「死後の組織学的アートワーク」によって命を吹き込む

october-2023-rebecca-chandler-banner.jpg

Rebecca Chandler

Rebecca Chandler

2023年 10月 31日

顕微鏡を通して観察される「死」とはどのようなものでしょうか?法医病理学者のMarianne Hamel博士に、その謎を解き明かすべく話を伺いました。

博士は、ペンシルベニア州とニュージャージー州で法医病理学に従事しています。クリエイティブ面でのパートナーであるニューヨーク市在住の法医学写真家、Nikki Johnsonとともに、現在ニュージャージー州のラトガーズ大学カムデン校のステッドマン・ギャラリーにおいて、Death Under Glass(カバーガラスを通して見る死)という病理組織学的画像を集めたコレクションを展示しています。

これらの画像は、死後の人体構造を見ることができる貴重な機会となっていますが、驚くべきことに、とても美しいものです。各標本は非常に薄くスライスされ、その後何種類もの染料により染色されることで、細胞内構造の特定の要素が浮き彫りになり、遺体における自然疾患、外傷、薬物乱用などの影響を示します。コレクションの中には、法医病理学者が死因を特定する作業に使用できる診断用の画像もあります;その他は、人体組織の複雑な相互作用を示す、美しさに特化したものです。ギャラリー以外でも、Marianneは@deathunderglassとしてインスタグラムにおいて、高倍率での法医病理学画像を発信しています。

彼女の死後の組織学的アートワークについて詳しく知るために、お話を伺いました。このインタビューでは、法医病理学者としての彼女のユニークな世界観を紹介し、顕微鏡を通して見る法医病理学的画像からどのように生前の様子が浮かび上がるかをお伝えします。

Marianne Hamel博士、法医病理学者

Q:法医病理学者の役割と、他の医療専門分野との違いについて教えてください。

Marianne: 最も明白な違いは、法医病理学者は生前の患者を治療しないことです。もし私が治療するとすれば、極めてまれなケースになります。

法医病理学者の役割は、変死、不審死、医師の治療を受けていない、あるいは担当地域の監察医による注意を必要とするような状況下で死亡した人々の、死因とその過程を鑑定することです。私は検死をすることでそれを実現しています。

私が最も興味があるのは、死因と園周辺の状況を解明することです。スポーツの試合展開を見極めようとすることに似ていますが、我々は試合終了後の場面にしか立ち会えません。ですから、優れた探偵にならなければいけないのです。少しばかり詮索好きで、パズルを解くのが好きな人には本当にふさわしい仕事です。自分の手を動かし、不完全な情報だけしかない状況でも何とか頭を働かせる必要があります。

この仕事のもうひとつの良いところは、退屈が嫌いな人には、私もまさにそのタイプですが、とても向いているという点です。私は、毎日何か違った作業に取りかかっています。日によって、検死解剖を行ったり、未解決の症例を検討したり、組織学的構造を確認したり、検査を行ったり、とさまざまです。また、弁護士から民事事件や刑事事件について意見を求められることもあります。単調な繰り返し作業が得意でない人にとっては最高の仕事です。その上で、丈夫な胃が必要ですが、それは別の問題です。

Q:法医病理学者になろうと思ったきっかけはなんですか?

Marianne: 14歳のとき、病理学者になろうと決めました。姉は12歳のときに歯科医になろうと決心し、後に歯科医になったので、お互い早い段階で仕事を選択し、初心を貫いたわけです。

大学の1年目が終わった19歳のとき、ペンシルベニア州の一部を担当する、地域の監察医であるIsidore Mihalakis博士の下でインターンに参加する機会を得ました。Mihalakis博士は非常に優秀な方でした。彼は夏の間、私をアヒルの子のように後をついて回らせてくれました。管轄官庁や裁判所の訪問、遺族との面会、そして死亡現場にも足を運びました。試験管を手に取ったり、メスハンドルを洗浄したり、博士が必要とすることは他に何でもさせていただき、すばらしい経験をしました。

その後、医学部に進みましたが、進学初日に、監察医になろうと思いました。そして卒業する最終日でも、監察医になることを希望していました。その他の専門分野を考えたことなどありません。最終的な目標は、常に法医病理学の専門医になることでした。

Q:普段の仕事で、顕微鏡をどのように使っていますか?

Marianne: ほとんどの場合、外科病理学者、または生体検体や生体組織検体の分析担当者は、診断を下す材料として使用しています。最も一般的なのは、がんの有無について確認することです。

これは私が普段、求めていることではありません。私が発見しようとするのは、その他のありとあらゆるものです。法医病理学では、顕微鏡検査でしか診断できないものがあります。たとえば、心筋炎(心臓の筋肉の炎症)が起こると、予期せぬ突然死を招くおそれがありますが、組織学的証拠以外の痕跡は一切残りません。もうひとつの例は不凍液中毒で、腎臓に偏光下で確認できる扇型の結晶が残ります。このように、顕微鏡を通して診断しなければならないことが、法医病理学には数多くあるわけです。私は顕微鏡を使用する作業をかなり気に入っています。

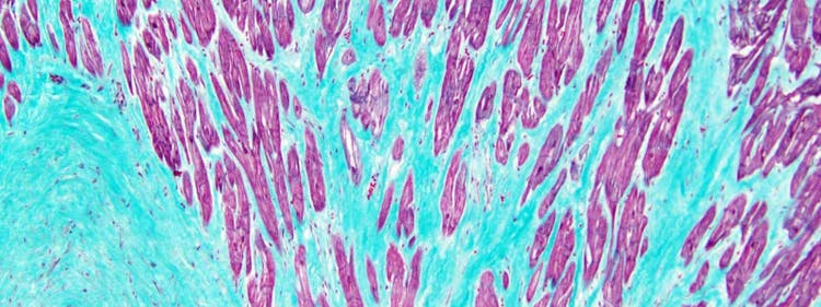
顕微鏡で観察されるトリクローム染色された心臓

トリクローム染色された損傷したヒト心臓の断面。青色の部分は瘢痕組織。赤色の部分は生存細胞。オリンパスBX43顕微鏡とDP26カメラで撮影。画像提供:Marianne Hamel博士

Q:どのような種類の顕微鏡をよく使用しますか?

Marianne: オリンパスのBX43顕微鏡はとても優秀で、スライドはすべて自宅で分析しているのですが、主に偏光観察を使用します。私は運よく高品質で特殊染料に対応してくれる組織学者に出会うことが出来ました。組織学は芸術と科学を融合であり、偉大な学問なのですが、十分な評価を得ているとは言い難いです。優秀な組織学者を見つけたのであれば、彼らに十分投資し称賛することで手放さないことが重要です。組織学者の数が急に増えることは、現状残念ながらあまり期待できないからです。

私は、オリンパスのcellSens™ イメージングソフトウェアを使って画像の処理と保存を行います。展示会用の画像を作成する場合は、ニューヨーク市にある特殊印刷業者に画像を送って、アルミニウムに印刷してもらいます。

Q:事件解決に向けて顕微鏡がカギとなった状況を教えていただけますか?

Marianne: 少し前に、薬物問題を抱えていた女性の事件を担当しました。検査結果はメタンフェタミン(覚醒剤)陽性でした。ところが、彼女の冠動脈の断面の1つに注目したところ、解離していたことが確認できました。動脈の内壁に裂傷があり、2つの血流経路が生じていたため、正常な経路が塞がれていました。

本当の死因はメタンフェタミン中毒ではなかったのです。このケースでは、冠動脈について顕微鏡検査を行わなければ、正しい死因を見つけられなかったでしょう。

Q:あなたのキャリアの中で、顕微鏡技術はどのように進化し、あなたの仕事にどのような影響を与えてきましたか?

Marianne: 古い顕微鏡のスライドや昔のテキストを見てみると、たいていは白黒で撮影されています。遠くから霧に包まれた状態で撮影されたように見えます。これは顕微鏡技師の技術不足によるものではありません。単に当時の技術には限界があったからです。

スライドを分析できるようになるということは、言語を学習することに似ています。病理医は、他の医師が診断を下して適切な治療を提供できるように、組織を解釈するという重要な役割を担っています。そのためには、組織を読み解く言葉を学ぶ手助けをしてくれる別の病理医一緒に、何十万ものスライドを読む訓練をする必要があります。

顕微鏡下で観察されるペンタクローム染色された血管

モバットペンタクローム染色された正常ヒト動脈の切片。5種類の染料を使用して細胞内構造のさまざまな要素を際立たせている。たとえば、血管に強度と弾力性を与えている動脈壁の弾性繊維は、ペンタクローム染色で処理すると黒く見えます。オリンパスBX43顕微鏡とDP26カメラで撮影。画像提供: Marianne Hamel博士

Q:法医病理学の仕事の一環として、他の専門家と共同で作業しますか?

Marianne: ほぼすべての事件において、毒物検査は実施していますね。特に現在(米国では)合成オピオイドの「フェンタニル」依存が大きな社会問題になっており、毒物検査は非常に重要です。毒物学者の仕事は極めて難しいものです。フェンタニルの流行が進展していき、さまざまなものに進化していく中では、五里霧中の状態で車を走らせるような仕事です。偶然ですが、私のキャリアはフェンタニルの流行が本格化しつつある、まさにそのときにスタートしました。12年にわたり、フェンタニル流行の変化と進化をリアルタイムで注視してきました。

また、人類学者にサポートを求めることもあります。時々、一部または全体が白骨化した事件があります。おそらく年に4、5回は、骨の専門家にもサポートを求めています。彼らは私達の仕事に欠かすことの出来ない専門家です。すでに述べたとおり、組織学者とも頻繁に連携しています。すべての事件が少しずつ異なるので、それが毎日何か違う作業を行うとお話しした理由です。事件に応じて解決へのアプローチを変更する必要があります。

Q:こうした共同作業のうち、あなたの芸術に影響したものはありましたか?

Marianne: 他の病理学者からスライドが送られてきて、「実に美しいです。一度見てみてください」と言われることがあります。その中には素晴らしい画像もいくつかあり、展示することに至ったものもあります。それぞれの役割における専門家の寛大さを表していますね。

Q:自分の「仕事」がアートだとも言えると気付いたのはいつですか?また、どのようにしてその道を歩んでこられたのですか?

Marianne: 研修生だった私は、いまのクリエイティブ・パートナーであるNikki Johnsonに顕微鏡で撮影した画像を数枚見せました。そして、「この美しさを他の人にも見せることができればいいのに」と言いました。彼女はそれを見て、こう言いました。「こういう撮影ができるなら、解像度が十分高いので画像を拡大して実際の芸術作品に仕上げられる。」そうやって、実現したのです。

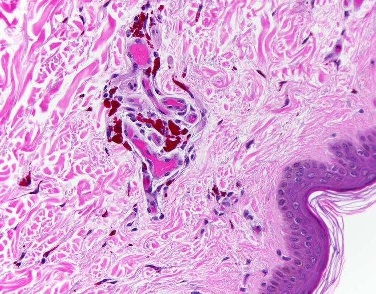
顕微鏡下で観察されるタトゥーの赤色色素

皮膚の切片にタトゥーが含まれている。高倍率により、個々の色素顆粒が皮膚の深層部である真皮で観察できる。顕微鏡下では他に黒色、青色、金色の色素顆粒が確認できる。オリンパスBX43顕微鏡とDP26カメラで撮影。画像提供: Marianne Hamel博士

Q:自分の作品がギャラリーに展示されることをどう感じていますか?

Marianne: 公共の場で自分の作品を見るのは少し現実離れした感じです。ギャラリーの展示が万人に公開されていることをすぐに忘れてしまいます。ある人が私のところにやって来て、「あなたの展示を見ましたよ」と言ってくれましt。心の中で、「本当に?」と思いますが、誰でもフラッと入ってこれるのですから当たり前のことですよね。

アイデアを出し、そのアイデアが実現するのを目にするのは、非常に嬉しいことです。ステッドマン・ギャラリーのマネージャー、Jake Foster氏はすばらしいできばえの作品展示をしてくれました。実際の写真を展示し、その奥の壁に高解像度のプロジェクションを配置したのです。投影したのは印刷しなかったけれどもやはり見てもらいたい画像でした。およそ25枚のプロジェクション画像を投影し、すばらしい組み合わせになりました。

Q:作品を鑑賞する方々にどんなメッセージを伝えたいですか?

Marianne: この分野で最近刺激的なことの一つに、このプロジェクトにはそれほど関係していませんが、法医系譜学(forensic genealogy)というトピックがあります。法医系譜学とは、重大な事件で容疑者や被害者を特定する際に遺伝子研究を使用する手法です。たとえば、犯罪者の検体がデータベースになくても、その親族の検体が含まれている場合があります。系譜学では家族構成や家系図を利用して、容疑者の人数を数名、または1名にまで絞り込むことができます。以前ならば絶対に不可能でした。データベースに見当たらなければ、もうお手上げだったのです。

法医系譜学は実に有力な手法です。最近、解決できないと考えていた事件のいくつかが法医系譜学によって解決の糸口を掴みました。法医系譜学の発展にとても関心を持っています。私自身にも、解決されていない未解決事件がいくつかあるので、大きく期待しています。今後数年以内に、逮捕に成功して、証言を求められることを心から待っています。

Q:芸術における経験が、法廷において、あるいは科学には明るくない聴衆に対して、顕微鏡による所見を伝えることに役立っていますか?

Marianne: 専門用語を使わずに表現するのがうまくなりました。これはたいへん役に立っています。いつも皆さんに説明するよう努めていることは、組織構造とは実際には人為的に構築されたものだということです。染色しない人体の組織は透明なので、この画像は実際には作ったものです。自然な画像ではありません。このことを芸術の鑑賞者に説明する経験のおかげで、陪審員に事件のあらましを説明するのがうまくなりました。

証言するときは、本日のテーマである法医学の小さな領域でちょっとした上級者向けの特別講義をしているようなものです。返答の言葉が3語を超えるときは、話しかける相手は検察官または被告側の弁護士ではありません。話す相手は陪審員であり、この方々に理解してもらえているかどうかはすぐにわかります。頸動脈の話であれば、自分の脈拍を確認するものですと言って、陪審員のうち6人が手を伸ばして首に触れれば、伝わっています。専門用語を使わない芸術の鑑賞者に向けた文章を書くことで、専門知識がない陪審員とのやり取りが円滑になりました。

Q:法医病理学でのキャリアを目指す人へのアドバイスはありますか?

Marianne: まず何より、組織学者を目指すのであれば、急いで学校に通ってください!この業界は人材不足が深刻ですから。有能な組織学者はほんの一握りしかいません。法医学業務の需要増加に伴い、さらに多くの法医病理学者が必要とされています。そこにたどり着くまでの道程は長いけれど、とてもやりがいがある仕事だと思っています。打たれ強さも必要です。仕事内容を非難されることがあるでしょう。他の専門医のように、患者から感謝されることもありません。それでも、仕事内容とそこで体験する知的鍛錬は非常に有意義でやりがいのあるものです。

顕微鏡下で観察されるアミロイドーシスを生じた人体組織

人体組織の切片を特殊なコンゴーレッド染色で処理後、偏光下で表示したもの。アミロイドの存在が確認できる。人体組織にタンパク質が不適切に沈着する疾患であるアミロイドーシスは、偏光下で淡い黄緑色の光を発する。オリンパスBX43顕微鏡とDP26カメラで撮影。画像提供: Marianne Hamel博士

Q:自分の仕事にももっと芸術を取り入れたいと考えている法医病理学者にアドバイスはありますか?

Marianne: ぜひ私にお手持ちのスライドを送ってください!

Q:インスタグラムで作品を共有することを通して、法医病理学に対する関心が高まってきたと感じますか?

Marianne: これまで8年間にわたり、インスタグラムで@deathunderglassのアカウントを運営していますが、法医学に対する人々の関心は非常に高いです。フォロワーは極めて熱心です。

具体例を提示しましょう。モンゴメリー郡の病院で、研修医に向けた推薦図書目録を作りました。法医学または法医学関連の書籍で、私が良質だと思った15冊のリストです。そのすべてが一般受けする読みやすい書籍というわけではありません。テキストも数冊あり、種類はさまざまでした。私はそのうちのいくつかをアカウントに掲載し、「全リストが欲しい場合はメールしてください」と記載しました。20人か30人くらいの人からメールが届くかもしれないと思ったのです。翌朝目覚めると受信ボックスには400通ものメールが届いていて、皆さんの関心をあまりに低く見積もっていたことに気付かされました。

Q:法科学について伝えたいことは何か他にありますか?

Marianne: 最近では、「死」についての考え方を無理やり浄化して、なにか「衛生的」に捉えようとする動きがあるように感じています。人体解剖学のような分野に目を向けず、あたかも人間は死なないかのように振る舞うことが求められる場面もあります。私は、誰もがいつか死ぬという事実を前提として、キャリア全体を過ごしてきました。これまでのところ、間違ってはいません。人間の死亡率は100%です。

遺体安置所で何をするかについて話し合うことは大切です。年配の法医学従事者の中には遺体安置所で私たちがしていることは内密にするべきで、死体や解剖のような事柄は決して口にしてはいけないタブーだと考えている人もいます。私の考えはまったく違います。

私は貴重な公共サービスを提供していると考えています。私が従事する分野の人材は信じられないほど一生懸命に働いていますが、ほとんど評価されることがありません。法医病理学者に限って話しているわけではなく、検死技師、身元の確定に携わる人々、毒物学者についても同様です。

その誰もがとても真剣に取り組んでいて、称賛に値します。実際には起こっていないマジックのように、我々の作業後に死体の切開部を縫合する人は必要ない、遺体安置所の清掃を行う人は必要ないなどと装うことはできません。一生懸命働き、業務をしっかりと遂行してくれる彼らを、私は日々頼りにしています。

Rebecca Chandler

Rebecca Chandler

Staff Writer

Rebecca氏は、Olympus Scientific Solutionsのスタッフライターです。Endicott Collegeでジャーナリズムの学士号を取得し、科学および産業におけるトレンドとテクノロジーについて執筆しています。オリンパスのエンジニアや科学者と密接につながって仕事をし、最新のレーザー走査型、超解像、多光子、正立型、実体、倒立型の顕微鏡システムの他、最先端の光学系、カメラ、ソフトウェアについての記事を書いています。細胞学、病理学、教育など、数多くのアプリケーションにおけるオリンパスの最新の状況を知るためには、彼女の記事を読んでください。