SLIDEVIEW VS200 para la patología digital
Cada portaobjeto. Cada detalle. Cada posibilidad.
Lleve a cabo sus aplicaciones, desde la investigación de alta capacidad hasta la patología digital especializada, con nuestro escáner de portaobjetos más avanzado.
Beneficiándose de más de cien años de experiencia en óptica de precisión, el escáner universal de procesamiento de imágenes para portaobjetos completos SLIDEVIEW™ VS200 está diseñado para capturar una amplia variedad de muestras y tinciones mediante múltiples magnificaciones, tamaños flexibles de portaobjetos y modos de digitalización versátiles.
La calidad de imagen destacable de los portaobjetos completos faculta a su laboratorio para desatar el potencial completo de sus muestras y tomar decisiones innovadoras con confianza.
El SLIDEVIEW DX VS200 ahora es un dispositivo certificado CE que cumple con el Reglamento sobre los productos sanitarios para diagnósticos in vitro (IVDR)* de la Unión Europea para ser usado en los diagnósticos clínicos de Europa. Más información sobre este artículo >>
*Disponible en julio de 2025
Análisis con hibridación fluorescente
in situ
(FISH); 40X
Tejido teñido con hematoxilina-eosina (H&E), 40X
Imágenes y resultados en los cuales confiar
El sistema SLIDEVIEW VS200 proporciona claridad en la digitalización de imágenes de portaobjetos gracias al respaldo de hasta seis objetivos X Line™ de alto rendimiento, la iluminación LED TrueColor y los perfiles de cámara de corrección cromática. El escáner está creado para una reproducción consistente de las características de la muestra y tinción, lo que evita ejecutar nuevos escaneos y conlleva a diagnósticos más eficientes.
Desvele más detalles de su muestra con modos de procesamiento de imágenes avanzados y configuraciones adaptables
Descubra más detalles en sus muestras a través de cinco modos de procesamiento de imágenes: campo claro, polarización, fluorescencia, campo oscuro y contraste de fase. Y, benefíciese de la capacidad para combinar múltiples técnicas en un sólo escaneo. Esta flexibilidad ofrece un amplio rango de posibilidades para observar las muestras histológicas y citológicas, desde la patología de rutina hasta la caracterización molecular compleja del tejido canceroso.
Cartílago humano capturado con un objetivo UPLXAPO10X de la X Line™ usando cinco modos de procesamiento de imágenes.
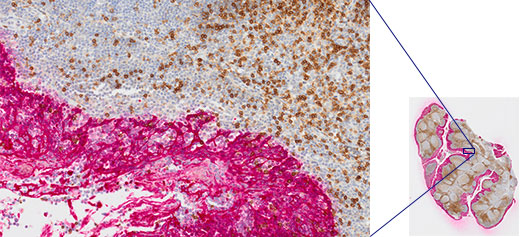
Amígdala CD3 (rm), ImmPRESS Reagent (HRP) anti-ratón IgG con ImmPACT DAB (marrón), AE1/AE3(m) ImmPRESS (AP) (HRP) anti-conejo IgG con ImmPACT Vector Red (rojo). Contratinción con hematoxilina QS (azul).
Datos de imagen por cortesía de Vector Labs.
Ver más con opciones flexibles de hardware y software
- Seleccione la magnificación de escaneo más apropiada, de 2X a 100X, con cualquier objetivo de la gama Evident.
- Nuestro dispensador de aceite automatizado, al conjugarse con uno de nuestros objetivos de inmersión en aceite, posibilita escaneos de alta magnificación.
- El dispositivo de seccionamiento óptico VS-SILA (adquisición de iluminación granular «speckle») brinda a su vez imágenes de tipo confocal a partir de muestras gruesas.
Escaneos que superan el nivel estándar
Flujos de trabajo más rápidos y sencillos
- Interfaz de usuario más sencilla, ya sea en el modo rápido (Quick) o experto (Expert) para facilitar el aprendizaje del software y su uso, sin limitaciones de flexibilidad.
- Amplia variedad de muestras, desde aquellas con inmunofluorescencia hasta aquellas provenientes de la médula ósea o regiones amiloideas, que pueden ser escaneadas e integradas a su flujo de trabajo digital.
- Almacenamiento y revisión de los parámetros para agilizar los procesos de trabajo repetitivos y las operaciones estandarizadas.
Escanee diferentes tipos de muestras en un lote
- Respalda múltiples tipos de portaobjetos, tamaños de muestras y tinciones.
- Detecta automáticamente diferentes formatos y escanea a través del mismo lote, lo que aumenta la eficiencia y el rendimiento.
Escaneo asistido por IA para evaluaciones más inteligentes
- Detección de muestras guiada por inteligencia artificial (IA) que favorece la identificación de regiones celulares y tisulares; esto mejora la precisión del escaneo incluso con muestras ligeramente teñidas a la vez que refuerza los requisitos de almacenamiento.
- Automatización que ahorra tiempo y esfuerzo, ya que aumenta la precisión del escaneo para respaldar evaluaciones fiables aun en casos complejos.
- Tecnología TruAI™ que posibilita la detección, segmentación y medición de alta precisión de células con el objetivo de ofrecer observaciones y análisis sin marcado.
Flujo de trabajo
Maximice su productividad y agilice la distribución de su trabajo
Gestión automatizada de portaobjetos digitales
Integración sencilla en sistemas existentes de comunicación y almacenamiento de imágenes (PACS), sistemas de gestión de imágenes o flujos de trabajo digitales; también respalda los protocolos HL7, FHIR, ODBC, HDD y DICOM, lo cual asegura una interoperabilidad a través de los flujos de trabajo de laboratorio.
Almacenamiento, uso compartido y colaboración
Administre grandes archivos de imagen donde desee gracias a la base de datos SQL opcional Net Image Server (NIS). Almacene imágenes y compártalas de forma segura por medio de nuestro visor de imágenes de web OlyVIA para colaborar en tiempo real con asesores a distancia.
Evolución digital con rapidez y asistencia integrada
Ejecute su trabajo de forma más rápida gracias a flujos de trabajo digitales y sincronizados, respaldados por una asistencia virtual que lo guía a lo largo del proceso. Nuestro equipo mundial de especialistas está preparado para optimizar su completo proceso de patología digital, desde mejoras a nivel del escaneo de portaobjetos hasta el procesamiento de imágenes y gestión de datos.
Esté listo para el futuro
Amplíe sus capacidades a medida que sus necesidades crecen
Obtenga el escáner que necesita ahora, pero con la flexibilidad de expansión que permitirá cubrir la evolución de las prioridades de su laboratorio. El escáner SLIDEVIEW VS200 puede ser adaptado para resolver sus desafíos, indistintamente de si requiere capturar fluorescencia multiplexada para descubrimientos a nivel de la huella genética del cáncer, usar luz polarizada para dilucidar amiloides en tejidos cerebrales, o analizar muestras de gran formato en busca de características histológicas.
Las opciones actualizables en campo le permiten expandir sus capacidades reduciendo al mínimo las paradas.
- Inicie con un sistema de bandeja única y actualícelo a un cargador de alta capacidad cuando el número de casos aumente.
- Agregue capacidades de fluorescencia o magnificaciones adicionales en cualquier momento a medida que su procesamiento de imágenes evolucione.
Haga más en patología digital
Conjugue el escáner SLIDEVIEW VS200 con nuestro sistema SLIDEVIEW VS-M1 para potenciar sus capacidades de laboratorio a través de un escáner especializado para la patología digital de rutina. Diseñado para laboratorios de alta actividad, el sistema SLIDEVIEW VS-M1 ofrece rápidamente imágenes de elevada calidad gracias a flujos de trabajo pensados para las muestras más comunes de patología y citología. Al ser usados conjuntamente, estos sistemas lo acercan a la recta de una digitalización completa de sus muestras.
Exención de responsabilidad
Este producto está dedicado expresamente a un uso de laboratorio. Es responsabilidad del cliente asegurarse de que el rendimiento de los productos sea adecuado para su uso o aplicación específicos.
Para obtener una lista completa de las opciones y configuraciones disponibles en su región, haga clic aquí o contacte con su representante local de Evident.
Productos relacionados con esta aplicación
VS200
Lleve a cabo sus aplicaciones, desde la investigación de alta capacidad hasta la patología digital especializada, con nuestro escáner de portaobjetos más avanzado. El sistema SLIDEVIEW™ VS200 está diseñado para capturar una amplia variedad de muestras y tinciones mediante múltiples magnificaciones, tamaños flexibles de portaobjetos y modos de digitalización versátiles. La calidad de imagen destacable de los portaobjetos completos faculta a su laboratorio para desatar el potencial completo de sus muestras.