Premier Innovation Awardを受賞した顕微鏡用カメラDP28とDP23のご紹介

august-2021-kerry-israel-banner.jpg

Kerry Israel

Kerry Israel

2021年 8月 17日

顕微鏡用デジタルカメラDP28とDP23*が、潜在的な現場のニーズを満たし、観察の精度向上に貢献できることから、Premier Innovation Awardに選ばれました。今回の記事では、DP23とDP28カメラがこの名誉ある賞に選ばれたいくつかの理由を紹介します。

Premier Innovation Awardsロゴ

オリンパスの顕微鏡用デジタルカメラDP28

オリンパスの顕微鏡用デジタルカメラDP23

受賞した顕微鏡用デジタルカメラDP28(左)とDP23(右)

進化を続けるラボが必要とする接続機能

あらゆるものがネットワークに接続されるようになった現代において、研究者たちはラボの外でも効率的に研究や共同作業を行うための接続ツールを必要としています。DP28とDP23は先進的な接続性を備えているため、NetCamソリューションまたはDPスタンドアローン・カメラコントロールモジュールのリモート画像共有機能と共に、cellSensソフトウェアを使用することが可能です。これにより、重要なすべての画像データ(画像、注釈、ライブ計測値を含む)をローカルはもちろん、リモートでも表示・共有できます。このおかげで、同僚とフルHDのライブ画像を共有し、ディスカッションするのが容易になります。

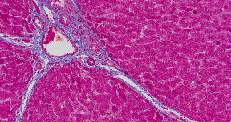
DP28カメラで撮影された染色したブタの肝臓の顕微鏡画像。

DP28カメラで撮影されたブタの肝臓

研究とルーチン検査に最適化された性能

接続性があっても、必要な画像を取得できなければ意味がありません。オリンパスではDP28とDP23という異なるモデルを用意して、選択に柔軟性を持たせています。DP28は4K超解像度画質を備えている一方で、DP23は6.4メガピクセル解像度とフレームレート45 fpsのというバランスの取れた設計です。そしてどちらのカメラもスマートで時間の節約に役立つ一連の機能を有しており、とても便利で使いやすいものになっています。

最大FN25の広い視野と優れた色精度を誇り、染色したサンプルの観察に非常に役立ちます。他にも、優れた機能として、高いフレームレートを維持してアーチファクトをなくすと共にノイズを軽減し、クリアな画像を生成する画像平均機能、はっきり見えないサンプルの鮮明な画像を取得するハイコントラストモード、焦点の合ったサンプル領域を素早く識別するフォーカスピーキング機能などがあります。これらを使えば高品質画像を簡単に取得できます。

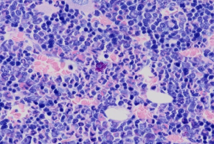
DP23カメラで撮影されたラット骨髄の顕微鏡画像。

DP23カメラで撮影されたラット骨髄

DP28とDP23カメラが名誉あるPremier Innovation Awardを受賞することができたのは、とても光栄なことです。当社のカメラを選んでくださった審査員の方々、そして変わらぬご支援をくださるお客様に感謝申し上げます。

*これらのカメラは、医療用途にはご利用いただけません。

Kerry Israel

Kerry Israel

マーケティング・コミュニケーション、マネージャー

Kerry Israel氏は、Olympus Corporation of the AmericasのScientific Solutions Groupのライフサイエンスのマーケティングおよびコミュニケーションのマネージャーです。Brandeis Universityで文学士号を取得し、広告・ソーシャルメディア戦略からグラスルーツアウトリーチまで、マーケティングのすべての側面で15年を超える経験を有しています。