原生生物、植物、トラ:2021年8月の人気顕微鏡画像

september-2021-kerry-israel-banner.jpg

Kerry Israel

Kerry Israel

2021年 9月 15日

真核生物と葉から腎臓まで、2021年8月の人気画像が多彩な色を見せてくれます。 カラフルな作品をお楽みください。

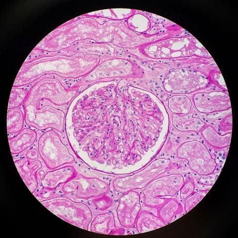
過ヨウ素酸シッフで染色したトラの腎臓

画像は、過ヨウ素酸シッフ(PAS)で染色したトラの腎臓切片です。

「腎臓は血液をろ過するための器官です。 ここで老廃物を取り除いて集め、尿に排出します。 腎臓は血流内の塩分、水分、ミネラルの量を調節する役割も担っています。

私の考えでは、糸球体が主役です。 糸球体は腎臓内にあるループ状の毛細血管であり、ろ過処理を開始するところです。 水分や老廃物などの小さな分子をろ過して、尿細管に送ります。 尿細管に送られると、必要な成分は血流に戻され、残った老廃物は集合管に送られて、最終的に尿に排出されます」

画像提供および説明:Kate Murphy氏。 オリンパスBX40顕微鏡で撮影。

後根神経節クラスター

「神経の木」とうまく名付けられたこの顕微鏡画像は、植物や花ではなく、神経の集まりです。 花に見える部分は、後根神経節クラスターとシュワン細胞移植片培養からできており、枝と幹に見える部分は、シュワン細胞とニューロフィラメントが染色された坐骨神経でできています。

画像提供:Diara Santiago Gonzalez氏。 オリンパスのディスク走査型顕微鏡ユニット(DSU)で撮影。

顕微鏡で見たワタの葉

次の画像は、青色のラインベルク・カスタムフィルターを使用して、ワタの葉を拡大撮影したものです。 光学的染色の一種であるラインベルク照明は、色の付いたゼラチン製またはガラス製のフィルターを使用して、標本とバックグラウンドの両方を鮮やかに色付ける、印象的な低出力から中出力の暗視野照明です。

ワタの葉の断面は、木部(紫色)、師部(水色)、複数の繊維から構成される複雑な網状構造を見せています。

画像自体に増して驚くべきは、撮影したのが生物学者でもあり写真家でもある韓国の高校生だということです。 若い科学者の活動を見るのは嬉しいですね。

画像提供:@minjunsmicroworld。 オリンパスCX21顕微鏡で撮影。

放散虫の骨格

Håkan Kvarnström氏による「Exploring the Microscopic World with X Line™ Objectives」シリーズでは、毎月、Stockholm Royal Gardens周辺の池の微生物を写した新しい画像を紹介しています。 今月取り上げた画像では、DIC観察とフォーカススタッキング(20X)を使って撮影された放散虫の魅力的な骨格が示されています。 これらの骨格の残骸は珪質軟泥という堆積物を生成しますが、これは海底の15%を占めるというから驚きです。

画像提供:Håkan Kvarnström氏。 オリンパスBX51顕微鏡とX Line対物レンズで撮影。

顕微鏡で見た原生生物

アカンタリアは共生藻を持つことが多い原生生物(細胞内に細胞核を持ち、動物、植物、菌類のいずれでもない生物)です。 藻と原生生物との緊密な関係の中で、特殊な栄養循環が発達します。 アカンタリアは形と大きさから、プランクトン群内で容易に識別できます。 骨格は硫酸ストロンチウム(SrSO4)からできています。 主成分が硫酸塩という生物はほかに見当たりません。

画像提供:Gabrielle Corradino氏。 彼女の仕事についての詳細は、ディスカバリーブログのインタビューをご覧ください。

ボーナス動画をご紹介します。

ご覧いただいているのは最高潮に光合成を行っている葉です。 円盤状の葉緑体が、細胞の周りを一定の循環パターンで、毎回ほぼ同じ経路で動いている様子をよくご覧ください。 動画の撮影は、ベルトコンベヤーのように機能するタンパク質装置で緑色の細胞小器官を引き回し、照明が均一に当たるようにして行われました。

動画提供:Benedikt Pleyer氏。

画像をもっとご覧になるには、Instagramで@olympuslifescienceをフォローしてください。

ご自分の画像をシェアすることをお望みですか? 当社の画像応募サイトをご覧ください。

Kerry Israel

Kerry Israel

マーケティング・コミュニケーション、マネージャー

Kerry Israel氏は、Olympus Corporation of the AmericasのScientific Solutions Groupのライフサイエンスのマーケティングおよびコミュニケーションのマネージャーです。Brandeis Universityで文学士号を取得し、広告・ソーシャルメディア戦略からグラスルーツアウトリーチまで、マーケティングのすべての側面で15年を超える経験を有しています。