プランクトンから植物まで:2022年8月に人気だった顕微鏡画像

顕微鏡アート作品

Kerry Israel

Kerry Israel

2022年 9月 09日

今月はかわいいものがたくさん!~プランクトン、植物、そしてジャガイモ・・!?日常的に目にするものも顕微鏡の下ではとても美しく見えることがあります。今月人気を集めた顕微鏡画像をご紹介します。

顕微鏡で見たプランクトン

捕り方さえ教えれば、誰でも相模湾でプランクトンネットを使い、美しいさまざまなプランクトンを捕えることができます。ケイソウ、カイアシ、動物プランクトンなどをじっくりと観察できます。このサンプルの中にもたくさんの微生物がいるのがよくわかります。

画像提供:@co_micro。オリンパスBH2顕微鏡で撮影。

顕微鏡で見たAtriplexの葉の表面

カレル大学(プラハ)の植物細胞生物学者であり、2021 Global Image of the Year受賞者でもあるJan Martinekさんは、今月、Take Over Weekで当社のInstagramアカウントに投稿し、大好きなトピックである植物を間近に見せました。とても見事な画像で、今月の人気上位5位のうち4つは彼の撮影によるものでした。

Take Over Weekの一番人気画像は Atriplex の葉の表面で、小さな球形の毛状突起で覆われた葉は、霜のように見えます。

その他の画像は当社のInstagramをご覧ください。

画像提供:Jan Martinek氏(2021 Global Image of the Year受賞者)。オリンパスAX70顕微鏡を使用し、UV励起光の自家蛍光、フォーカススタッキングで撮影。

顕微鏡で見たヒト結腸

Kate Murphyさんは、至るところにハートを見つける達人です!私たちはH&E染色のHを、「hematoxylin(ヘマトキシリン)」から「heart(ハート)」に変えるべきか考え始めています。このかわいい写真は、ヒト結腸の組織サンプルです。

画像提供:Kate Murphy氏。オリンパスBX40顕微鏡で撮影。

顕微鏡で見たヒイラギ 顕微鏡で見たヒイラギ 顕微鏡で見たヒイラギ 顕微鏡で見たヒイラギ

秋の訪れとともに、かき集めなくてはならない葉っぱのことがもう頭に浮かんでいます。これらの画像を見ると、つらい掃除を考えるのではなく、葉脈構造の美しさに魅了させられてしまいます。ヒイラギとして知られる Ilex aquifolium は、モチノキ科の花をつける種で、西欧、南欧、北西アフリカ、および南西アジア原産です。

画像提供:@nanoscape。オリンパスSLIDEVIEW™ VS200リサーチスライドスキャナーで撮影。

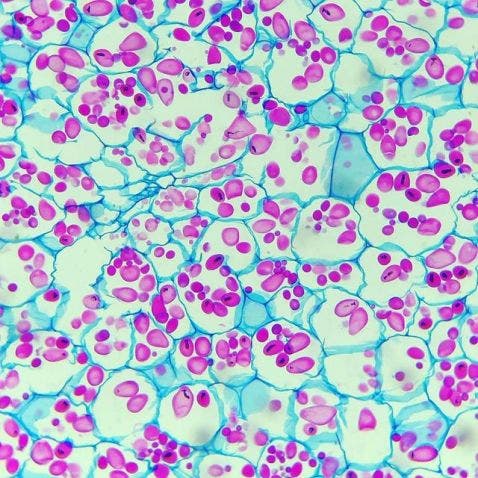
顕微鏡で見た貯蔵柔組織細胞

ジャガイモのことを考えるとき、その素朴な味とホクホクした食感を思い浮かべますが、このジャガイモ塊茎の画像には驚かされます。ここに見えるのは、でんぷん粒(ピンク色)と貯蔵柔組織細胞です。ジャガイモがこんなにかわいいなんて意外ですね。

画像提供:Cetinbas-Genc博士。オリンパスCH20微鏡で撮影。


https://static4.olympus-lifescience.com/data/Video/Library/Rotifer_Collotheca(2).mp4?rev=78F9

おまけの動画です。ワムシが主役のこの動画では、藻類が楽しさをもたらしてくれます。

「これは美しいワムシ(Collotheca)が、じょうご状の罠となる繊毛冠でエサを捕獲している様子です。ワムシは微小動物で、草食の後生動物群の重要な仲間です。有機堆積物、バクテリア、藻類を捕食します。規模を広げて見ると、この群集による全体のろ過作用で、水質と生態系の機能が正しく保たれています。」

ビデオ提供と説明:@thejoyofalgae。オリンパスBX51顕微鏡で撮影。

このような画像をもっとご覧になるには、Instagramで@olympuslifescienceをフォローしてください。

ご自分の画像をシェアしませんか?当社の画像応募サイトをご覧ください。

Kerry Israel

Kerry Israel

マーケティング・コミュニケーション、マネージャー

Kerry Israel氏は、Olympus Corporation of the AmericasのScientific Solutions Groupのライフサイエンスのマーケティングおよびコミュニケーションのマネージャーです。Brandeis Universityで文学士号を取得し、広告・ソーシャルメディア戦略からグラスルーツアウトリーチまで、マーケティングのすべての側面で15年を超える経験を有しています。