Optimierung von Arbeitsabläufen in der Forschung mit einem Fluoreszenzmikroskop als Tischgerät

Mit dem APX100 Universalmikroskop erhalten Sie mit nur wenigen Klicks Bilder in Publikationsqualität. Erfahren Sie, wie das System Arbeitsabläufe in der Forschung optimieren kann.

Taichi Yoshikura

Taichi Yoshikura

21 Juli, 2022

Zuletzt aktualisiert am 13. September 2024.

Verbringen Sie viel Zeit mit der Einstellung des Mikroskops, bevor Sie Bilder aufnehmen? Wünschen Sie sich eine einfache Möglichkeit, um qualitativ hochwertige Mikroskopbilder zu erhalten? Möchten Sie beim Mikroskopieren nicht mehr im Dunkeln sitzen? Das APEXVIEW APX100 Fluoreszenzmikroskop als Tischgerät bietet eine Lösung in einem bedienerfreundlichen System.

Einfache Arbeitsabläufe in der Forschung mit einem Fluoreszenzmikroskop als Tischgerät Die Bildgebungsschritte mit einem herkömmlichen Mikroskop im Vergleich zum APX100 Fluoreszenzmikroskop als Tischgerät

Da der Blick durch ein Okular nicht notwendig ist und das APX100 über eine Reihe intelligenter Funktionen zur Optimierung des Arbeitsablaufs verfügt, ist der Zeitaufwand für die Mikroskopeinstellung zur Aufnahme von Forschungsbildern deutlich geringer. Das Mikroskop ist mit unseren hochwertigen Objektiven ausgestattet, beispielsweise mit Objektiven der preisgekrönten X Line Serie, so dass mit nur wenigen Klicks Bilder in Publikationsqualität entstehen.

Die folgenden Punkte zeigen, warum die Aufnahme hervorragender Bilder mit dem APX100 Mikroskop so einfach ist:

1. Intelligenter Probennavigator

Nach dem Einlegen der Probe in den Probenhalter nimmt der intelligente Probennavigator automatisch ein Makrobild auf, und die integrierte KI lokalisiert die Probe auf dem Objektträger. Anschließend zentriert das System die Probe automatisch über dem Objektiv und zeigt sie auf dem Monitor an. Nun können Sie das Mikroskopieverfahren auswählen und sofort mit der Bildaufnahme beginnen. In dem folgenden Video erfahren Sie mehr:

2. Schneller Autofokus

Der Autofokus des Systems ist bis zu 12-mal schneller als herkömmliche Autofokus-Algorithmen und ermöglicht so eine schnelle Feststellung der idealen Bildebene. Durch die koordinierte Automatisierung muss weniger Zeit für die Suche nach der Probe aufgewendet werden, und es bleibt mehr Zeit für die Datenerfassung. In diesem Video wird gezeigt, wie der ultraschnelle Autofokus funktioniert:

3. Minimaler Schulungsaufwand

Die Verwendung des APX100 Mikroskops ist einfach: Probe einlegen, Deckel schließen, Taste drücken und fertig. Der übersichtliche Aufbau der Software und der optimierte Arbeitsablauf erleichtern die Bilderfassung auch ohne umfangreichen Schulungsaufwand.

Für Einsteiger kann die Einarbeitung in die Vielzahl an Bildgebungsmodalitäten ein zeitaufwändiger Prozess sein. Die Benutzerfreundlichkeit des Systems vereinfacht und beschleunigt diesen Aufwand jedoch erheblich.

Forschungsmitarbeiter, die mit Mikroskopen nicht vertraut sind, können die Bedienung des Systems schnell erlernen und Bilder in Publikationsqualität aufnehmen. Mikroskopieexperten wissen die Automatisierung und Rationalisierung des Arbeitsablaufs zu schätzen.

Forschungsmikroskop mit einfacher Benutzeroberfläche Ein einfacher Aufbau erleichtert die Aufnahme von Bildern

4. Kompaktes Bildgebungsgerät für Labore und Bildgebungszentren

Dank des geringen Platzbedarfs, des integrierten Antivibrationsmechanismus und der abgeschirmten Optik lässt sich das APX100 Mikroskop fast überall aufstellen. Stellen Sie das Gerät direkt auf den Labortisch, um parallel zu anderen Experimenten Bilder aufzunehmen. Dies ist selbst in einem hell erleuchteten Raum möglich. Da keine Dunkelkammer erforderlich ist, lässt sich der wertvolle Platz im Labor oder Bildgebungszentrum anderweitig nutzen.

Tischmikroskop für Labore und Bildgebungszentren Das APX100 System kann platzsparend direkt auf einem Labortisch installiert werden

5. Organisierte Bilder

Das APX100 Mikroskop ist mit einem speziellen System zur Organisation und Speicherung der Daten ausgestattet. Nach der Aufnahme eines Bilds erstellt die Software automatisch für jede Probe einen Ordner und speichert die Daten dort ab. Dank der durchgehenden Indexierung sind die Daten übersichtlich geordnet und leicht zu finden und werden nicht versehentlich im falschen Ordner abgelegt. Außerdem werden mit jedem Bild wichtige Einstellungen gespeichert, die später wieder aufgerufen werden können.

Einfach zu bedienendes Mikroskop für die Bildgebung in der Forschung Organisation der Bilder auf dem APX100 System

6. Flexible Bildgebungsoptionen für unterschiedlichste Forschungsanwendungen

Das APX100 Mikroskop unterstützt verschiedenste Bildgebungsanwendungen für Objektträger, Schalen und Well-Platten. Die integrierten Bildgebungsverfahren wie Mehrkanal-, Stitching-, Zeitraffer- und Z-Stapel-Aufnahmen können in jeder beliebigen Kombination entsprechend dem jeweiligen Forschungsprotokoll eingesetzt werden. Außerdem besteht die Möglichkeit zur Aufnahme von Bildern mit Hellfeld, Phasenkontrast, Fluoreszenz und Gradientenkontrast.

Der von Evident entwickelte Gradientenkontrast ist ein spezielles Durchlichtverfahren zur Aufnahme von beeindruckenden, kontrastreichen Bildern in 3D. In diesem kurzen Video erfahren Sie mehr über den Gradientenkontrast:

All diese Bildgebungsoptionen ermöglichen die Aufnahme beeindruckender Bilder in Publikationsqualität. Nachfolgend finden Sie einige Beispielbilder aus der Praxis, die mit dem APX100 Fluoreszenzmikroskop als Tischgerät aufgenommen wurden.

Mehrkanalige Bilder

Einfaches Fluoreszenzmikroskop für die Mehrkanal-Bildgebung BPAE-Zellen. Färbung: Maus Anti-α-Tubulin, BODIPY FL Ziege-Anti-Maus-IgG, Texas Red-X Phalloidin und DAPI.

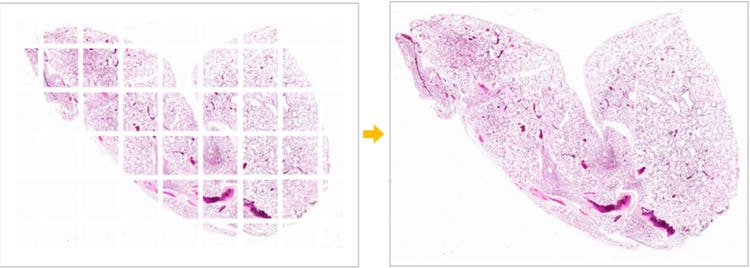
Zusammengesetzte Bilder

Bild einer Mauslunge, aufgenommen mit einem benutzerfreundlichen Mikroskop Mauslunge, aufgenommen mit dem UPLXAPO4X Objektiv. Färbung: HE.

Z-Stapel-Bilder

Z-Stapel-Bilder, aufgenommen mit einem benutzerfreundlichen Mikroskop Subzelluläre Lokalisierung des Zentrosomenproteins Kendrin/Pericentrin. Färbung: Pericentrin-grün, alpha-Tubulin-rot, DNA-blau.
Bildquelle: Dr. Kazuhiko Matsuo, Anatomy and Developmental Biology, Kyoto Prefectural University of Medicine.

Zeitraffer-Bilder

Zeitraffer-Untersuchung der befruchteten Eizelle einer Maus.

Tipp: Für die Technik des Förster-Resonanzenergietransfers (FRET), interne Totalreflexionsfluoreszenz (TIRF), Zeitrafferexperimente mit einer Dauer von mehr als 2 Tagen oder Super-Resolution-Mikroskopie sind die IXplore Inversmikroskope die ideale Wahl. Wenden Sie sich an einen Experten, um die Anforderungen an die Bildgebung für Ihre Forschung zu besprechen.

Besuchen Sie unsere APX100 Bildergalerie, um mehr über die Bildgebungsmöglichkeiten mit dem APX100 Mikroskop zu erfahren und weitere Beispielbilder zu sehen. Informieren Sie sich online über alle Funktionen des APX100 Mikroskops oder kontaktieren Sie den für Sie zuständigen Vertriebsmitarbeiter vor Ort zur Vereinbarung eines Demo-Termins.

Taichi Yoshikura

Taichi Yoshikura

Supervisor, Marketing Communications, Life Science Division

Taichi Yoshikura leitet das Global Life Science Marketing Communication Team bei Evident in Tokio, Japan. Er hat einen Bachelor of Arts der Waseda University und ist seit 2016 bei Evident tätig.