ホールスライドイメージングと人工知能(AI)によるループス腎炎評価のスピードアップ

ループス腎炎(LN)は、全身性エリテマトーデス(SLE)に伴って発症することの多い(40~60%)慢性炎症性腎疾患です。1 LN患者のうち最大30%は腎不全を発症し、その後は透析または腎臓移植のみの治療となります。ループス研究の目的は、生検サンプルでLNを識別・評価するプロセスをスピードアップして、早期検出の可能性を高めるとともに、疾患予後の向上につなげることにあります。

Wei Juan Wong

Wei Juan Wong

8 December, 2022

ループス腎炎(LN)サンプル評価の課題

LNは広範囲の病変を引き起こし、組織損傷を示します。これは腎生検サンプルを光学顕微鏡で観察すると見られます。腎臓障害と該当するLN分類の評価は、International Society of Nephrology(ISN)/Renal Pathological Society(RPS)分類に概説されています。病理学者はこの分類体系を使用して、病気の段階を判断します。

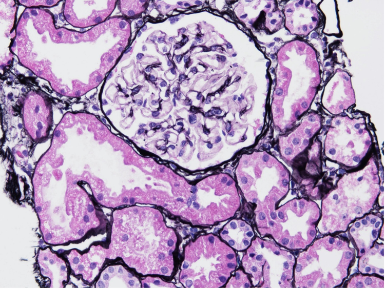
例えば、図1はLNクラス1の初期段階の患者の腎臓サンプルを示していて、健常者と比べて糸球体の目立った変化は見られません。2

図1:Jonasシルバー染色剤で染色されたLNクラス1腎生検サンプル

図1:Jonasシルバー染色剤で染色されたLNクラス1腎生検サンプル

それに対して図2で、LNクラス5の進行期患者のサンプルは、糸球体基底膜に沿って拡散した穴(青い矢印)や小さなスパイク(赤い矢印)を示しています。3

図3:ディープラーニングを使用した病理評価を行うためのMRPSモデルのワークフロー

図3:ディープラーニングを使用した病理評価を行うためのMRPSモデルのワークフロー

Shen先生と研究者チームは、SLIDEVIEW™ VS200リサーチスライドスキャナーを活用して、健康なマウスとLNマウスから採取したPeriodic Acid-Schiff(PAS)染色腎臓組織の高解像ホールスライド画像(WSI)を199枚取得しました。研究者たちは画像を5つのカテゴリーに分け、健康なマウスにはスコア0、重篤なLNマウスにはスコア4を付けました。これらの画像をさらにトレーニングセットと評価セットに分けました。

糸球体と糸球体細胞にそれぞれ手動ラベリングを行うことで、TruAI™ディープラーニングテクノロジーを使用して、トレーニングセットから2つのニューラルネットワーク(NN)、糸球体NNと細胞NNを生成することができました。

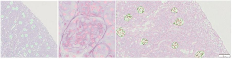
次にこれらのNNを検証セットに適用し、各画像から複数の糸球体と細胞の特徴を抽出しました(図4)。4

Figure 4. Application des réseaux neuronaux entraînés à une image de validation représentative : a. Tous les glomérules ont été identifiés en cyan b. Tous les noyaux rénaux ont été identifiés en magenta. c. Le glomérule et les noyaux identifiés ont été mesurés dans la région d’intérêt. Le réseau neural glomérulaire a fourni une région d’intérêt pour le comptage ; le réseau neural cellulaire a compté tous les noyaux à l’intérieur de cette région d’intérêt.

図4:代表的な検証画像へのトレーニング済みニューラルネットワークの適用。a:すべての糸球体がシアンで識別されています。b:すべての腎臓核がマゼンタで識別されています。c:識別された糸球体と核が対象領域(ROI)内で測定されています。糸球体ニューラルネットワークによってカウント用のROIが示されました。核ニューラルネットワークによってROI内のすべての核がカウントされました。

外周、形状係数、最小内径、最小直径、各特徴内のオブジェクト数は、LNの重篤度を示す独立予測因子です。これらのパラメーターに基づいて研究者たちがスコア付けモデルを開発した結果、評価の助けになり、研究者によるスコアとの正の相関が見られました。

画像解析を支援するTruAI™ディープラーニングの可能性

この研究は、ディープラーニングテクノロジーの使用によって病理サンプルの高スループットで再現性のある解析が可能であることを示しています。これは高スループットのWSI解析が必要とされている基礎研究に有益です。ディープラーニングは他のモデルや疾患にも応用でき、研究者の負担を大きく軽減するとともに解析時の定量的精度を高める可能性を持っています。

謝辞:

本稿の初版(Make it Evident丨TruAI 加速狼疮肾炎病理学诊断(qq.com)で公開)を執筆してくださったShen Luping先生に感謝いたします。

Wei Juan Wong

Wei Juan Wong

デジタルスライドスキャンシステム部門、アプリケーションスペシャリスト

Wei Juan Wong氏は、Evidentでデジタルスライドスキャンシステムのアプリケーションスペシャリストを務めています。シンガポールのプロダクトスペシャリストとして当社に加わり、東南アジア地域で、SLIDEVIEW™ VS200リサーチスライドスキャナーなどの広視野顕微鏡を使用するお客様をサポートしました。その後ドイツに移り、EVIDENT Technology Center Europeにアプリケーションスペシャリストとして勤務し、世界中のお客様にアプリケーションとマーケティングのサポートを提供しています。物理学の学位を取得し、生物物理学研究室と顕微鏡法コア施設に勤務した経験があります。