디지털 병리학용 SLIDEVIEW VS200

문의하기

모든 슬라이드. 모든 디테일. 모든 가능성.

Evident의 최첨단 슬라이드 스캐너로 고급 연구부터 전문 디지털 병리학까지 다양한 응용 분야를 지원해 보세요.

100년 이상 쌓아온 정밀 광학 분야 전문성을 기반으로 SLIDEVIEW™ VS200 범용 전체 슬라이드 이미징 스캐너는 다양한 배율, 유연한 슬라이드 크기, 다섯 가지 다기능 이미징 모드로 다양한 샘플과 염색을 캡처합니다.

탁월한 품질의 전체 슬라이드 이미지를 통해 실험실에서 샘플의 잠재력을 실현하고 자신 있게 획기적 결정을 내리도록 지원할 수 있습니다.

SLIDEVIEW DX VS200은 이제 EU IVDR*에 따라 임상 진단용으로 CE 마크를 받은 기기입니다. 발표 자료에서 더 알아보기 >>

*2025년 7월 제공

브로슈어 다운로드

FISH 분석, 40X

H&E 염색 조직, 40X

신뢰할 수 있는 이미지. 믿을 수 있는 결과.

최대 여섯 가지 고성능 X Line™ 대물렌즈를 지원하고 True Color LED 조명과 색상 보정 카메라 프로파일을 사용하는 SLIDEVIEW VS200 시스템은 선명한 전체 슬라이드 이미지를 제공합니다. 이 스캐너는 샘플과 염색 특성을 일관적으로 재현하도록 설계되어 재스캔의 필요성을 최소화하고 효율적인 진단을 지원합니다.

고급 이미징 모드와 조정 가능한 설정으로 샘플에서 더 많은 세부 정보 제공

명시야, 편광, 형광, 암시야, 위상차의 다섯 가지 이미징 모드를 사용하고 여러 기법을 단일 스캔에 조합하여 샘플에서 더 많은 세부 정보를 발견하세요. 이러한 유연성은 일상적 병리학부터 암 조직의 복잡한 세포 특성 분석까지 조직학 및 세포학 샘플을 관찰할 때 다양한 가능성을 열어 줍니다.

다섯 가지 이미징 모드로 X Line™ UPLXAPO10X 대물렌즈를 사용하여 촬영한 인간 연골

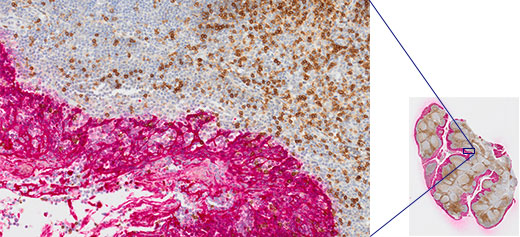
Tonsil CD3(rm), ImmPRESS Reagent(HRP), Anti-Mouse IgG Immpact DAB(갈색), AE1/AE3(m), ImmPRESS(AP)(HRP), Anti-Rabbit IgG Immpact Vector Red(적색). Hematoxylin QS(블루)로 대조염색.
이미지 데이터 제공: Vector Labs.

유연한 하드웨어 및 소프트웨어 옵션으로 더 많은 대상 관찰

표준 기능 이상을 활용하는 스캔

더 빠르고 간편한 워크플로

  • 빠른 전문가 모드를 제공하는 간편한 사용자 인터페이스가 있어 소프트웨어를 쉽게 배울 수 있고 유연성을 제한하지 않고 사용할 수 있습니다.
  • 면역형광부터 골수 샘플과 아밀로이드 영역까지 다양한 샘플을 스캔하고 디지털 워크플로에 추가할 수 있습니다.
  • 설정을 저장하고 불러와 반복적인 워크플로를 가속화하고 작업을 표준화할 수 있습니다.

한 배치에서 다른 유형의 샘플 스캔

  • 여러 슬라이드 유형과 크기 그리고 염색을 지원합니다.
  • 동일한 배치 내에서 다양한 형식을 자동으로 감지하고 스캔하여 효율성과 처리량을 향상시킵니다.

AI 기반 스캔으로 더 현명한 평가 수행

  • AI 기반 샘플 감지는 세포 및 조직 영역을 찾는 데 도움을 주고, 희미하게 염색된 샘플의 경우에도 스캔 정확도를 높이면서 저장 요구 사항을 최적화합니다.
  • 자동화 덕분에 시간과 노력이 절약되어 복잡한 케이스에서도 스캔 정밀성을 향상시켜 신뢰할 수 있는 평가를 지원할 수 있습니다.
  • TruAI™ 기술은 고정밀 세포 감지, 분할, 측정을 통해 비표지 관찰과 분석을 지원합니다.

워크플로

생산성 극대화, 워크플로 효율화

자동 디지털 슬라이드 관리

기존 PACS, 이미지 관리 시스템 또는 디지털 워크플로에 간편하게 통합되고 HL7, FHIR, ODBC, HDD 및 DICOM 표준을 지원하므로 실험실 워크플로 전반에서 상호운용성을 유지할 수 있습니다.

저장, 공유 및 협업

선택 사항인 Net Image Server(NIS) SQL 데이터베이스를 사용하여 어디서나 대형 이미지 파일을 관리하세요. 이미지를 저장하고 Evident의 OlyVIA 웹 기반 이미지 뷰어를 사용하여 공유하면서 원격 컨설턴트와 실시간으로 협업할 수 있습니다.

통합 지원을 통해 간편하게 디지털화

프로세스 전체에서 지원을 받으며 효율적이고 동기화된 디지털 워크플로에 따라 더 빨리 작업을 수행하세요. Evident 전문가로 구성된 글로벌 팀이 슬라이드 스캔부터 이미징 개선 및 데이터 관리에 이르기까지 전체 디지털 병리학 프로세스 최적화를 도와드립니다.

Image server connected to internet

다음 단계를 위한 대비

확장되는 요구 사항에 따라 역량 확장

지금 필요한 스캐너를 사용하되 실험실의 우선순위가 변화되면 확장할 수 있는 유연성을 누리세요. 암 시그니처 발견을 위해 멀티플렉싱된 형광을 사용해야 하거나, 뇌 조직 내 아밀로이드를 찾기 위해 편광을 사용하거나, 조직학적 특성을 확인하기 위해 대형 샘플을 분석해야 하는 등 그 목적이 무엇이든, SLIDEVIEW VS200 스캐너를 조정하여 과제를 해결할 수 있습니다.

현장 업그레이드 옵션을 사용하면 다운타임을 최소화하면서 기능을 확장할 수 있습니다.

  • 단일 트레이 시스템으로 시작한 후 케이스로드가 증가하면 고용량 로더로 업그레이드하세요.
  • 이미징 요구 사항이 증가되면 언제든 형광 기능이나 배율을 추가하세요.

https://adobeassets.evidentscientific.com/content/dam/mis/vs200/media/videos/SLIDEVIEW%20VS200_USCAP.mp4

디지털 병리학 활용도 증대

SLIDEVIEW VS200을 Evident의 SLIDEVIEW VS-M1 시스템과 연결하면 일상적 디지털 병리학을 위한 전용 스캐너를 사용하여 실험실의 역량을 확장할 수 있습니다. 처리량이 많은 실험실을 위해 설계된 SLIDEVIEW VS-M1 시스템은 가장 흔한 병리학 및 세포학 샘플을 위한 내장 워크플로를 통해 고품질 이미지를 신속하게 제공합니다. 이러한 시스템을 조합하여 사용할 경우, 샘플의 100%를 디지털화하는 데 한 걸음 더 가까이 다가갈 수 있습니다.

고지 사항

이 제품은 실험실용입니다. 제품의 성능이 고객의 특정 용도 또는 응용 분야에 적합한지 확인하는 것은 고객의 책임입니다.

해당 지역에서 판매 중인 옵션과 구성에 관한 목록 전체는 여기를 클릭하거나 현지 Evident 담당자에게 문의하여 확인할 수 있습니다.

이 분야와 관련된 제품

VS200

Evident의 최첨단 슬라이드 스캐너로 고급 연구부터 전문 디지털 병리학까지 다양한 응용 분야를 지원해 보세요. SLIDEVIEW™ VS200 시스템은 다양한 배율, 유연한 슬라이드 크기, 다섯 가지 다기능 이미징 모드로 다양한 샘플과 염색을 캡처합니다. 탁월한 품질의 전체 슬라이드 이미지를 통해 실험실에서 샘플의 잠재력을 모두 실현할 수 있습니다.

자세히 알아보기