X Line objectives delivers image flatness, chromatic correction and numerical aperture all in a high level. Expanded flatness enables you to acquire uniform high definition stitched images. For clinical research applications, the elimination of violet color aberration creates clear whites and vivid pinks, improving contrast and sharpness.

Pathology and Laboratory X Line High-Performance Objectives and the BX53 Upright Microscope

Get in Touch

Request a Quote

Contact Us

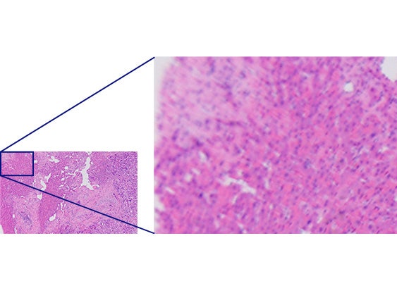
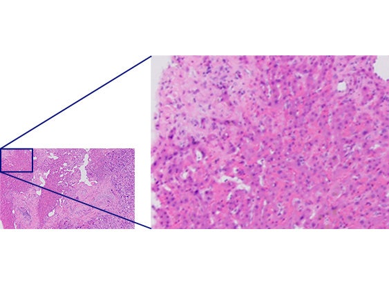
Flatness comparison

Flatness comparison

Flatness comparison

Conventional objectivesX Line

Uniform Quality from the Center to the Edge

Improved flatness produces images with uniform high quality from the center all the way to the edge. The high numerical aperture (NA) enables the objectives to gather more light for brighter, higher resolution images. Pairing X Line objectives with a BX53 upright microscope greatly improves the overall quality of images.

Learn more about the BX53

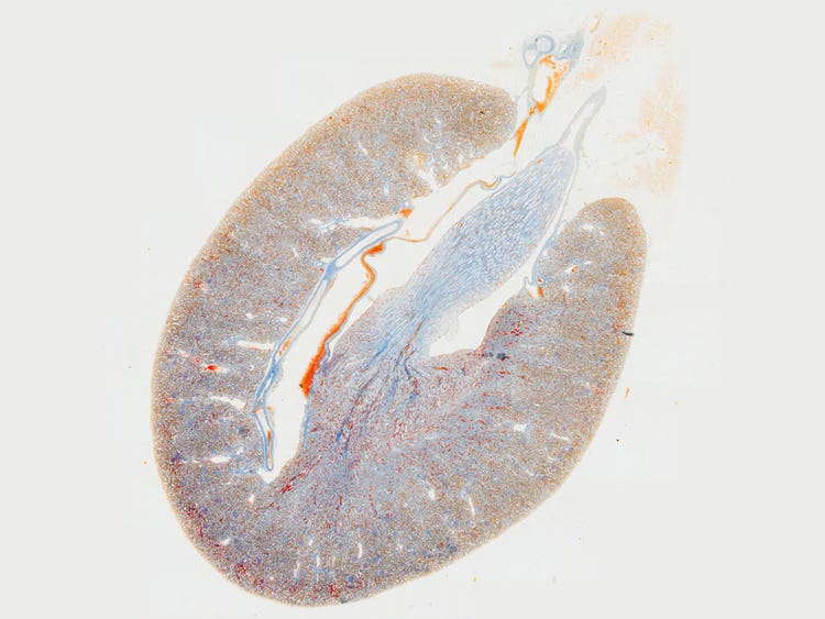
Efficient Image Stitching

Stitching enables you to produce images of whole tissue sections, but if the image flatness is poor, the stitched image can be blurry and present a "patchwork" artifact. X Line objectives provide uniformly flat images from the center to the edge, enabling you to acquire uniform high definition stitched images. You can also create a large stitched image using a fewer number of images than before, improving efficiency and saving you time.

Created using the multiple image alignment (MIA) feature

Conventional (left) versus X Line objectives (right)

Conventional (left) versus X Line objectives (right)

*Comparing the edge of image

Button

FISH observation

.

,

Improved Images for Clinical Research Applications

Improved flatness, numerical aperture, and chromatic aberration combine to deliver clear, high-resolution images with excellent color reproduction. The objectives' superior chromatic aberration management delivers better color accuracy across the entire spectrum. The elimination of violet color aberration creates clear whites and vivid pinks, improving contrast and sharpness. Chromatic aberration correction in a wide wavelength range (400–1000 nm) enables you to acquire high resolution multicolor images during fluorescence observation, such as FISH.

Microscopio dritto BX53 Immagine 1 di 1

BX53 Upright Microscope

  • High-luminosity true color LED illumination
  • Modular concept enables individual components to be motorized
  • Easily acquire multicolor fluorescence images

Learn More

Microscopio dritto BX63 Immagine 1 di 1

BX63 Upright Microscope

  • Fully motorized system allows automation of complex multidimensional experiments
  • Accurate motorized Z-drive
  • High stability due to fixed stage design

Learn More

View larger image: U-FLLED LED Illumination System Image 1 of 1

U-FLLED

A compact, direct-mount LED light source designed for routine fluorescence imaging on manual and semi-motorized microscopes. With passive, fan-free cooling and modular excitation channels, U-FLLED delivers stable, uniform illumination for fixed samples and everyday workflows without added system complexity.

  • Direct-mount LED illumination for integrated microscope setups
  • Modular excitation channels for common fluorophores
  • Quiet, fan-free operation for routine fluorescence imaging

Learn More