Agilice el procesamiento de imágenes de su investigación con un microscopio de fluorescencia de mesa

Microscopio de fácil uso dedicado a la investigación

Taichi Yoshikura

Taichi Yoshikura

21 Julio, 2022

Last updated on September 13, 2024.

¿Pasa mucho tiempo en el ajuste de su microscopio antes de iniciar el procesamiento de imágenes? ¿Desearía contar con una forma más fácil de capturar imágenes microscópicas de alta calidad? ¿Está cansado de tener que usar un cuarto oscuro? El microscopio de fluorescencia de mesa APEXVIEW™ APX100 supera estos desafíos comunes de investigación por medio de un flujo de trabajo más simple.

Sencillo flujo de trabajo para su proceso de investigación con un microscopio de fluorescencia de mesa Comparación del flujo de procesamiento de imágenes entre un microscopio convencional y el microscopio de fluorescencia de mesa APX100

Sin ninguna necesidad de observar a través del ocular, y gracias a una serie de funciones inteligentes diseñadas para agilizar el flujo de un proceso de investigación, el microscopio APX100 reduce de forma notable el tiempo que se pasa ajustando los parámetros destinados al procesamiento de imágenes de la investigación. Este microscopio trabaja con nuestros reconocidos objetivos, como la serie galardonada X Line™, a fin de producir imágenes de calidad para publicación en tan sólo unos clics.

A continuación, se detallan algunas maneras de cómo el microscopio APX100 facilita la obtención de imágenes excepcionales:

Al ubicar la muestra en el portamuestra, el navegador de muestra inteligente adquiere de forma automática una imagen de nivel macro. Y, la inteligencia artificial (AI) integrada localiza la muestra en el portaobjetos. El sistema centrará con rapidez su muestra sobre el objetivo y la proyectará en el monitor. A partir de ese momento, es posible seleccionar el método de observación y, seguidamente, iniciar la captura de imágenes. Conozca más a través del siguiente video:

2. Autoenfoque veloz

El autoenfoque de este sistema es 12 veces más rápido que los algoritmos del autoenfoque convencional. Esto permite hallar rápidamente el plano de imagen ideal para el procesamiento. Mediante la automatización coordinada, podrá dedicar menos tiempo a ubicar las muestras y más a recopilar datos. Visualice cómo funciona el autoenfoque de alta velocidad en el siguiente video:

3. Fácil de enseñarlo a los investigadores y de aprenderlo

El uso del microscopio APX100 es sencillo. Cargue la muestra, cierre la cubierta y haga clic en un botón. El diseño inteligible del software y el flujo de trabajo agilizado favorecen la adquisición de imágenes con muy poca capacitación.

De hecho, como la capacitación sobre las diversas modalidades relativas al procesamiento de imágenes para los nuevos investigadores es un proceso que lleva mucho tiempo elaborar, la facilidad de uso del sistema APX100 simplifica y acelera de forma exponencial dicho proceso.

Los investigadores que no están familiarizados con microscopios llegan a aprender rápidamente el funcionamiento del sistema y la captura de imágenes dotadas una calidad de publicación; por su parte, los expertos en microscopía apreciarán la automatización del sistema y el flujo de trabajo agilizado.

Sencilla interfaz del usuario de un microscopio de investigación Diseño de pantalla simple que simplifica la captura de imágenes para los investigadores

4. Dispositivo de procesamiento de imágenes compacto para laboratorios y centros de investigación

Ubique el microscopio APX100 casi en cualquier lugar gracias al poco espacio que ocupa, a su tecnología antivibración y a los dispositivos ópticos blindados. Instale la unidad directamente sobre una mesa de laboratorio y visualice sus imágenes en paralelo a otros experimentos, incluso en una sala muy iluminada. Puesto que no se requiere el uso de un cuarto oscuro, es posible ahorrar un valioso espacio en su laboratorio o centro de investigación.

Microscopio de mesa para laboratorios y centros de investigación El sistema APX100 puede ser instalado directamente en la mesa de un laboratorio para ahorrar espacio.

5. Imágenes organizadas

El microscopio APX100 goza de un sistema dedicado a organizar y almacenar sus datos. Cuando se adquiere una imagen, el software crea automáticamente carpetas para cada muestra y guarda los datos en la correcta. La indexación homogénea mantiene los datos organizados y fáciles de localizar; asimismo, evita que se guarden los datos por accidente en una carpeta errónea. Por otra parte, los parámetros importantes son conservados con cada imagen para una consulta ulterior.

Microscopio de fácil uso dedicado a al procesamiento de imágenes de investigación Organización de imágenes en el sistema APX100

6. Procesamiento de imágenes flexible para varias aplicaciones de investigación

El microscopio APX100 respalda una amplia variedad de aplicaciones relativas al procesamiento de imágenes de investigación en portaobjetos, placas y placas de pocillos. Es posible usar los métodos de procesamiento de imágenes incluidos, como la adquisición multicanal, mosaico, de intervalo de tiempo y de apilamiento en Z, bajo cualquier combinación, a fin de adecuarse a su protocolo de investigación. También, es posible adquirir imágenes en campo claro, contraste de fase, fluorescencia y contraste de gradiente.

El contraste de gradiente, desarrollado por Evident, es un exclusivo método de observación de transmisión que permite la adquisición de imágenes impactantes 3D de alto contraste. Obtenga más información sobre el contraste de gradientes a partir del corto video que sigue:

Gracias a todas estas opciones para el procesamiento de imágenes, es posible adquirir una serie de imágenes sorprendentes dotadas de una calidad de publicación. Más abajo se exponen algunos ejemplos de las imágenes de aplicación que fueron adquiridas con el microscopio de fluorescencia de mesa APX100.

Imágenes multicanal

Microscopio de fluorescencia fácil para el procesamiento de imágenes multicanal Células BPAE. Tinción: Anti-α-tubulina de ratón, IgC anti-ratón de cabra BODIPY FL, faloidina Texas Red-X y DAPI.

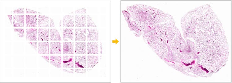
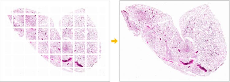
Imágenes mosaico

Adquisición de pulmón de ratón con un microscopio de fácil uso Pulmón de ratón capturado con un objetivo UPLXAPO4X. Tinción: Hematoxilina-eosina (HE).

Imágenes de apilamiento en Z

Adquisición de imágenes con apilamiento en Z usando un microscopio de fácil uso Localización subcelular de la pericentrina (o kendrina), proteína de centrosoma. Tinción: Pericentrina verde, Alfa tubulina roja, ADN azul.
Datos de imagen por cortesía del Dr. Kazuhiko Matsuo, Anatomía y Biología del Desarrollo, Universidad de Medicina de la Prefectura de Kioto.

Imágenes en intervalo de tiempo

Observación en intervalo de tiempo de un óvulo de ratón fertilizado.

Consejo: Si se requiere el uso experimentos con transmisión de energía de resonancia de fluorescencia (FRET), fluorescencia de reflexión interna total (TIRF) e intervalos de tiempo superiores a dos días, o la súper resolución, los microscopios invertidos IXplore™ son la opción ideal. Consulte con uno de nuestros expertos aspectos sobre el procesamiento de imágenes y los objetivos que desea alcanzar.

Para obtener más información sobre las capacidades del procesamiento de imágenes del microscopio APX100, así como para visualizar ejemplos de imágenes, visite nuestra galería de imágenes dedicada al microscopio APX100. Explore en línea todas las funciones del microscopio APX100 o póngase en contacto con su representante local para planificar una demostración.

Taichi Yoshikura

Taichi Yoshikura

Supervisor, Comunicaciones y Mercadotecnia, Ciencias de la vida

Taichi Yoshikura dirige el equipo mundial de comunicaciones y mercadotecnia de las ciencias de la vida para Evident en Tokio (Japón). Posee una licenciatura en Artes otorgada por la Universidad Waseda, y trabaja en Evident desde el año 2016.