Sei modi attraverso i quali le moderne fotocamere per microscopi a colori migliorano l'imaging per la ricerca

march-2021-stephan-fliegel-banner.jpg

Stephan Fliegel

Stephan Fliegel

16 March, 2021

Continua lo sviluppo delle moderne fotocamere per microscopi, rivoluzionando come lavoriamo, insegniamo e collaboriamo. Per esempio, le ultime arrivate della nostra serie DP — le fotocamere per microscopi digitali DP28 e DP23 — offrono una precisa riproduzione dei colori e delle funzionalità efficienti che permettono ai ricercatori di analizzare i campioni su un monitor in modo preciso e affidabile.

Continua a leggere per scoprire sei modi attraverso i quali queste moderne fotocamere a colori migliorano l'imaging nell'ambito delle scienze della vita e della ricerca clinica.

1. Visualizzare campioni e coloranti con i loro colori reali su un ampio monitor.

Il colore rappresenta uno dei principali elementi attraverso i quali differenziare gli aspetti significativi di un campione. Di conseguenza è fondamentale che la propria fotocamera per microscopio digitale possa riprodurre in modo preciso i colori naturali o artificiale come appaiono attraverso l'oculare.

Le fotocamere DP23 e DP28 utilizzano un sistema di gestione dei colori efficiente per assicurare una riproduzione dei colori eccezionale. Gli integrati profili di colori ICC conservano le lievi variazioni di colore in modo da mostrare i campioni con i propri colori naturali e in modo che i coloranti corrispondano al colore atteso.

Inoltre il sistema di gestione dei colori funziona in tempo reale, applicando i profili in modalità live per assicurare la migliore rappresentazione cromatica alla maggiore velocità possibile. Questo significa che è possibile acquisire un'immagine direttamente dalla modalità live senza doversi preoccupare della qualità dei colori.

Per massimizzare il vantaggio della riproduzione dei colori, combinare la fotocamera DP28 o DP23 con il nostro generatore di luce LED TruColor per il microscopio BX53, in modo da avere un sistema completo che assicura una precisa riproduzione dei colori dal generatore di luce alla fotocamera.

2. Osservare i dettagli dei campioni con una qualità delle immagini eccezionale.

In microscopia una maggiore risoluzione, oppure un maggior numero di pixel, permette di acquisire un maggiore dettaglio per l'analisi di strutture di campioni di ridotte dimensioni.

La fotocamera DP28 offre un'eccezionale risoluzione 4K (8,9 megapixel) per mostrare dettagli di campioni di ridotte dimensioni anche a basso ingrandimento. Questo significa che una singola acquisizione di immagine può mostrare una panoramica di un campione e può includere sufficienti dettagli da vedere le strutture di ridotte dimensioni attraverso uno zoom in avanti. Per acquisire tutte le informazioni desiderate, non è necessario impostare un ingrandimento maggiore, permettendo un'analisi e una presentazione del campione più efficiente.

Altrimenti la nostra fotocamera DP23 fornisce un'alta risoluzione a 6,4 megapixel per l'acquisizione di immagini con un livello di dettaglio idoneo per la maggior parte delle applicazioni delle scienze della vita e della ricerca clinica.

3. Visualizzare un'area più estesa dei campioni mediante un campo visivo più ampio.

Altre utili funzionalità sono quelle di imaging grandangolari. Entrambe le fotocamere offrono un ampio campo visivo (FOV - field of view) fino a FN25 (con i microscopi compatibili) in modo che sia possibile commentare un'area ampia del campione con un'unica acquisizione.

Queste immagini grandangolari rimangono nitide dal centro al margine esterno, in modo da assicurare un'efficiente imaging e analisi. Per massimizzare questa qualità è sufficiente associare la fotocamera alle nostre nuove ottiche, come i nostri obiettivi a alte prestazioni della Linea X , in grado di assicurare una planarità eccezionale, e gli adattatori della fotocamera progettati per un campo visivo molto ampio (FN25).

4. Osservare e commentare i campioni con immagini live uniformi.

Se si devono visualizzare sul proprio monitor delle immagini live uniformi senza distorsioni a fini di collaborazione, presentazione o analisi, non cercare oltre la fotocamera DP28.

Grazie a un global shutter e alla nuova tecnologia del sensore CMOS, la fotocamera equilibra l'alta frequenza di quadro con la risoluzione. È possibile visualizzare immagini con risoluzione 4K a 32 fotogrammi al secondo (fps) oppure immagini Full HD live fino a 64 fps (la massima frequenza di quadro che un monitor standard può visualizzare). Come risultato i movimenti sono uniformi, come se si guardasse attraverso gli oculari, anche nel caso di visualizzazione su monitor di ampie dimensioni.

La fotocamera DP23 inoltre assicura un'alta frequenza di quadro per immagini live uniformi. Le immagini sono acquisite a alta risoluzione a 30 fps o a Full HD a 60 fps.

5. Collaborazione efficiente commentando sul posto o a distanza.

La didattica a distanza è diventata una pratica comune con l'applicazione delle direttive di distanziamento sociale ai laboratori, pertanto risulta importante avere la possibilità di condividere immagini e coinvolgere un pubblico virtualmente. Le fotocamere DP23 e D28 rappresentano degli intuitivi strumenti per instaurare delle relazioni collaborative e forniscono delle immagini corrispondenti alla realtà per il coinvolgimento di scienziati o studenti.

Visualizza o condividi tutti i dati importanti (immagini, note e misure live) insieme sul posto o a distanza mediante il software cellSens con la soluzione NetCam oppure con l'opzionale funzione di condivisione delle immagini a distanza del modulo autonomo di gestione della fotocamera.

Questi strumenti per le relazioni collaborative facilita il commento e la condivisione di immagini live uniformi. I dati vengono condivisi in sicurezza grazie al supporto dei protocolli di sicurezza di rete come l'NIST e il GDPR, oltre all'opzionale supporto antivirus.

6. Operatività più veloce attraverso le fotocamere semplici da configurare e usare.

Infine le fotocamere DP23 e DP28 permettono una semplice configurazione così da consentire un'operatività veloce. Non è necessario un alimentatore separato ma è sufficiente collegare il cavo della fotocamera nella propria porta USB 3.1 del computer. La fotocamera si avvia velocemente consentendo di acquisire immagini immediatamente.

Per una maggiore flessibilità è possibile scegliere tra un modulo autonomo per ridurre l'ingombro o integrare il software cellSens per utilizzare delle funzionalità supplementari. Entrambe le opzioni possiedono un'interfaccia utente intuitiva per semplificare il processo di acquisizione delle immagini. Nella maggior parte dei casi è possibile acquisire immagini con un solo clic, assicurando un efficiente flusso di lavoro.

Le fotocamere applicano l'automazione per ottimizzazione delle configurazioni in tempo reale. È possibile acquisire facilmente le migliori immagini possibili attraverso delle funzionalità efficienti come:

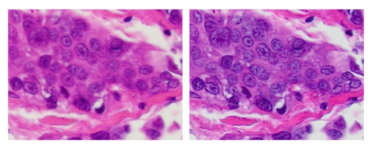
OSIA (Olympus Smart Image Averaging): Riduce il rumore e elimina artefatti, mantenendo una veloce frequenza di quadro

Riduzione del rumore mediante la media delle immagini in fotocamere per microscopi digitali

Confronto tra immagine senza applicazione dell'OSIA (a sinistra) e immagine con applicazione dell'OSIA (a destra)

Focus peaking: Aiuta a identificare quali parti del campione sono a fuoco attraverso un ausilio di focalizzazione visiva che mostra su un'immagine live le aree a fuoco a colori e le aree non a fuoco in grigio; questa funzione risulta particolarmente utile per l'osservazione di campioni spessi

Focus peaking in fotocamere per microscopi

Confronto tra immagine senza applicazione del focus peaking (a sinistra) e immagine con applicazione del focus peaking (a destra)

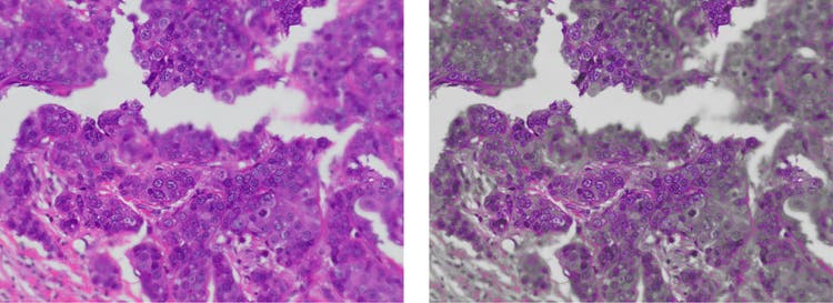
Modalità a alto contrasto: Regola il tempo di esposizione e le configurazioni di contrasto per un maggiore rapporto segnale-rumore; un'utile funzione per l'acquisizione di immagini da campioni a scarso contrasto con una microscopia con polarizzazione e fluorescenza

Imaging a alto contrasto in campioni a scarso contrasto

Acquisizione di immagini chiare da campioni a scarso contrasto attraverso la modalità a alto contrasto

Fast live: Assicura costantemente un'elevata frequenza di quadro anche durante dei processi di imaging a lunga esposizione; permette di acquisire delle immagini uniformi quando si scansionano dei campioni in condizioni di scarsa luce

Uniformi immagini live in microscopia

Confronto tra immagine senza applicazione del fast live (a sinistra) e immagine con applicazione del fast live (a destra)

Fotocamera DP28 o DP23: Qual è ottimale per la tua applicazione?

Adesso che ne conosci i vantaggi, potresti chiederti quale fotocamera è ottimale per la tua applicazione.

Sebbene si consiglia di confrontare le funzionalità delle fotocamere e di considerare come supportano gli specifici bisogni applicativi, la risposta spesso si ottiene da alcuni fattori fondamentali:

  1. Risoluzione: La fotocamera DP28 rappresenta la scelta ottimale se si necessita di una risoluzione maggiore. Offre una risoluzione 4K (8,9 megapixel) per relazioni collaborative e osservazioni efficienti. Invece la DP23 fornisce un'alta risoluzione (6,4 megapixel) per essere utilizzata con la maggior parte delle applicazioni.
  2. Imaging live: Avete bisogno di immagini live uniformi senza distorsione? In questo caso la nostra fotocamera DP28 con un global shutter rappresenta un'opzione ottimale. Altrimenti la fotocamera DP23 con un rolling shutter fornisce delle immagini live uniformi con un dettaglio sufficiente per la maggior parte delle applicazioni.
  3. Sensibilità: La fotocamera DP28 fornisce una maggiore sensibilità per le applicazioni a fluorescenza rispetto alla fotocamera DP23.

Se hai ancora delle incertezze, utilizza il nostro selettore di fotocamere online per valutare le opzioni oppure contatta e chatta con uno specialista di imaging. Siamo sempre disponibili a fornire assistenza!

Stephan Fliegel

Stephan Fliegel

Product Manager, Light Microscope Cameras

Stephan Fliegel earned his university degree in physical engineering with a focus on laser application technology at the Münster University of Applied Sciences in 2007. He initially worked as an application specialist, then as a product and project manager in the industrial lasers field focusing on the design layout, development, and planning of customer-specific laser systems. He is now a product manager for light microscope cameras at Evident.