アプリケーションノート

お問い合わせ

創薬研究の薬効評価における薬剤応答イメージング

インデックス

  1. スフェロイドの薬剤応答イメージング (カルシウムイオン変動)
  2. マルチウェルプレートを用いた複数視野の化学発光観察
  3. 培地灌流・基質自動添加による長時間観察
  4. ショウジョウバエ胚の発生観察

1. スフェロイドの薬剤応答イメージング (カルシウムイオン変動)

スフェロイド (細胞塊) や模擬組織であるオルガノイドは、従来の培養細胞を用いた評価系と比較して、実際の生体に近い応答を示すことが多く、創薬研究の薬効評価においてその必要性が高まっています。他方、医薬品の主要な標的分子群である細胞膜レセプターGPCRのリガンド探索においては、多くの場合カルシウムイオンの濃度変動が指標として用いられます。化学発光は蛍光と異なり励起光が不要なためスフェロイドなどからの自家蛍光の懸念がなく高いシグナル/ノイズ比と高い定量性を担保しつつ、カルシウムイオンの濃度変動を計測することが可能であると期待されています。そこで、培養細胞を用いて作製したスフェロイドに化学発光カルシウムセンサーGeNL(Ca2+)_520(41)を導入し、スフェロイドに対してGPCRであるH1受容体のリガンドであるヒスタミンで刺激を行ったのち、細胞中のカルシウムイオンの濃度変動を長時間に渡り連続して観察することを試みました(21)。その結果、GeNL(Ca2+)_520からの発光信号を高いシグナル/ノイズ比で50分間にわたり観察することに成功しました(図2)。

観察条件
HEK293T細胞: 96マルチウェルU底プレートにて1週間培養、化学発光カルシウムイオンセンサー (GeNL(Ca2+)_520)をアデノ随伴ウイルスで一過的に導入
観察容器:マルチウェルプレート 96ウェル U底
観察培地: DMEM/F-12(Gibco)+10% FBS
発光基質: 10µM Furimazine (Promega)
細胞刺激: 2µM Histamine
顕微鏡: IXplore Live をベースとした発光イメージングシステム(科学技術振興機構(JST)先端計測分析技術・機器開発プログラムで大阪大学産業科学研究所の永井健治教授らと株式会社東海ヒット及びオリンパス株式会社が共同で開発した成果を既存の製品と組合せパッケージ化)
対物レンズ: UPLSAPO20X (NA 0.75) , カメラアダプター: 0.5倍
EM-CCD: Andor iXon Ultra 888 (EM-Gain 1000倍), 露光時間: 20秒/枚, ビニング:1×1

図1. 化学発光カルシウムイオンセンサーGeNL(Ca2+)_520の作動機作

図1. 化学発光カルシウムイオンセンサーGeNL(Ca2+)_520の作動機作

IXplore Live をベースとした発光イメージングシステム

IXplore Live をベースとした発光イメージングシステム

【明視野画像】
【発光画像】
【重ね合わせ画像】
発光画像疑似カラー(緑)

動画1. ヒスタミン刺激によるカルシウムイオン変動の化学発光観察(スケールバー500µm)

図2. ヒスタミン刺激によるカルシウムイオンの濃度変動測定

図2. ヒスタミン刺激によるカルシウムイオンの濃度変動測定

アプリケーションノート制作にご協力賜りました先生:
大阪大学産業科学研究所生体分子機能科学研究分野
教授 永井健治 先生、助教 服部満 先生

2. マルチウェルプレートを用いた複数視野の化学発光観察

新薬候補分子をライブラリよりスクリーニングする場合には、マルチウェルプレートに播種された細胞を用いて、細胞内イオン濃度や細胞の形態や動きの変化など、複数の細胞表現型を試験するハイコンテンツ解析が必要です。このような場合、高光度な化学発光タンパク質の利用は、高いコントラストで細胞の形態や動きの変化を定量的に捉えることができ有効です。そこで、化学発光を指標とした薬剤スクリーニングおよび薬効評価を想定して、化学発光タンパク質を発現する培養細胞をマルチウェルプレートに播種し、電動ステージにより自動でプレートを1ウェル毎に走査して撮影を繰り返し、全ウェルの解析を行いました。その結果、各視野において個々の細胞の形態を高いコントラストで識別できるレベルで観察することができました。また、本実験条件では1プレート数分で画像取得が可能であり、ハイスループットかつハイコンテンツな細胞解析が実現できることを示しています(図3)。

観察条件
HeLa細胞: 高光度化学発光タンパク質 Yellow-enhanced NanoLanternを安定的に発現
観察容器: マルチウェルプレート 96ウェル 平底
観察培地: HBSS(-) (Sigma)
発光基質: 10µM Furimazine (Promega)
顕微鏡: IXplore Live をベースとした発光イメージングシステム(科学技術振興機構(JST)先端計測分析技術・機器開発プログラムで大阪大学産業科学研究所の永井健治教授らと株式会社東海ヒット及びオリンパス株式会社が共同で開発した成果を既存の製品と組合せパッケージ化)
対物レンズ: UPLFLN10X2PH (NA 0.3), カメラアダプター: 0.5倍
EM-CCD: Andor iXon Ultra 888 (EM-Gain 1000倍), 露光時間: 1秒/視野, ビニング:2×2

図3. マルチウェルプレートを用いた複数視野の化学発光観察

図3. マルチウェルプレートを用いた複数視野の化学発光観察

アプリケーションノート制作にご協力賜りました先生:
大阪大学産業科学研究所生体分子機能科学研究分野
教授 永井健治 先生、助教 服部満 先生

3. 培地灌流・基質自動添加による長時間観察

薬効評価を行う上で細胞の経時的な観察は、その影響を詳細に解析するために必要となります。以前より化学発光はルシフェラーゼの成熟時間と半減期が短い特性より、遺伝子発現のレポーターとしてその経時変化を解析することに適すことが知られています。また、蛍光と異なり励起光が不要なため、長時間のイメージングに用いる場合には、細胞に対する光毒性は軽減されます。ただし、化学発光は発光基質 (ルシフェリン) を必要とするため、細胞へのルシフェリンの安定供給が重要です。特に、セレンテラジン (Coelenterazine) 系のルシフェリンは高光度で発光しますが、培地中で短時間に酸化されやすいため、長時間観察を行う場合には適時添加することが必要となります。そこで、高光度化学発光タンパク質を導入した細胞に自動基質添加・培地灌流装置を用いてセレンテラジンを自動添加しながら培地灌流をし、化学発光を経時的に観察した結果、位相差画像と併せて化学発光画像を24時間以上連続して観察することに成功しました(図4)。

観察条件
HeLa細胞: 高光度化学発光タンパク質 Yellow-enhanced NanoLanternを安定的に発現
観察容器: 35mmガラスボトムディッシュ
観察培地: DMEM/F12(Gibco)+10% FBS
発光基質: 2.5mM Coelenterazine-h (富士フイルム和光純薬), 1.2µL/7.5分毎
灌流流速: 40µL/分, 培地排出: 約 10mL/時間
顕微鏡: IXplore Live をベースとした発光イメージングシステム(科学技術振興機構(JST)先端計測分析技術・機器開発プログラムで大阪大学産業科学研究所の永井健治教授らと株式会社東海ヒット及びオリンパス株式会社が共同で開発した成果を既存の製品と組合せパッケージ化)
対物レンズ: UPLFLN40XPH (NA 0.75) , カメラアダプター: 0.5倍
EM-CCD: Andor iXon Ultra 888 (EM-Gain 1000倍), 露光時間: 5分/枚, 撮影間隔: 7.5分, ビニング:1×1

0時間後

図4-1 0時間後

6時間後

図4-2 6時間後

12時間後

図4-3 12時間後

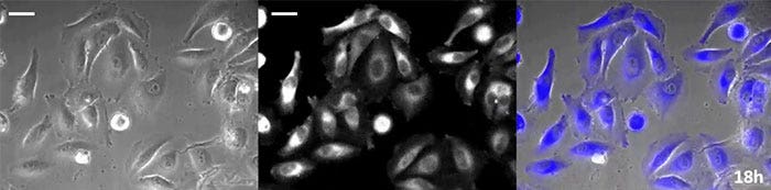
18時間後

図4-4 18時間後

24時間後

図4-5 24時間後

図4. 培地の灌流および発光基質の自動添加による長時間観察(スケールバー50µm)

アプリケーションノート制作にご協力賜りました先生:
大阪大学産業科学研究所生体分子機能科学研究分野
教授 永井健治 先生、助教 服部満 先生

4. ショウジョウバエ胚の発生観察

モデル生物を使用した薬効評価は、臨床試験へ進む前段階において不可欠です。近年、ハエはヒトの病気を研究するための優れた材料として注目を集めており、例えばハエの甲状腺髄様がんモデルを作出・使用した研究によって見出されたバンデタニブが、ヒトでの治療薬としてFDAに認可されました。このように、モデル生物において遺伝子発現を生きたままモニタリングする場合の多くは、蛍光タンパク質などがレポーターとして使用されていますが、胚からの光透過性や励起光による自家蛍光など観察時には様々な問題を考慮する必要があります。他方、化学発光は励起光が不要であるため、それら問題の多くが解消されます。そこで、三齢幼虫に酵母ペーストと混合したD-Luciferinを摂取させ、ショウジョウバエ胚の発生過程におけるengrailed遺伝子の発現量変化を、化学発光をレポーターとして経時的に観察しました。その結果、蛹の殻を通して胚深部からの化学発光が明確に検出され、変態に応じた発現箇所および発現量の変化のリアルタイム観察に成功しました(動画2)。

観察条件
ショウジョウバエ: engrailed 遺伝子発現化学発光レポーター (ルシフェラーゼ: Pmat)
三齢幼虫に酵母ペーストと混合したD-Luciferinを摂取させたのち、蛹を24ウェルプレート上に置き観察
顕微鏡: IXplore Live をベースとした発光イメージングシステム(科学技術振興機構(JST)先端計測分析技術・機器開発プログラムで大阪大学産業科学研究所の永井健治教授らと株式会社東海ヒット及びオリンパス株式会社が共同で開発した成果を既存の製品と組合せパッケージ化)
対物レンズ: UPLFLN4XPH (NA 0.13), カメラアダプター: 0.5倍
EM-CCD: Andor iXon Ultra 888 (EM-Gain 300倍), 露光時間: 120秒/枚, ビニング:1×1

【発光画像】
【発光画像(疑似色)】

動画2. ショウジョウバエ胚の化学発光イメージング(スケールバー500µm)

アプリケーションノート制作にご協力賜りました先生:
大阪大学産業科学研究所生体分子機能科学研究分野
教授 永井健治 先生、助教 服部満 先生

サンプル(ショウジョウバエ)の準備にご協力賜りました先生:
大阪大学大学院生命機能研究科生殖生物学研究室
教授 甲斐歳恵 先生、特任助教 須山律子 先生

参考論文:
Biochem. Biophys. Rep., 23 (2020) 100771

※HeLa細胞は医学研究で最も重要な細胞株の一つで、科学の発展に偉大な貢献をしました。しかし、この細胞の元となったヘンリエッタ・ラックス(Henrietta Lacks)さんの同意が得られていなかった事実を認識しなければなりません。HeLa細胞の使用は、免疫学や、感染症学、癌研究などにおける重要な発見に貢献しましたが、同時に医学における個人情報保護や倫理についての重要な議論も引き起こしました。
ヘンリエッタ・ラックスさんの生涯と現代医学への貢献における詳細は、以下にアクセスしてご覧ください。
http://henriettalacksfoundation.org/

このアプリケーションノートに関連する製品

高精度・マルチカラーライブセルイメージングシステム

IXplore Live

  • 細胞にやさしいイメージング
  • 再現性が高く、安定した実験環境

詳細はこちら