Simplifiez vos expériences d’imagerie avec un microscope à fluorescence de paillasse

Easy to use microscope for research

Taichi Yoshikura

Taichi Yoshikura

21 juillet, 2022

Dernière mise à jour : 13 septembre 2024

Passez-vous beaucoup de temps à régler votre microscope avant de commencer à prendre des images ? Aimeriez-vous disposer d’un moyen simple pour prendre des images de microscopie de haute qualité ? Vous en avez assez de devoir utiliser une chambre noire ? Le microscope à fluorescence de paillasse APEXVIEW™ APX100 permet de surmonter ces défis courants en recherche grâce à un système facile à utiliser.

Simplifiez vos processus de recherche avec un microscope à fluorescence de paillasse Comparaison des processus d’imagerie d’un microscope classique et du microscope à fluorescence de paillasse APX100

Sans avoir à regarder dans un oculaire, et grâce à une suite de fonctionnalités intelligentes conçues pour simplifier votre travail, le microscope APX100 réduit considérablement le temps passé à régler votre microscope pour l’imagerie de recherche. Le microscope fonctionne avec nos objectifs renommés, y compris notre série primée X Line™, afin que vous puissiez obtenir des images de qualité propre à la publication en seulement quelques clics.

Voici quelques façons dont le microscope APX100 permet de produire facilement des images exceptionnelles :

1. Un localisateur d’échantillon intelligent

Lorsque vous placez l’échantillon dans le porte-échantillon, le localisateur d’échantillon intelligent acquiert automatiquement une image macro, et l’IA intégrée localise l’échantillon sur la lame. Le système centre alors automatiquement votre échantillon sur l’objectif et l’affiche sur le moniteur. Là, vous pouvez choisir la méthode d’observation et commencer immédiatement l’acquisition d’images. Apprenez-en plus dans la vidéo ci-dessous :

2. Une mise au point automatique rapide

La mise au point automatique du système est jusqu’à 12 fois plus rapide que les algorithmes de mise au point automatique conventionnels, ce qui vous permet de trouver rapidement le plan d’imagerie idéal. Grâce à l’automatisation coordonnée, vous passez moins de temps à chercher les échantillons et plus de temps à recueillir des données. Regardez cette vidéo pour voir le fonctionnement de la mise au point automatique à grande vitesse :

3. Un apprentissage facile pour les chercheurs

Le microscope APX100 est simple à utiliser. Installez l’échantillon, fermez le couvercle et cliquez sur un bouton. L’interface claire du logiciel et la marche à suivre simplifiée vous permettent de commencer l’acquisition d’images avec un minimum de formation.

L’enseignement des différentes modalités d’imagerie aux nouveaux chercheurs peut prendre beaucoup de temps, mais la facilité d’utilisation du système simplifie et accélère considérablement ce processus de formation.

Les chercheurs qui n’ont jamais travaillé avec des microscopes peuvent rapidement apprendre à utiliser le système et à prendre des images de qualité propre à la publication, tandis que les experts en microscopie apprécieront l’automatisation du système et la simplicité de son utilisation.

Une interface d’utilisation simple d’un microscope de recherche Une interface simple permet aux chercheurs d’acquérir facilement des images

4. Un appareil d’imagerie compact pour les laboratoires et les services d’imagerie

Avec son faible encombrement, sa technologie antivibration intégrée et ses composants optiques blindés, vous pouvez placer le microscope APX100 quasiment n’importe où. Installez l’appareil directement sur une paillasse pour prendre des images parallèlement à d’autres expériences, même dans une pièce très lumineuse. Comme aucune chambre noire dédiée n’est requise, vous pouvez économiser de l’espace précieux dans votre laboratoire ou votre service d’imagerie.

Un microscope de paillasse pour les laboratoires et les services d’imagerie Le système APX100 peut être installé directement sur une paillasse pour économiser de l’espace

5. Des images organisées

Le microscope APX100 dispose d’un système dédié pour organiser et stocker vos données. Lors de l’acquisition d’une image, le logiciel crée automatiquement des dossiers pour chaque échantillon et enregistre les données dans le bon dossier. L’indexation cohérente permet d’organiser vos données et de les localiser facilement tout en vous évitant d’enregistrer accidentellement des données dans le mauvais dossier. De plus, les réglages importants sont enregistrés avec chaque image aux fins de référence ultérieure.

Un microscope facile à utiliser pour l’imagerie de recherche Organisation des images sur le système APX100

6. Des options d’imagerie flexibles pour de nombreuses applications de recherche

Le microscope APX100 est compatible avec de nombreuses applications d’imagerie de recherche pour les lames, les boîtes de Petri et les plaques multipuits. Vous pouvez utiliser les méthodes d’imagerie incluses, telles que l’acquisition multicanal, l’assemblage d’images, l’enregistrement à intervalles et l’empilement de plans focaux, dans n’importe quelle combinaison adaptée à votre protocole de recherche. En outre, vous pouvez acquérir des images en fond clair, en contraste de phase, de fluorescence et en contraste de gradient.

Développé par Evident, le contraste de gradient est une méthode d’observation en lumière transmise unique qui permet l’acquisition d’impressionnantes images 3D à fort contraste. Apprenez-en plus sur le contraste de gradient dans cette courte vidéo :

Avec toutes ces options d’imagerie, vous pouvez acquérir toute une gamme d’images magnifiques de qualité propre à la publication. Vous trouverez ci-dessous quelques exemples d’images de différentes applications que vous pouvez acquérir avec le microscope à fluorescence de paillasse APX100.

Images multicanaux

Un microscope à fluorescence simple pour l’imagerie multicanaux Cellules endothéliales d’artères pulmonaires bovines. Marquage : anticorps de souris anti-α-tubuline, anticorps de chèvre anti-IgG de souris BODIPY FL, phalloïdine Texas Red-X et DAPI.

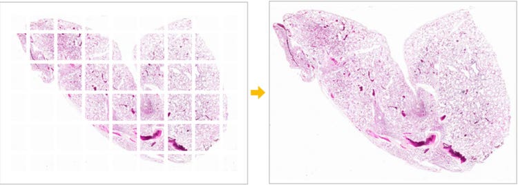
Images assemblées

Image de poumon de souris prise avec un microscope facile à utiliser Image de poumon de souris prise avec un objectif UPLXAPO4X. Coloration : HE.

Images d’empilement de plans Z

Images d’empilement de plans Z prises avec un microscope facile à utiliser Localisation subcellulaire de la protéine centrosomale kendrine/péricentrine. Marquage : vert : péricentrine, rouge : alpha-tubuline, bleu : ADN.
Données d’images reproduites avec l’aimable autorisation du Dr Kazuhiko Matsuo, Anatomy and Developmental Biology, Université de médecine de la Préfecture de Kyoto.

Images prises à intervalles

Observation par intermittence d’un ovule de souris fécondé.

Conseil : si vous devez avoir recours au transfert d’énergie entre molécules fluorescentes (FRET), à la fluorescence par réflexion totale interne (TIRF), à des expériences d’imagerie à intervalle pendant plus de deux jours ou à la microscopie à super-résolution, les microscopes inversés IXplore™ constituent le choix idéal. Contactez un expert pour discuter de vos besoins en matière d’imagerie et de recherche.

Pour en savoir plus sur les capacités d’imagerie du microscope APX100 et voir d’autres exemples d’images, visitez notre galerie d’images prises avec l’APX100. Découvrez toutes les fonctionnalités du microscope APX100 en ligne ou contactez votre représentant commercial local pour planifier une démonstration.

Taichi Yoshikura

Taichi Yoshikura

Superviseur, Communications marketing, Sciences de la vie

Taichi Yoshikura dirige l’équipe Communications et marketing pour les sciences de la vie à l’échelle mondiale chez Evident à Tokyo, au Japon. Il est titulaire d’une licence de l’université de Waseda et travaille chez Evident depuis 2016.