekker-Jensen, N. Mailand, J. Bartek, and J. Lukas. 2013. "ATR Prohibits Replication Catastrophe by Preventing Global Exhaustion of RPA." Cell 155 (5): 1088–103.

    Michelena, J., A. Lezaja, F. Teloni, T. Schmid, R. Imhof, and M. Altmeyer. 2018. "Analysis of PARP Inhibitor Toxicity by Multidimensional Fluorescence Microscopy Reveals Mechanisms of Sensitivity and Resistance." Nature Communications 9 (1): 2678.

    Zonderland, G., R. Vanzo, S.A. Gadi, E. Martín-Doncel, F. Coscia, A. Mund, M. Lerdrup, J. Benada, D. Boos, and L. Toledo. 2022. "The TRESLIN-MTBP Complex Couples Completion of DNA Replication with S/G2 Transition." Molecular Cell 82 (18): 3350–65.e7.
  2. Fagherazzi, Paolo, Timo Diekmann, Alessandra Ardizzoia, Zuzana Machacova, Simran Negi, Anoop Kumar Yadav, Pavel Moudry, Vincenzo Costanzo, and Hana Polasek-Sedlackova. 2025. "Quantitative AI-Based DNA Fiber Workflow to Study Replication Stress." bioRxiv.
  3. Veiga, Manoel. 2022. "Multimodal Solution Supports Whole Slide Scanning and High-Content Screening in Neuroscience." EvidentScientific.com. Accesso eseguito il 24 luglio 2025.

Prodotti in primo piano

scanR High-Content Screening System

Sistema di screening ad alto contenuto scanR

Per maggior informazioni

Rebecca Chandler, Picture

Rebecca Chandler

Cronista

Rebecca ha conseguito una laurea in giornalismo presso l'Endicott College e scrive di tendenze e tecnologie in ambito scientifico e industriale. Lavora a stretto contatto con gli ingegneri e gli scienziati di Evident per scrivere articoli sui più recenti sistemi di microscopia a scansione laser, a super risoluzione, multifotonica, verticale, stereo e invertita, nonché a proposito di ottiche, fotocamere e software all'avanguardia. Segui il suo lavoro per conoscere le ultime novità di Evident per numerose applicazioni, tra cui citologia, patologia, formazione e altro ancora.