油浸対物レンズを用いたホールスライドイメージング:よくある質問(FAQ)

april-2021-dr-daniel-göttel-banner.jpg

Dr. Daniel Göttel

Dr. Daniel Göttel

2021年 4月 01日

当社のSLIDEVIEW VS200リサーチスライドスキャナーは、スライドガラス全体の高解像デジタル画像を取得することが可能です。

このシステムは、オプションの自動オイル供給機と高解像の油浸またはシリコーンオイル浸対物レンズを使用し、液浸対物レンズに対応するよう標準機能をさらに強化することが可能です。これらの機能により、画像の解像力と画質が最大限に高められます。

このブログでは、その仕組みについて、液浸対物レンズを用いたホールスライドイメージングに関するよくある質問の回答を紹介します。

VS200の自動オイル供給機はどのような仕組みになっているのですか?

このスライドスキャナーは、空気圧ポンプを使用して、規定量の液滴をスライドガラス表面に供給します。供給される液滴数は、実際のスキャン面積によって力学的に変化します。液滴数は、自動オイル供給機のヘッド内にあるフォトダイオード液滴カウンターでカウントされます。

この力学的な液供給方法は、VS200システム用に独自に開発されたもので、 液浸媒質を必要な量だけスライドガラスに供給し、スライドガラスから液浸媒質がスキャナーにこぼれ落ちることのないようにします。

自動オイル供給機が実際にどのように動作するか、下の紹介ビデオをご覧ください。

油浸対物レンズの使用によって、どのようにスライドの画質が向上するのですか?

油浸対物レンズを使用すると、標本の屈折率が大きくなるため、光学的に高解像かつ高画質となります。油浸対物レンズで観察することで、短焦点距離であってもオイルが屈折率を高めるため、高倍率下で最大限の効果を発揮します。

VS200スライドスキャナーに使用できる油浸対物レンズにはどのような種類がありますか?

明視野の蛍光イメージングの油浸では、以下の3種類のX Line対物レンズが用意されています。40倍、60倍、100倍のUPLXAPOエクステンディッドアポクロマート油浸対物レンズです。

ホールスライドイメージングでは、異なる倍率をどのように使うのですか?

40倍の場合は高速スキャン用にまず広視野を観察し、高倍率の対物レンズ(60倍/100倍)に切り替えて低速でより細部をスキャンしていきます。

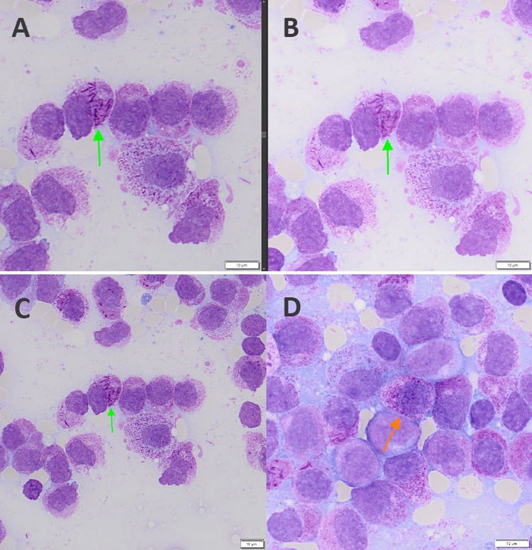
以下に、これらの倍率の使用法に関する実例を紹介します。急性前骨髄球性白血病(APL)を有するヒト末梢血標本(下図1)を、NA1.4の40倍UPLXAPO油浸対物レンズ(図2、AおよびC)とNA1.42の60倍UPLXAPO油浸対物レンズ(図2、BおよびD)を使用してスキャンした画像です。

ヒト末梢血標本

図1:VS200リサーチスライドスキャナーでスキャンした急性前骨髄球性白血病(APL)を有するヒト末梢血標本。画像提供:Jana Kirsten氏、レーゲンスブルク大学医療センター、臨床化学・検査医学研究所。

このアプリケーションでは、末梢血に、分裂核または大量の顆粒を伴う腫瘍性前骨髄球が見られます(図2、オレンジ色の矢印)。これらの腫瘍性前骨髄球は、骨髄芽球だけでなく骨髄でも見られ、骨髄芽球には束状のアウエル小体が認められます(A、B、Cの緑の矢印)。APLが疑われる場合は、これらの画像を見つけることが重要です。

骨髄芽球の束状になったアウエル小体

図2:(A) 40倍で撮影後、デジタル的に60倍にズームしたアウエル小体を伴う骨髄芽球。(B) 同じ芽球を60倍で撮影後、ネイティブ解像度で表示したもの。(C) Aと同じ画像を40倍のネイティブ解像度で示したもの。(D) 60倍で撮影した顆粒を伴う芽球。

FISH(蛍光in situハイブリダイゼーション)による相互転座t(t15、17)のエビデンスが得られ、前骨髄球性白血病(PML)が確定されます。この構造的な染色体変化の結果、15番染色体(PML)と17番染色体(レチノイン酸受容体アルファ[RARα])に2つの遺伝子の融合が起こります。

図2の画像A(40倍)とB(60倍)を比較すると、低倍率でもアウエル小体と顆粒が明瞭に視認できるため、NA1.4の40倍UPLXAPO油浸対物レンズの方に利点があることがわかります。また、スキャンにかかる時間は、40倍対物レンズでは60倍対物レンズの半分ほどで済みます(面積1 × 1 cmのスキャン時間:40倍 = 4:40分、60倍 = 10:30分)。

X Line対物レンズはどのようにホールスライドイメージングを向上させるのですか?

すべてのX Line対物レンズは、次の3つの要素を実現します。

VS200スライドスキャナーに使用できるシリコーンオイル浸対物レンズにはどのような種類がありますか?

シリコーンオイル浸に対応した対物レンズは、以下の3種類が用意されています。40倍、60倍、100倍のUPLSAPOスーパーアポクロマートシリコーンオイル浸対物レンズです。

シリコーンオイル浸対物レンズは、ホールスライドイメージングにおいてどのような利点をもたらしますか?

シリコーンオイル浸対物レンズは、大開口数と長作動距離の両方を提供し、温度変化に左右されない安定した長期間の高解像イメージングを可能にします。

Dr. Daniel Göttel

Dr. Daniel Göttel

セールスサポートマネージャー

Daniel Göttel氏は、ハイデルベルク(ドイツ)にあるドイツがん研究センターで人類遺伝学の博士号を取得しました。バーチャルスライドスキャニングシステムのアプリケーションスペシャリストとして長年勤務し、この分野で深く実践的な経験を積んできました。現在はEvidentで、SLIDEVIEW™ VS200リサーチスライドスキャナーおよびネットイメージサーバー(NIS)SQLのセールスサポートマネージャーを務めています。