애플리케이션 노트

문의하기

석기 샘플 준비에 대한 평가: 세척이 표면 측정에 미치는 영향:

evaluating_sample

요약

사용흔 분석은 석기 표면에 남아있는 흔적을 확인하여 고고학 도구가 어떻게 사용되었는지를 재구성합니다. 기존 분석은 광학 현미경을 사용하여 마모 흔적을 시각적으로 식별합니다. 최근 몇 년 동안 석기의 기능적 흔적을 정량화하는 데 사용할 수 있는 새로운 사용흔 분석 방법이 개발되었습니다. 이러한 방법들 대부분은 뿔, 고기 및 나무와 같은 다양한 접촉 물질로 인해 생성된 표면 질감의 변화를 이해하기 위해 작은 규모로 지형적 형태를 측정하는 표면 거칠기의 정량화에 중점을 둡니다.

특별한 가능성을 보여주는 한 가지 방법은 Olympus LEXT OLS4100 레이저 스캐닝 컨포칼 현미경을 사용하여 표면 질감을 특징 짓는 것입니다. 다음은 밀을 자르는 데 사용되는 실험용 석기의 표면 거칠기에 대한 다양한 세척 방법의 영향을 이해하기 위해 LEXT OLS4100으로 측정한 결과입니다.

현재, 분석에 앞서 석기 도구를 적절하게 세척하는 방법에 대하여 사용흔 분석가들 간의 의견 일치는 거의 없습니다. 표준화는 서로 다른 연구자들의 결과 간 비교를 가능하게 해주므로 사용흔 분석의 개발과 마모 추적의 정량화에 대한 지속적인 연구에 필수입니다. LEXT OLS4100에 의해 생성된 고해상도 이미지와 표면 측정은 이 현미경이 이 논의에 기여할 수 있는 고유한 자격을 부여합니다. 이 연구에서 실험용 석기는 세 단계의 세척을 거쳤습니다. 1) 석기를 알코올, 2) 비누와 물로 세척하고, 마지막으로 3) 수산화 칼륨(10 %) 및 염산(10 %)으로 화학적 세척 이 세 단계의 세척은 일반적으로 사용되는 대표적인 표본 준비 기법이며, 점차로 침습적입니다.

이 연구의 결과는 표본 준비의 표준화에 기여하며, 더 많은 사용흔 연구를 위한 LEXT OLS4100의 적용을 강조합니다. 본 연구의 목적은 다음과 같습니다.

  1. 일반적으로 사용되는 다양한 세척 프로토콜이 표면 거칠기 측정에 영향을 미치는지 시험
  2. 마모된 석기 표면에 다양한 세척 프로토콜의 시각적 효과 제시

레이저 스캐닝 컨포칼 현미경 및 사용흔 정량화

3d_image_stone_tool
그림 1: LSCM으로 촬영한 밀 수확에 사용되는 석기의 3차원 이미지. 석기의 가장자리는 화면 아래쪽을 향합니다.

레이저 스캐닝 컨포칼 현미경(LSCM)의 사용이 석기 사용흔 정량화에 대한 고고 학적 연구에서 점차 인기를 얻고 있습니다. LSCM은 표면 형태의 3D 모델을 구성하여 표면 질감을 특징 짓는 기능을 가지고 있으며, 다양한 접촉 물질과 광택을 구별하는 데 유용한 표면 거칠기의 정량적 측정을 제공합니다(그림 1).

수확 실험 설정

harvesting_field
그림 2: 생 발리에 드 티에이 마을 외곽에 위치한 수확지.

2011년 8월, 프랑스 남부에서 수확 실험이 실시되었습니다(국립 과학 연구 센터 Patricia Anderson 박사가 주관 및 감독). 실험은 밭을 베는 사흘, 밀을 타작하는 하루, 곡식을 걸러내는 하루 등 5일에 걸쳐 이루어졌습니다. 생 발리에 드 티에 마을 외곽에 위치한 수확지에 외알밀을 심었습니다(그림 2). 이 밀은 먼 옛날부터 길들여진 종으로 고대 수확 활동과 상당히 유사합니다.

experimental_sickle

그림 3: 수확 실험에 사용된 실험용 낫.

수확에 사용된 실험용 낫은 나투피아인들의 점령지인 케바라 동굴(이스라엘)의 고고학 유물을 본떠 만들었습니다(그림 3). 낫은 각암으로 만들어진 여섯 개의 기하학적 세석기(네게브 지역 각암)로 만들어졌으며, 약 12,000회의 낫질(약 400분)이 이루어졌습니다. 낫에서 두 개의 세석기 삽입물을 선택하여 세척 프로토콜의 차이를 시험했습니다.

낫 삽입물 분석 방법

분석을 위해 낫에서 나온 두 개의 석기 삽입물이 선택되었습니다. 분석의 첫 번째 단계에서 석기를 메틸 알코올과 기술용 물티슈로 세척하여 천에서 유물로의 잔여물 이동을 최소화했습니다. 석기를 세척한 후에는 각각 20배 대물 렌즈와 50배 대물 렌즈(그림 4a 및 5a)를 탑재한 LEXT OLS4100으로 스캔했습니다.

두 번째 단계에서는 부드러운 빗살 칫솔로 석기를 가볍게 빗질하면서 따뜻한 물과 순한 세제(뉴트라텍)로 닦았습니다. 세척 후 LEXT OLS4100으로 동일한 위치에서 동일한 배율로 다시 한 번 스캔했습니다(그림 4b 및 5b).

분석의 마지막 단계에서 석기는 화학 세척을 거쳤습니다(1980년 Keeley가 개괄). 먼저 유기 침전물을 제거하기 위해 10% 수산화칼륨(KOH)의 욕조에 10분간 담갔습니다. 이어 광물 침전물을 제거하기 위해 10% 염산(HCL)에 10분간 담갔습니다. 마지막으로 깨끗한 물에 담가 나머지 화학 물질을 제거했습니다. 최종 세척 단계 후 세석기를 스캔했습니다(그림 4c 및 5c). 이와 같이 석기는 분석의 각 단계에서 점차 더 침습적인 세척 기술에 노출되었습니다.

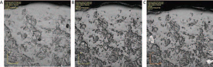
stone_tool1
그림 4: 석기 #1 a) 알코올로 세척, b) 비누와 물로 세척, c) KOH(10 %) 및 HCL(10 %)로 세척.

evaluating_sample
그림 5: 석기 #2 a) 알코올로 세척, b) 비누와 물로 세척, c) KOH(10 %) 및 HCL(10 %)로 세척.

데이터 분석 및 결과

전체 연구 결과에 따르면 알코올 세척은 사용흔의 시각적 해석(그림 4a 및 5a)이나 사용흔 정량화에 충분하지 않습니다. 그림 6에 요약된 데이터는 알코올로 세척한 석기 #1의 평균 거칠기 표면 측정값의 변동이 크다는 것을 나타냅니다.. 석기 #2의 경우, 조각은 높은 분산과 높은 평균 거칠기 측정값을 지닙니다(그림 7). 이는 윤활유(질감이 매끄러운) 및 입자성 물질(거친)과 함께 마모된 표면에서 발견되는 질감이 매우 가변적인 표면을 생성하기 때문일 수 있습니다. 이러한 해석은 윤활유 및 기타 결정립을 표면에서 명확하게 볼 수 있는 이미지에 대한 시각적 평가를 통해 더욱 확증됩니다(그림 4a 및 5a). 세제를 사용하여 세척하면 윤활유와 많은 입자성 잔여물이 제거되어 두 석기에 대해 편차가 더 적은 측정 결과를 얻습니다. 석기 #2의 경우, 세제로 세척한 석기의 평균 거칠기는 알코올로 세척한 석기의 평균 거칠기보다 유의하게 낮았습니다(그림 7). 마지막으로, 산성 및 알칼리 방법으로 세척한 표면에는 작은 입자성 물질이 없는 것으로 나타납니다(그림 4c 및 5c). 따라서 화학적으로 세척한 조각의 표면 거칠기 측정에서는 질감 변화가 상당히 감소합니다. 이는 특히 뉴트라텍으로 세척한 표면과 화학 물질로 세척한 표면 사이의 표면 거칠기의 편차가 뚜렷하게 감소하는 석기 #1에서 잘 나타납니다. 석기 #2의 세제를 사용한 세척과 화학 물질을 사용한 세척 사이의 평균 표면 거칠기에 거의 차이가 없다는 것은 이 특정 석기에 대한 비누 세척이 충분했음을 시사합니다.

experimental_sickle

그림 6: 알코올, 뉴트라 텍 및 화학 세척을 사용한 석기 #1의 평균 거칠기

experimental_sickle

그림 7: 알코올, 뉴트라 텍 및 화학 세척을 사용한 석기 #2의 평균 거칠기

요약

이 연구는 세척 방법의 차이가 측정된 표면 질감에 영향을 미친다는 것을 보여줍니다. 또한 알코올로 세척한 도구의 윤활유와 결정립이 눈에 띄는 등 세척 단계마다 시각적인 차이를 확인할 수 있습니다. 이것은 사용흔 분석을 위한 방법론적 연구의 중요한 영역으로서의 표본 준비에 대해 강조합니다. 표면 질감만 측정되도록 하려면 도량학적 목적으로 이미징 전에 산/알칼리 세척을 권장합니다. 석기 #1에서 세제 세척과 화학 세척 사이의 측정값에 뚜렷한 차이가 있는 것은 모든 접착성 물질을 석기 표면에서 제거하기 위해 화학 물질이 필요하다는 것을 의미합니다. 그러나 시각적 평가를 위해 비누와 물로 세척한 석기는 화학 시설을 사용할 수 없는 경우 적절한 세척 방법이 됩니다.

이 사례 연구는 석기 표면 측정을 위한 레이저 스캐닝 컨포칼 현미경의 새로운 응용을 제시하여 사용흔 분석의 지속적인 표준화에 기여합니다. 이러한 세척 기법은 이제 석기를 사용하여 과거의 행동을 보다 잘 이해하기 위한 고고학적 집합에 적용될 수 있습니다.

감사의 말

Richard Leach(영국 국립 물리학 ​​연구소)에게 LEXT OLS4100의 사용과 지속적인 협력에 대해 감사드립니다.

Danielle Macdonald는 2011년 여름 실험 수확 작업에 참여할 수 있도록 초대해주신 Patricia Anderson에게 감사드립니다. 이 프로젝트에 대한 Macdonald의 작업은 토론토 대학 대학원 여비 보조금 지원을 받았습니다.

관련 제품

LEXT OLS5500

하이브리드 3D 광학 프로파일로미터

  • 나노미터에서 마이크로미터까지 추적 가능한 표면 측정
  • 레이저 주사 현미경(LSM), 백색광 간섭법(WLI), 포커스 베리에이션 현미경(FVM)을 하나의 수상 경력에 빛나는 플랫폼에 통합
  • LSM 및 WLI 측정 모두에 대해 정확도와 반복성을 보장하는 최초의 3D 광학 프로파일로미터*
  • WLI 모드는 기존 LSM보다 최대 40배 빠른 측정 처리량 제공
  • 자체설계된 광학으로 표면 전반에 걸쳐 탁월한 정밀도 제공
  • 직관적인 인터페이스와 스마트 자동화로 모든 수준의 사용자가 손쉽게 작업 가능
  • PRECiV™ 소프트웨어 통합을 통한 AI기반의 스마트 워크플로우와 고효율 측정 프로세스 지원

*Evident의 내부 조사 결과입니다(2025.10 기준). 보장된 정확도와 반복성은 장치가 제조사의 사양에 따라 교정되고 결함이 없는 상태일 때만 적용됩니다. 교정은 반드시 Evident 기술자 또는 Evident가 인증한 전문가가 수행해야 합니다.

자세히 알아보기

LEXT OLS5100

LEXT™ OLS5100 레이저 스캐닝 현미경은 뛰어난 정확도와 광학 성능을 스마트 도구와 결합하여 시스템을 간편하게 사용할 수 있도록 합니다. 미크론 단위 미만 수준에서도 형상과 표면 거칠기를 정확하게 측정하는 작업은 신속하고 효율적이어서 워크플로를 단순화하고 신뢰할 수 있는 고품질 데이터를 제공합니다.

자세히 알아보기