TruSight™ SR 알고리즘이 컨포컬 스피닝 디스크 현미경 검사에서 초고해상도 이미징을 달성하는 방법

문의하기

서론

Evident의 TruSight SR 알고리즘은 Olympus Super Resolution(OSR)1 에서 발전하여 IXplore™ IX85 SpinSR 컨포컬 스피닝 디스크 초고해상도 현미경에 통합된 새로운 초고해상도 기술입니다. 이 기술은 핀홀을 최적화하고 광학 이론 기반 처리 엔진을 활용하여 초고해상도 이미징을 구현함으로써 컨포컬 현미경 검사를 향상시킵니다.

TruSight SR은 적응형 필터의 강점과 3차원(3D) 처리 기능을 통합하여 신호 대 잡음비(SNR)가 낮은 이미지에서 OSR의 한계를 해결합니다. 이러한 개선 사항은 형광 신호가 희미한 라이브셀 이미징과 같은 낮은 SNR 조건에서 이미지 품질을 높이는 데 도움을 줍니다. TruSight SR은 자연적인 초고해상도 이미지를 복원하고 밝기 값을 보존하여 다양한 응용 분야에서 정량적 분석을 지원하는 일관적인 이미지 데이터를 제공합니다.

이 백서에서는 초고해상도 알고리즘과 그 응용 분야를 상세히 설명하고 Evident의 TruSight SR이 현미경 이미지 품질 향상에 어떻게 기여하는지 보여드리겠습니다.

주요 주제:

TruSight SR 알고리즘은 초고해상도 이미징을 위한 Evident의 독점 OSR 기술이 발전된 것입니다. OSR은 컴퓨팅 처리 기법들을 결합하여 컨포컬 현미경의 성능을 극대화하고 초고해상도를 실현합니다. 기존의 위너(Wiener) 디콘볼루션과 비교할 때, OSR은 신뢰할 수 있는 결과를 제공하고 컨포컬 현미경의 컷오프 주파수와 일치하는 자연적 초고해상도 이미지를 생성합니다.

그러나 기존의 OSR은 신호 대 잡음비(SNR)가 낮은 이미지에 적용할 경우 단점이 있었습니다. 이러한 이미지에서 OSR을 사용하면 잡음 구성 요소가 강조되고 해상도가 저하될 수 있습니다. 이 문제를 해결하기 위해, Evident는 잡음 저항성을 높여 OSR을 TruSight SR로 발전시켰습니다. 이러한 개선 사항 덕분에 실시간 형광 이미징을 수행하는 동안 형광 강도가 낮은 경우에도 신호 대 잡음비가 높은 초고해상도 이미지를 획득할 수 있습니다. 또한, TruSight SR은 원래의 OSR이 제공하는 120nm의 빠르고 안정적인 공간 분해능을 유지합니다. TruSight SR은 3D 처리 기능도 포함하여 두꺼운 샘플의 고해상도 이미징을 지원합니다. 이처럼 업데이트된 기능은 다양한 응용 분야에서 고품질 이미지 복원을 지원합니다.

TruSight SR은 이제 IXplore IX85 SpinSR 스피닝 디스크 컨포컬 초고해상도 현미경에 통합되었습니다(그림 1).

그림 1: PtK2 세포의 미세소관.
왼쪽: IXplore IX85 Spin(50µm 디스크)을 사용하여 획득한 스피닝 디스크 컨포컬 이미지(디지털 방식으로 확장된 2.8배율).
오른쪽: IXplore IX85 SpinSR(SoRa 디스크, 프로젝션 렌즈: 2.8X)을 사용하여 획득한 초고해상도 이미지.
대물렌즈: UPLXAPO100XO(NA 1.45). 스케일 바: 5µm.

초고해상도 현미경 시스템 확립

현미경 이미지를 위해 다양한 유형의 컴퓨팅 처리가 고안되었습니다. Evident는 원래 스피닝 디스크 컨포컬 현미경 검사와 OSR 컴퓨팅 처리를 결합하여 초고해상도 현미경 시스템을 개발했습니다. OSR 기술은 컨포컬 현미경의 성능을 극대화하여 초고해상도를 구현합니다. 컨포컬 현미경의 컷오프 주파수는 기존 광시야 형광 현미경의 두 배라고 알려져 있습니다. 그러나, 높은 주파수의 구성 요소의 비율이 낮기 때문에 컨포컬 현미경의 공간 분해능은 광시야 형광 현미경과 크게 다르지 않았습니다. OSR은 컷오프 주파수 근처에서 신호 획득 효율성을 높여 핀홀 설정을 최적화합니다. 또한 선형 필터링 컴퓨팅 처리를 추가하여 최종 초고해상도 이미지를 생성합니다.2

OSR 처리의 특징 중 하나는 결과의 신뢰성이 높다는 것입니다. OSR을 위너(Wiener) 디콘볼루션과 같은 다른 일반적인 처리 방법과 비교해 보면 이러한 특징을 알 수 있습니다. 현미경으로 관찰한 이미지는 개체 분포 콘볼루션과 점 확산 함수(PSF)로 표현할 수 있습니다. 주파수 영역에서, 이는 PSF의 푸리에 변환에 의한 개체 구조의 주파수 특성의 감쇠에 해당합니다(광학 전달 함수(OTF)). 위너(Wiener) 디콘볼루션은 OTF의 역수를 관찰된 이미지의 주파수 특성으로 곱하여 콘볼루션을 해결하므로 원래 개체 분포가 복원됩니다.

실제로 단순 역방향 필터링은 높은 주파수 영역에서 불안정할 수 있으므로 신호 구성 요소를 원래 개체 신호에 최대한 가깝게 되돌리기 위해 필터 강도가 제한됩니다. 이와 대조적으로, OSR 처리의 목표는 컷오프 주파수에 맞게 자연적인 관찰 이미지를 만드는 것입니다. 그림 2는 위너(Wiener) 디콘볼루션 및 OSR로 처리한 후의 주파수 특성의 차이를 보여줍니다. 위너(Wiener) 디콘볼루션은 편평한 응답 특성을 목표로 하지만, 현미경의 광학 시스템의 컷오프 주파수 때문에 완전히 편평한 응답을 얻지 못하고 컷오프 주파수 근처에서 급격한 감쇠를 나타냅니다. 이러한 계단식 응답 특성은 복원된 이미지에 강한 링잉을 유발하여 아티팩트를 만들 수 있습니다.

이와 대조적으로, OSR 처리는 (광시야 형광 현미경의 컷오프 주파수의 두 배인) 컨포컬 현미경의 컷오프 주파수의 두 배에 해당하는 해상도를 목표로 하여 자연적 현미경 이미지가 구현되도록 이미지를 복원합니다.2 OSR은 컷오프 주파수에 가까이 갈수록 점진적으로 감쇠되는 응답 특성을 설정하여 컷오프 주파수 내 신호를 극대화하면서 링잉으로 인한 아티팩트를 억제합니다. 그 결과, 두 배로 뛰어난 초고해상도가 구현됩니다.

그림 2. 위너(Wiener) 디콘볼루션과 OSR 처리 비교.

(a)와 (d)는 처리 후 주파수 특성을 보여줍니다. 위너(Wiener) 디콘볼루션의 경우, 신호 복원은 컷오프 주파수 내 편평한 응답 특성을 목표로 합니다. 이와 대조적으로, OSR 처리는 컷오프 주파수에 가까워질수록 전진적으로 감쇠되는 특성을 목표로 합니다. 응답 특성의 모양은 기존 현미경과 유사하지만, 대역폭은 두 배입니다.

(b)와 (e)는 복원된 응답 특성에 상응하는 점 확산 함수(PSF)를 보여줍니다. 응답 특성이 위너(Wiener) 디콘볼루션과 마찬가지로 급격한 감쇠를 나타낼 때 복원된 PSF는 강력한 링잉(양의 진동과 음의 진동)을 나타냅니다. 이와 대조적으로, OSR 처리는 링잉을 억제합니다.

(c)와 (f)는 처리 후 시뮬레이션된 이미지입니다. (g)는 개체 분포의 이상값입니다. 위너(Wiener) 디콘볼루션은 강한 링잉 효과 때문에 아티팩트와 거짓 해상도를 보여주는 반면, OSR 처리는 자연적 현미경 이미지를 복원합니다.

컴퓨팅 처리를 통해 고품질 결과를 얻으려면, 정확한 PSF 정보를 사용하는 것이 중요합니다. 정확한 PSF 계산 알고리즘(예: 높은 개구수(NA)를 가진 대물렌즈와 호환되는 것)을 사용하는 것 외에도, 다양한 장치 매개변수를 정밀하게 입력해야 합니다. 대물렌즈 개구수, 여기 파장, 형광 파장, 핀홀 직경, 픽셀 크기와 같은 매개변수가 중요하지만, 이들만으로는 충분하지 않습니다. 투사 배율, 빔 직경, 편광 상태와 같은 장치에 대한 세부 정보도 필요합니다. 일반적인 디콘볼루션 소프트웨어로는 이러한 미세한 차이를 반영하기가 어려울 수 있습니다. OSR은 정확한 매개변수 설정을 통해 PSF 계산을 수행할 수 있으므로 높은 신뢰성을 달성할 수 있습니다.

초고해상도 기술의 발전

이미지의 신호 대 잡음비(SNR)에 따라 필터 강도 자동 조정

컨포컬 현미경의 고주파수 성능을 추출하여 초고해상도를 달성하는 OSR은 잡음 민감도 측면에서 단점이 있으며, 발전된 TruSight SR 알고리즘은 이러한 단점을 해결합니다.

그림 3은 현미경 시뮬레이션 이미지를 보여줍니다. 신호 대 잡음비(SNR)가 낮은 이미지의 경우 높은 주파수의 구성 요소에는 상당한 양의 잡음이 포함될 수 있습니다. 이 상태에서 강력한 복원 처리를 수행할 경우 이미지에서 미세한 잡음 구성 요소가 강조될 수 있어 원래의 미가공 이미지보다 이미지 품질이 낮아집니다. 이 잡음 구성 요소는 원래 이미지에 포함되어 있으므로 정확한 PSF 정보를 사용하거나 링잉 억제를 최적화하는 방법만으로는 방지하기가 어렵습니다.

그림 3. 신호 대 잡음비(SNR)가 낮은 이미지에 기존의 OSR 처리를 실시한 예.

TruSight SR은 이미지의 잡음 구성 요소를 고려하여 이 문제를 해결합니다. 이 알고리즘은 다양한 필터 강도 조정을 확장하고 OSR 처리와 유사하게 현미경의 주파수 특성을 기반으로 링잉을 보정합니다. 그림 4는 필터 강도와 그 효과를 보여줍니다. 필터 강도를 미세하게 조정하여 기능을 구현하면 이미지에서 잡음을 유발하는 주파수 구성 요소의 극한의 강조 효과를 억제하는 동시에 기존 컨포컬 현미경보다 해상도를 높이는 것이 가능합니다.

그림 4. 이미지의 신호 대 잡음비(SNR)에 따라 필터 강도를 조정하는 경우의 예. 원래의 미가공 이미지의 신호 대 잡음비가 낮은 경우, 약한 필터 강도를 사용하면 인식된 해상도를 향상시키는 동시에 잡음을 억제할 수 있습니다. 반대로, 원래의 미가공 이미지의 신호 대 잡음비가 높은 경우, 강한 필터 강도를 사용하면 해상도 개선 효과를 극대화할 수 있습니다.

또한 TruSight SR에는 이미지에서 신호 대 잡음비(SNR)를 결정하고 필터 강도를 최적화하는 알고리즘이 포함됩니다. 현미경은 다양한 응용 분야에 사용되므로 이미지의 단순 통계 값(예: 분산 또는 밝기 차이)만으로 신호 대 잡음비를 결정하는 것이 불가능합니다. 그 이유는 이미지의 밝기 차이가 잡음 때문인지, 샘플 구조 때문인지 구분하기 어렵기 때문입니다. TruSight SR은 어느 이미징 조건에서나 최적의 필터 강도를 안정적으로 선택하는 기술을 개발합니다. 이를 위해 획득된 이미지에서 샘플 형태에 따른 신호와 영역 센서가 무작위로 생성한 잡음에 따른 신호를 추산합니다.

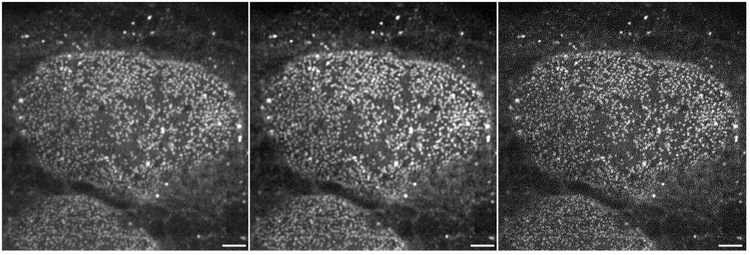
그림 5는 필터 강도 최적화 알고리즘의 결과를 보여줍니다. 입력 이미지에 따라 최적의 필터를 자동으로 설정하면 잡음 생성을 억제하면서 이미지 품질을 높일 수 있습니다. 특히 원래 미가공 이미지의 신호 대 잡음비가 충분하지 않을 경우, 기존 OSR 처리보다 더 나은 결과를 얻을 수 있습니다.

그림 5. 신호 대 잡음비가 낮은 핵공 형광 이미지 처리 시 차이점.
왼쪽: 원래 미가공 이미지. 가운데: TruSight SR에 의한 자동 처리. 오른쪽: OSR 처리. 원래 이미지의 신호 대 잡음비가 낮은 경우, 기존 OSR 처리는 잡음을 증폭하므로 인식된 해상도가 저하됩니다. 이와 대조적으로, TruSight SR은 우수한 해상도를 달성합니다.

IXplore IX85 SpinSR(SoRa 디스크, 프로젝션 렌즈: 2.8X)을 UPLXAPO100XO(NA 1.45) 대물렌즈와 함께 사용하여 획득한 이미지. 스케일 바: 2µm.

이미지 밝기 값 보존

TruSight SR 알고리즘의 또 다른 장점은 원래 미가공 이미지의 강도를 보존하므로 초고해상도 이미지의 밝기 값을 분석하고 비교할 수 있다는 것입니다.

TruSight SR은 하드웨어 정보를 기반으로 광학 시스템을 통해 확산된 PSF를 계산하고 이미지 복구를 수행합니다. 이와 동시에, 특정 확률 밀도로 확산된 밝기 값을 보존합니다. 그림 6은 원래의 미가공 이미지와 TruSight SR 이미지의 히스토그램을 보여줍니다.

그림 6. TruSight SR 처리 전후의 밝기 비교.

(a) PtK2 세포 미세소관의 원래 미가공 Z 스택 이미지의 최대 강도 투사(MIP) 디스플레이, IXplore IX85 SpinSR(SoRa 디스크, 프로젝션 렌즈: 2.8X)을 UPLXAPO100X(NA 1.45) 대물렌즈와 함께 사용하여 캡처.
(b) TruSight SR 2D 처리로 처리한 (a)의 이미지의 MIP 디스플레이. 스케일 바는 5µm입니다. (a)와 (b) 모두 고정 최대 및 최소 LUT 값으로 표시되었습니다. 이러한 이미지의 강도는 거의 동일합니다.
(c) Z 스택 이미지의 모든 픽셀 강도에 관한 히스토그램. 밝기 값의 총합 × 픽셀 수의 97% 이상이 보존되었습니다. 나머지 3%는 주로 잡음 구성 요소로 구성되어 있으며, 이는 이미지의 신호 대 잡음비에 따라 약간 달라집니다.

보시다시피, 필터 처리 이후에도 원래 미가공 이미지의 밝기 정보가 유지되므로 처리된 이미지를 정량적 분석에 사용할 수 있습니다.

3D 이미지 처리

TruSight SR에는 또한 기존의 2차원(2D) 처리뿐만 아니라 3D 데이터를 위한 처리 기능이 포함되어 있습니다. 그림 7은 형광 비드 관찰의 예를 보여줍니다. 2D 처리 시 해상도 개선은 XY 평면으로 제한되지만, 3D 처리는 Z 방향도 개선합니다.

그림 7. TruSight SR의 2D 및 3D 처리의 예. 직경 100nm의 형광 비드를 사용하여 PSF의 절반 최대 전체 너비(FWHM) 측정. IXplore IX85 SpinSR(SoRa 디스크, 프로젝션 렌즈: 2.8X)을 UPLXAPO100XS(NA 1.35) 대물렌즈와 함께 샘플링 피치에서 사용하여 촬영한 형광 비드 이미지: XY 피치: 46.4nm, Z 피치: 50nm.

(a) 원래 미가공 이미지의 XY 이미지.
(b) TruSight SR 2D 처리 후 XY 이미지.
(c) TruSight SR 3D 처리 후 XY 이미지.
(d) 이미지 (a)~(c)의 X 프로파일.
(e) 원래 미가공 이미지의 XZ 이미지.
(f) TruSight SR 2D 처리 후 XZ 이미지.
(g) TruSight SR 3D 처리 후 XZ 이미지.
(h) 이미지 (e)~(g)의 Z 프로파일. 3D 처리 시 Z 방향의 XY 평면에서 해상도 개선 효과가 나타났습니다.

3차원으로 처리를 확장해도 OSR 기술의 높은 신뢰성이 지속됩니다. 개체 분포를 복원하는 대신 Z 방향에서 처리 후 자연적 관찰 이미지를 목표로 설정하면 모든 XYZ 방향에서 링잉이 억제됩니다.

처리 결과의 재현성을 확보하려면 샘플링 피치의 변화도 고려해야 합니다. 이미지의 XY 평면의 샘플링 피치는 주로 배율과 카메라 픽셀 크기에 따라 결정됩니다. 그러나 Z 방향의 샘플링 피치는 사용자에 의해 자의적으로 설정되며 일정하지 않습니다. 기존 OSR 처리는 2D 처리만 지원하며, 특정 카메라와 줌 시스템 조합에만 사용할 수 있습니다. TruSight SR은 3D 처리를 지원하며, 다양한 카메라와 줌 시스템을 사용할 수 있습니다. 따라서, 처리된 이미지의 샘플링 피치가 여러 조건에서 다를지라도 항상 동일한 필터 강도에서 동일한 정도의 이미지 복구를 수행하도록 설계되었습니다. 그림 8은 특정 조건에서 계산된 PSF의 예를 보여줍니다.

그림 8. 샘플링 피치가 처리 결과에 주는 영향 비교.

(a)와 (b)는 3D 강도 값 분포를 고려하여 총 강도 값이 정규화된 PSF입니다. 이미징 동안 Z 간격이 (a) 0.2µm 및 (b) 0.02µm로 크게 다를지라도, 그래프 (e)에서 피크 강도 단면의 XY 프로파일은 일관적입니다.
(c)와 (d)는 XY 초점 단면만을 고려하여 총 조명 값이 정규화된 PSF입니다. 이 계산 방법을 사용할 경우, 그래프 (f)에서처럼 Z 간격의 이미징 조건을 변경하면 XY 절반 최대 전체 너비(FWHM)가 달라집니다.

그림 8f를 보면, 동일한 필터 강도를 적용해도 Z 샘플링 피치에 따라 XZ 단면의 절반 최대 전체 너비(FWHM)이 변경됩니다. 이와 대조적으로, 그림 8의 그래프 (e)는 XYZ 데이터 내 강도 분포를 고려한 조정 처리를 보여줍니다. 그 결과, Z 샘플링 피치에 관계 없이 안정적인 FWHM을 얻을 수 있습니다. 이는 TruSight SR이 정량적 분석에 적합한 재현 가능한 결과를 제공할 수 있다는 점을 보여줍니다.

TruSight SR 알고리즘의 실제 응용 분야

라이브 초고해상도 이미징에서 신호 대 잡음비(SNR) 개선

라이브셀 이미징에서는 최대한 약한 광 여기를 사용하여 라이브셀에 대한 영향을 최소화해야 합니다. 그러므로 신호 대 잡음비(SNR)가 높은 형광 이미지를 얻기가 어렵습니다. TruSight SR은 희미한 형광 신호로 얻은 이미지에 적절한 필터 강도의 안정적 선형 디콘볼루션 기반 처리를 수행하여 신호 대 잡음비(SNR)가 개선된 라이브 초고해상도 이미지를 제공합니다.

그림 9. U2OS 세포 발현 LC3-EGFP에 대한 라이브 초고해상도 이미징 . 원래 미가공 이미지의 신호 대 잡음비가 낮아도 TruSight SR 처리를 통해 고품질 초고해상도 이미지를 얻을 수 있습니다. 왼쪽: IXplore IX85 SpinSR(SoRa 디스크, 프로젝션 렌즈: 2.8X)을 UPLXAPO100XO(NA 1.45) 대물렌즈와 함께 사용하여 촬영한 낮은 SNR의 원래 미가공 이미지. 오른쪽: TruSight SR 2D 처리(필터 강도 1.5)를 통해 처리한 왼쪽 이미지. 스케일 바: 5µm.

---

약한 여기 광을 사용한 라이브셀 이미징에서는 강력한 선명화 처리를 통해 허니콤 잡음이라는 특정 신호를 두드러지게 할 수 있습니다. TruSight SR에는 이처럼 낮은 신호 대 잡음비를 해결하는 처리 기능이 포함되어 라이브셀 이미징을 위한 적절한 처리를 수행할 수 있습니다.

25배율 실리콘 젤 패드 대물렌즈를 사용한 라이브 초고해상도 이미징

LUPLAPO25XS 대물렌즈(NA 0.85, WD 2mm)는 세계 최초로 살아 있는 세포 및 조직과 동등한 굴절률을 가진 실리콘 젤 패드를 통합했습니다. 실리콘 젤은 물처럼 증발되거나 실리콘 오일처럼 흘러가지 않으므로 안정적인 장시간 타임랩스 관찰을 지원합니다. TruSight SR은 25배율 대물렌즈의 넓은 시야와 배율 릴레이 렌즈를 결합하여 초고해상도 라이브 이미징을 가능하게 합니다. 따라서 넓은 시야에서 대상 세포를 확인하고 대물렌즈를 교체하지 않고도 60배율, 100배율(NA 1.4) 이상의 대물렌즈를 사용하는 컨포컬 이미지와 동등한 해상도로 세포 내 미세 구조를 촬영할 수 있습니다.

그림 10. U2OS 세포 발현 LC3-EGFP에 대한 라이브 초고해상도 이미징. 왼쪽: IXplore IX85 SpinSR(50µm 디스크, 프로젝션 렌즈: 1X)을 사용한 컨포컬 이미징. 가운데: IXplore IX85 SpinSR(SoRa 디스크, 프로젝션 렌즈: 4X)을 사용한 초고해상도 이미지, TruSight SR 2D 처리로 처리됨(필터 강도 1.0). 오른쪽: TruSight SR 3D 처리(필터 강도: 2.0)로 처리된 디지털 방식으로 확장된 가운데 이미지. 대물렌즈를 교체하지 않고 자가포식소체의 넓은 시야 컨포컬 이미지와 초고해상도 이미지를 원활하게 획득할 수 있습니다.

3D 초고해상도 이미지 품질 향상

TruSight SR은 현미경 주파수 특성 및 정확한 점 확산 함수(PSF) 정보 기반의 2D 이미징에서 원래 구현된 디콘볼루션 처리 기능을 3D 응용 분야로 확장합니다. 이를 통해 광학 시스템 데이터를 기반의 3D 처리를 통해 정량적 정확성을 유지하면서 두꺼운 샘플에서도 Z 축을 따라 해상도를 향상시킬 수 있습니다.

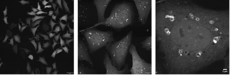
그림 11. HeLa* 세포 핵공에 대한 3D 이미징. 왼쪽: IXplore IX85 SpinSR(SoRa 디스크, 프로젝션 렌즈: 2.8X)을 UPLXAPO100XO(NA 1.45) 대물렌즈와 함께 사용하여 촬영한 원래 미가공 이미지의 XY 및 XZ 단면. 가운데: TruSight SR 2D 처리(필터 강도 2.5)를 통해 처리한 왼쪽 이미지. 오른쪽: TruSight SR 3D 처리(필터 강도 2.5)를 통해 처리한 왼쪽 이미지. 스케일 바: 2 µm

*HeLa 세포는 의학 연구와 과학 개발 분야에서 가장 중요하고 잘 알려진 세포주 중 하나입니다. HeLa 세포는 면역학, 전염병 및 암 연구의 주요 발견에 기여했으며 의료 분야의 윤리에 대해 심각한 문제를 제기했습니다. Henrietta Lacks의 생애와 현대 의학에 대한 그녀의 공헌에 대한 자세한 내용은 henriettacksfoundation.org를 참조하세요.

TruSight 디콘볼루션 기술과의 차이점

Evident는 선형 OSR 처리 기반의 TruSight SR 초고해상도 기술과 제한된 반복 알고리즘을 사용하는 TruSight 디콘볼루션 처리 기술을 모두 제공합니다.3

제한된 반복 알고리즘의 디콘볼루션은 상당한 선명화 효과를 제공하지만, 이 알고리즘의 구현 방법이 처리 속도와 이미지 품질에 큰 영향을 줍니다. 예를 들면, 점과 같은 개체는 높은 정확도로 쉽게 추정할 수 있지만, 밀도 높은 구조물은 정확하게 추정하기가 어렵습니다. 적절한 처리(예: PSF 설정, 알고리즘 선택, 매개변수 선택)를 수행하면 추정된 이미지의 정확도를 높일 수 있습니다. 그러나 처리 전후 주파수 특성 간의 관계는 균일하지 않습니다. 그러므로 최종 복원 개체 예측 시 주의가 필요합니다.4

더 정확하고 상세하고 아티팩트 없는 이미지를 얻으려면 이 두 가지 방법을 능숙하게 조합해야 합니다. 예를 들어, 그림 12d는 최적화되지 않은 매개변수를 사용한 디콘볼루션 처리 결과를 보여줍니다. 원래 미가공 이미지보다 더 선명한 이미지를 얻었지만, 스타차트 평면의 일부가 왜곡되어 있습니다. TruSight SR은 높은 주파수 구성 요소를 잘 강조하면서 아티팩트를 억제합니다. 매개변수를 최적화하면, TruSight 디콘볼루션은 심한 아티팩트를 유발하지 않고 훨씬 더 높은 해상도를 달성할 수 있습니다(그림 13).
---

그림 12. 스타차트의 시뮬레이션 이미지.
그림 13. 배양된 NIH 3T3 세포. 왼쪽: 원본 이미지. 가운데: TruSight SR 3D 처리(필터 강도: 3.0). 오른쪽: TruSight 디콘볼루션. 파란색: 핵, 녹색: 튜불린, 빨간색: HSP60, 회색: 피브릴라린. EnCor Biotechnology Inc.가 제공한 샘플, IXplore IX85 SpinSR(SoRa 디스크, 프로젝션 렌즈: 4X)을 UPLXAPO40XO(1.4 NA) 대물렌즈와 함께 사용하여 촬영. 스케일 바: 10µm.

정확한 PSF 및 하드웨어 정보를 기반으로 하는 매우 정확한 TruSight SR 기술과 최적화된 매개변수를 가진 TruSight 디콘볼루션의 고해상도 추정 이미지 처리를 사용하면 IXplore IX85 SpinSR 사용자는 이미지에 포함된 필요한 정보를 재현 가능한 방식으로 추출할 수 있습니다.

결론

TruSight SR 알고리즘은 OSR에서 발전된 이미지 처리 기술입니다. 기존의 디콘볼루션과 다르게, 이 알고리즘은 개체 분포를 복원하지 않습니다. 대신, TruSight SR은 컨포컬 현미경의 컷오프 주파수에 따라 자연적 초고해상도 현미경 이미지를 복원합니다.

3D 처리를 통합하고 이미지의 신호 대 잡음비에 따라 필터 강도를 유연하게 선택할 수 있으므로 거의 모든 관찰 상황에서 아티팩트를 최소화하면서 고품질 이미지를 얻을 수 있습니다. 이러한 장점은 복원 후 이미지 신뢰성이 중요한 응용 분야에서 적절한 처리를 수행하는 데 도움이 됩니다.

참고 문헌

  1. Yonemaru, Y. “How Olympus Super Resolution and Spinning Disk Technology Achieve Fast, Deep, and Reliable Live Cell Super Resolution Imaging.” EvidentScientific.com. 2025년 5월 13일 접속.

  2. Hayashi, S. "Resolution Doubling Using Confocal Microscopy via Analogy with Structured Illumination Microscopy." Japanese Journal of Applied Physics, 55, no. 8 (2016): 082501.

  3. Alvarenga, L. "Image Processing with Deconvolution." EvidentScientific.com. 2025년 5월 13일 접속.

  4. Lopez, J., et al. “Microscopy/Image Processing: A Deconvolution Revolution for Confocal Image Enhancement.” Laser Focus World, January 2, 2019.

저자

画像

Shintaro Fujii, 마이크로 이미징 솔루션 R&D, 고급 광학, Evident

画像

Masahito Dohi, 마이크로 이미징 솔루션 R&D, 고급 광학, Evident

추천 제품

Picture

IXplore IX85 SpinSR

놀라운 초고해상도로 초미세 세포의 동적 변화를 촬영하세요.

  • 최대 120nm의 해상도를 제공하는 고속 이미징을 통해 더 많이 발견
  • 장기 타임랩스 실험에서 세포 생존력 연장을 위해 설계
  • Yokogawa 스피닝 디스크 기술 기반
  • IXplore™ IX85 플랫폼 및 Evident의 TruSight™ SR 초고해상도로 강화됨

자세히 알아보기