ベンチトップイメージングシステムによるイメージングの効率化

ベンチトップイメージングシステムによるイメージングの効率化

吉倉 太一

吉倉 太一

2022年 7月 21日

最終更新:2024年9月13日。

イメージングを始める前の顕微鏡の調整に時間がかかっていませんか? 高品質な顕微鏡画像を簡単に取得する方法はないかと思っていませんか? 暗室を使うことにうんざりしていませんか? APEXVIEW™ APX100ベンチトップイメージングシステムは、このような研究上の共通の課題を簡単なワークフローで克服します。

ベンチトップイメージングシステムを使用したシンプルなイメージングワークフロー 従来の顕微鏡とAPX100ベンチトップイメージングシステムのイメージングワークフロー

接眼レンズを覗く必要がなく、一連のスマート機能を備えたAPX100では画像取得にかかる時間を大幅に短縮します。 高性能対物レンズX Line™シリーズと組合せることで、わずか数クリックで高品位な画像を取得できます。

以下はAPX100にて簡単・効率的に高品位な画像取得をするいくつかの機能をご紹介します。

1. スマートサンプルナビゲーター

標本をサンプルホルダーにセットすると、スマートサンプルナビゲーターが自動的にマクロ画像を取得し、内蔵AIによってスライド上の標本の位置を特定します。 対物レンズ越しに標本を自動的に中央に配置し、モニターに表示します。 観察法を選択するだけで、すぐに画像取得を開始できます。 詳細は以下のビデオをご覧ください。

2. 高速オートフォーカス

オートフォーカスは、従来のアルゴリズムよりも最大12倍高速です。 自動で瞬時に最適なフォーカスを見つけます。 これらスマート機能により、標本から見たい場所を探す時間が短縮されます。 高速オートフォーカスの仕組みを以下のビデオでご覧ください。

3. 誰でも簡単操作で高品位な画像取得。

APX100は経験を問わず、誰でも簡単にシステムを操作できます。 標本を載せて蓋を閉め、ボタンをクリックするだけです。 ソフトウェアの直感的にわかりやすいレイアウトとスマート機能による効率的な操作フローにより、特別なトレーニングは必要とせずに簡単に画像取得できます。

ラボに配属されたばかりのエントリーユーザーがシステム顕微鏡の操作を習得するのに時間を要しますが、APX100は特別なトレーニングは必要とせずに、誰でも簡単に直ぐに操作できます。

顕微鏡エントリーユーザーだけでなく、顕微鏡の熟練者でもAPX100システムを用いることで画像取得をより効率化できます。

APX100のシンプルなユーザーインターフェース シンプルなレイアウトで研究者は簡単に画像を取得できます 。

4. ラボや共通施設向けのコンパクトなイメージングシステム

コンパクトな設置面積、耐振動機構内蔵、遮光設計であるためAPX100は設置する場所を選びません。 明るく照らされた部屋でも、実験台に直接設置して、他の実験と並行してイメージングできます。 専用の暗室を必要としないので、ラボや共通施設の貴重なスペースを確保できます。

ラボや共通施設向けのイメージングシステム APX100は実験台に直接置けるため、省スペースですみます。

5. 画像の管理

APX100‚É‚Íデータを整理・保存するための専用フォルダ作成機能が搭載されています。 画像取得と同時に、自動的にサンプルごとにフォルダが作成され、正しい場所にデータが保存されます。 一貫性のあるインデックス作成によってデータが整理されて見つけやすくなり、間違ったフォルダにデータを保存してしまうエラーを防ぐこともできます。 さらに、重要な設定は後で参照できるように画像とともに保存されます。

ユーザーフレンドリーなイメージングシステム APX100システムの画像編成

6. さまざまな研究用途に対応する柔軟なイメージングオプション

APX100はスライド、ディッシュ、ウェルプレートを使用する幅広いイメージング実験に対応しています。 マルチチャンネル、貼り合わせ、タイムラプス、Zスタックなどの幅広いイメージングに対応します。 また、明視野、位相差、蛍光、グラディエントコントラストで画像を取得できます。

グラディエントコントラストはEvidentが開発した独自の透過観察法で、印象的な高コントラスト3D画像の取得を可能にします。 グラディエントコントラストの詳細を下のショートビデオでご覧ください。

これらすべてのイメージングオプションを使用して、高品質画像を取得できます。 APX100ベンチトップイメージングシステムのアプリケーション画像例を以下に示します。

マルチチャンネル蛍光画像

マルチチャンネル蛍光イメージングが簡単操作 BPAE細胞。染色: Mouse Anti-α-tubulin、BODIPY FL Goat Anti-Mouse IgG、Texas Red-X Phalloidin、DAPI。

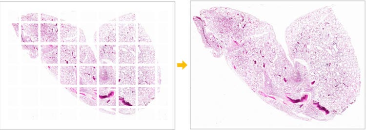
貼り合わせ画像

マウス肺画像 UPLXAPO4X対物レンズで取得したマウス肺。 染色: HE。

Zスタック画像

Zスタック画像 S心体タンパク質ケンドリン/ペリセントリンの細胞内局在性。
染色: Pericentrin-green、alpha-tubulin-red、DNAblue。
画像データ提供: 京都府立医科大学 解剖学教室 生体機能形態科学部門、松尾和彦先生。

タイムラプス画像

マウス受精卵のタイムラプス観察。

ヒント: 蛍光共鳴エネルギー移動(FRET)、全反射照明蛍光(TIRF)、2日を超えるタイムラプス実験、超解像観察を使用する必要がある場合は、IXplore™倒立顕微鏡が最適です。イメージングと研究ニーズのご相談は、こちらからお問い合わせください

APX100のイメージング機能の詳細と標本画像は、APX100イメージギャラリーをご覧ください。 APX100の詳細に関しては当社販売店にお問い合わせください。

吉倉 太一

吉倉 太一

ライフサイエンス、マーケティングコミュニケーション部門、スーパーバイザー

Evident東京オフィスのグローバルライフサイエンス・マーケティングコミュニケーションチームに所属。早稲田大学で学士号を取得し、2016年からEvidentに勤務しています。