오늘날의 컬러 현미경 카메라가 연구용 이미징을 개선하는 6가지 방법

march-2021-stephan-fliegel-banner.jpg

Stephan Fliegel

Stephan Fliegel

2021년 3월 16일

오늘날의 컬러 현미경 카메라는 계속해서 발전하며 근로, 교육, 협업 방식을 뒤바꾸고 있습니다. 예를 들어, 당사의 DP 시리즈 최신형인 DP28DP23은색 재현이 정확하며 연구자가 샘플을 모니터에서 정확하고 자신 있게 확인할 수 있는 스마트 기능을 갖추고 있습니다.

계속 읽어보고 오늘날의 컬러 카메라가 생명 과학과 임상 연구용 이미징을 개선하는 6가지 방법을 알아보려면 계속 읽어보세요.

1. 샘플과 염료의 실제 색을 넓은 모니터에서 봅니다.

색은 샘플의 의미 있는 양상을 구별하는 주요 수단 중 하나입니다. 따라서, 디지털 현미경 카메라는 자연색이나 착색을 마치 접안렌즈로 들여다보듯이 정확히 재현할 수 있어야 합니다.

DP23과 DP28 카메라는 스마트 색상 관리 시스템을 이용하여 색을 뛰어나게 재현합니다. 통합형 ICC 색상 프로필은 미세한 색상 변화를 보전하여 염료를 예상대로 적용할 수 있게 샘플의 자연색을 보여 줍니다.

색상 관리 또한 실시간으로 이루어지며, 최상의 색 재현을 가능한 한 빨리 제공하기 위해 라이브 모드에서 프로필을 적용합니다. 즉, 색상 품질을 걱정하지 않고도 라이브 모드에서 이미지를 직접 촬영할 수 있다는 것입니다.

색 재현의 장점을 극대화하려면 DP28이나 DP23 카메라를 당사의 BX53 현미경용 TruColor LED 조명과 결합하여 카메라의 조명으로 정확한 색 재현이 가능하도록 완벽한 시스템을 구축하면 됩니다.

2. 샘플의 디테일을 차세대 이미지 품질로 관찰합니다.

현미경의 해상도가 높으면(인치 당 픽셀 수가 많으면) 미세한 샘플 구조를 분석할 때 더 높은 디테일로 촬영합니다.

DP28 카메라는 놀라운 4K 해상도(8.9 메가픽셀)로 저배율에서도 샘플의 미세한 디테일을 보여줍니다. 스냅숏 한 장으로도 샘플을 개관할 수 있고, 확대 시 미세한 구조가 보일 정도로 디테일이 담겨있다는 뜻입니다. 필요한 정보를 모두 얻으려고 고배율로 전환할 필요가 없기 때문에 효율적인 샘플 분석과 발표가 가능합니다.

한편, DP23 카메라는 대부분의 생명 과학과 임상 연구 분야에 필요한 디테일을 6.4 메가픽셀의 고해상도 이미지로 담아낼 수 있습니다.

3. 넓은 화각으로 샘플에서 더 많은 것을 봅니다.

또 다른 유용한 기능으로는 고화각 이미징이 있습니다. 넓은 샘플 공간을 한 번에 두고 토의할 수 있도록 두 카메라 모두 FN25에 달하는 넓은 화각(FOV)을 (호환되는 현미경에서) 제공합니다.

이 고화각 이미지는 효율적인 이미징과 분석을 위해 중앙부터 그 주위까지 선명함을 유지합니다. 당사의 고성능 X라인 대물렌즈같이 평탄함이 뛰어나고 초고화각(FN25)에 맞게 설계된 카메라 어댑터를 겸비한 신규 광학 제품과 카메라를 결합하면 장점이 극대화됩니다.

4. 매끄러운 실시간 이미지로 샘플을 관찰하고 그에 대해 토의합니다.

왜곡이 생기지 않는 매끄러운 실시간 이미지가 협업, 발표, 분석용 모니터에 필요하다면 DP28 카메라가 제격입니다.

본 카메라는 글로벌 셔터와 첨단 CMOS 센서 기술 덕분에 높은 프레임 레이트와 해상도의 균형을 유지합니다. 초당 32프레임(fps)의 4K 해상도나 최대 64fps(일반 모니터가 표시할 수 있는 최대 프레임 레이트)의 풀 HD로 실시간 이미지를 볼 수 있습니다. 따라서, 넓은 디스플레이에서도 접안렌즈로 들여다보듯이 매끄러운 움직임이 나타납니다.

DP23 카메라도 매끄러운 실시간 이미지를 위한 높은 프레임 레이트를 지원합니다. 30fps의 고해상도 이미지나 60fps의 풀 HD 이미지를 촬영하세요.

5. 근거리나 원격 토의에서 효율적으로 협업합니다.

여러 실험실이 사회적 거리 두기 정책을 따르면서 원격 학습이 일상화되었기 때문에, 이미지를 공유하고 가상의 청자와 소통하는 수단이 있어야 합니다. DP23과 DP28 카메라는 과학자와 학생의 참여를 위한 직관적인 협업 도구와 생생한 이미지를 제공합니다.

cellSens 소프트웨어NetCam 솔루션이나 단독형 카메라 제어 모듈의 선택적인 원격 이미지 공유 기능과 함께 사용하면 이미지, 주석, 실시간 측정 등의 중요한 데이터를 근거리 또는 원격으로 보여 주거나 공유합니다.

이러한 협업 도구를 사용하면 매끄러운 실시간 이미지를 공유하고 그에 대해 토의하는 것이 간편해집니다. 데이터는 NIST와 GDPR 등의 네트워크 보안 프로토콜과 선택적으로 지원되는 안티바이러스를 통해 안전하게 공유됩니다.

6. 설치와 사용이 쉬운 카메라로 업무를 빠르게 개시합니다.

마지막으로, DP23과 DP28 카메라는 설치가 간단하여 업무를 신속하게 개시할 수 있습니다. 별도의 AC 어댑터가 필요하지 않으며, 컴퓨터의 USB 3.1 포트에 카메라 선을 꽂으면 됩니다. 카메라는 이미징을 시작할 수 있도록 빠르게 켜집니다.

모듈을 단독으로 사용하여 벤치 공간을 절약하거나, cellSens 소프트웨어와 통합하여 추가 기능의 도움을 받는 등 유동적으로 활용할 수 있습니다. 두 방법 모두 이미지 포착 과정을 단순화하는 직관적인 사용자 인터페이스를 사용합니다. 통상적으로는 이미지를 클릭 한 번에 포착하여 효율적인 워크플로우를 달성할 수 있습니다.

카메라는 자동화를 활용하여 설정을 실시간으로 최적화합니다. 다음과 같은 스마트 기능으로 최고 수준의 이미지를 쉽게 촬영 가능합니다.

Olympus Smart Image Averaging (OSIA): 빠른 프레임 레이트를 유지하면서 노이즈를 감소시키고 아티팩트를 없앱니다.

디지털 현미경 카메라의 이미지 평균화를 통한 노이즈 감소

OSIA 미사용(왼쪽)과 OSIA 사용(오른쪽)의 비교

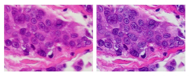
초점 피킹: 초점이 뚜렷한 부분은 색을 입히고 초점이 흐린 부분은 회색으로 나타내는 시각적 초점 보조를 통해 샘플에서 초점이 뚜렷한 부분을의 식별하는 데을 도움이 됩와줍니다. 본 기능은 두꺼운 표본을 관찰할 때 특히 용이합니다.

현미경 카메라의 초점 피킹

초점 피킹 미사용(왼쪽)과 초점 피킹 사용(오른쪽)의 비교

고대비 모드: 노출 시간과 대비 설정을 조절하여 신호 대 잡음비를 높입니다. 편광 및 형광 현미경으로 어두운 샘플에서 뚜렷한 이미지를 촬영할 때 유용한 기능입니다.

어두운 샘플의 고대비 이미징

고대비 모드로 어두운 샘플에서 뚜렷한 이미지를 촬영합니다

Fast live: 노출이 긴 이미징에서도 높은 프레임 레이트를 일정하게 유지합니다. 저조도 상태에서 샘플을 스캔할 때 매끄러운 이미지를 포착합니다.

매끄러운 실시간 현미경 이미징

Fast live 미사용(왼쪽)과 Fast live 사용(오른쪽)의 비교

DP28과 DP23 중 어느 것이 활용하기에 알맞을까요?

이제 장점을 파악했으니, 어느 카메라를 활용하기에 알맞을지 궁금하실 겁니다.

카메라 기능을 비교하고 제품이 세부적인 활용 조건을 어떻게 만족할지 고려하기를 추천해 드리지만, 몇 가지 주요 기능만으로 결론이 나올 때가 많습니다.

  1. 해상도: 해상도가 높아야 한다면 DP28이 적합합니다. DP28은 협업과 관찰에 효율적인 4K 해상도(8.9 메가픽셀)를 지원합니다. 반면, DP23은 대부분의 활용 사례에 부합하는 고해상도(6.4 메가픽셀)를 제공합니다.
  2. 실시간 이미징: 왜곡이 없고 매끄러운 실시간 이미지가 필요하신가요? 그렇다면 글로벌 셔터가 있는 DP28 카메라를 선택하는 것이 좋습니다. 한편, 롤링 셔터가 달린 DP23은 대부분의 활용 사례에 필요한 디테일이 담긴 매끄러운 실시간 이미지를 제공합니다.
  3. 민감도: DP28 카메라는 형광 활용 분야에 대한 민감도가 DP23보다 더 높습니다.

여전히 확신이 서지 않는다면 당사의 온라인 카메라 선택기로 옵션을 비교하거나 이미징 전문가에게 채팅으로 연락하세요. 언제든지 기꺼이 도와드리겠습니다!

Stephan Fliegel

Stephan Fliegel

제품 관리자, 광현미경 카메라

Stephan Fliegel은 2007년 뮌스터응용과학대학교에서 물리 공학 학사 학위를 취득했으며 레이저 응용 기술을 주로 연구했습니다.Stephan Fliegel은 경력 초기에는 응용 전문가로 근무하다가, 이후 제품 및 프로젝트 관리자를 맡으면서 산업용 레이저 분야에서 고객별 레이저 시스템의 설계 레이아웃, 개발 및 기획을 주로 담당했습니다.현재 Evident에서 광현미경 카메라 제품 관리자로 재직 중입니다.