デジタルパソロジーのためのSLIDEVIEW VS200

メールでのお問い合わせ

あらゆるスライド、ディテール、可能性をカバー。

当社のスライドスキャナーは病理において高品位なデジタルパソロジーを実施できます。

SLIDEVIEW™ VS200 ユニバーサル全スライドイメージングスキャナーは、100年以上の精密光学分野での専門知識を基に、複数の倍率、柔軟なスライドサイズ、5つの多用途イメージングモードにより、様々な標本と染色を撮影できるよう設計されています。

多検体のスライド標本においても、スライド1枚を高速にスキャンし、最大210枚まで自動でスキャンできます。

カタログのダウンロード

FISH解析、40X FISH解析、40X
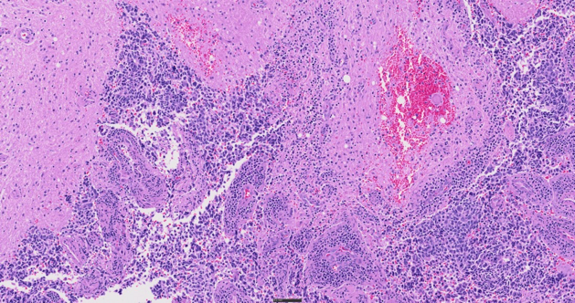
H&E染色組織、40X H&E染色組織、40X

高精細な画像。信頼性の高いデータ取得。

SLIDEVIEW™ DX VS200システムは最大6つのX Line™高性能対物レンズ、True Color LED光源と忠実に標本の色味を再現するカラーカメラにより高品質なホールスライドイメージングを実現します。優れた色再現を実現するエビデント独自のアルゴリズムにより、顕微鏡同等の高品位デジタル画像が取得できます。

高性能なイメージングモードと適応可能な設定で、より詳細な標本情報を表示

5つの画像モード(明視野観察、偏光観察*、蛍光観察*、暗視野観察*、位相差*)と複数観察法の同時スキャンで標本から多くの情報を得ることもできます。 このフレキシビリティにより、日々の病理標本デジタル化から蛍光マルチプレックスのようながん・免疫での組織の詳細解析までリサーチ用途で幅広くお使いいただけます。

X Line™ UPLXAPO10X対物レンズを使用して、5つの異なる画像モードで撮影したヒト軟骨 X Line™ UPLXAPO10X対物レンズを使用して、5つの異なる画像モードで撮影したヒト軟骨

扁桃腺CD3(rm)、ImmPRESS Reagent(HRP)Anti-Mouse IgG Immpact DAB(茶色)、AE1/AE3(m)ImmPRESS(AP)(HRP)Anti-Rabbit IgG Immpact Vector Red(赤色)。 Hematoxylin QS(青色)による対比染色。

扁桃腺CD3(rm)、ImmPRESS Reagent(HRP)Anti-Mouse IgG Immpact DAB(茶色)、AE1/AE3(m)ImmPRESS(AP)(HRP)Anti-Rabbit IgG Immpact Vector Red(赤色)。 Hematoxylin QS(青色)による対比染色。
画像データ提供:Vector Labs

柔軟なハードウェアとソフトウェアのオプションでシステムをアップグレードできます。

標準以上のスキャン

迅速で効率的なワークフロー

  • シンプルなユーザーインターフェースでは、教育実習などのシンプルなクイックモードと多様な観察設定に応じたエキスパートモードを選択できます。
  • 免疫蛍光から骨髄サンプル、アミロイド領域まで様々な種類の標本をスキャンし、デジタルワークフローに追加できます。
  • 設定の保存・呼び出しにより、繰り返しのワークフローを高速化し、操作を標準化。
標準以上のスキャン
種類の異なる標本を1度のバッチでスキャンします 。

種類の異なる標本を1度のバッチでスキャンします

  • さまざまなスライドタイプ、サイズ、染色に対応。
  • 自動的に異なる形式を検出して同じバッチでスキャンすることで、効率と処理速度が向上します。

AIを用いたスキャニングでホールスライドイメージングをよりスマートに

  • AIを用いたサンプル検出によりスライド標本上の組織サンプルの領域を自動で認識します。また、染色の薄い標本でも高精度でサンプル認識・スキャンでき、データ管理をより効率化します。
  • ホールスライドイメージングのスループット化が病理研究やデジタルパソロジーを加速します。
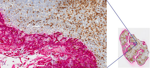
  • TruAI™*のAI技術により、オブジェクトを高精度に自動でセグメンテーションできます。
IHC核分類用の事前学習済みニューラルネットワーク IHC核分類用の事前学習済みニューラルネットワーク

ワークフロー

生産性の最大化、ワークフローの改善に貢献

自動化されたデジタルスライド管理

既存のPACS、画像管理システムやデジタルワークフローへ簡単に統合でき、HL7、FHIR、ODBCおよびDICOM*規格へ対応することで、ラボ内のワークフロー間での相互運用が可能になります。

保存、共有、共同作業

オプションのNet Image Server(NIS)SQLデータベースを使用すると、大容量の画像ファイルをどこでも管理することができます。 画像を保存し、当社のOlyVIAウェブベースの画像ビューアーで安全に共有することで、リモートコンサルタントとリアルタイムで共同作業を行うことができます。

統合サポートで迅速にデジタル化を推進します

効率的なデジタルおよび同期化されたワークフローを活かし、プロセス全体を通じて支援を受けることで、より迅速に業務を開始できます。当社の専門家から成るグローバルチームが、スライドスキャンから画像の品質向上、データ管理まで、デジタルパソロジーの全プロセスを最適化するお手伝いをいたします。

生産性の最大化、ワークフローの改善に貢献
研究ニーズの変化に合わせて機能を拡張

次に備えましょう

研究ニーズの変化に合わせて機能を拡張

ラボの用途に変化に柔軟に対応できる拡張性を備えた汎用性の優れたスライドスキャナーです。 SLIDEVIEW™ DX VS200スキャナーはマルチプレックス蛍光空間解析*、脳組織内のアミロイドの偏光観察*、マーモセット脳のようなサイズの大きな標本のホールスライドイメージングにも対応します。

現場でアップグレード可能なオプションにより、最少のダウンタイムで機能を拡張することができます。

  • シングルトレイから開始し、スライド標本の数が増えた際には大容量のローダーにアップグレードできます。
  • イメージング要件の変化に合わせて、いつでも蛍光観察機能や拡大倍率を追加できます。

https://adobeassets.evidentscientific.com/content/dam/mis/vs200/media/videos/SLIDEVIEW%20VS200_USCAP.mp4

デジタルパソロジーでより多くを実現。

デジタルパソロジーでより多くを実現。

SLIDEVIEW VS200 を当社のSLIDEVIEW VS-M1システムと組み合わせて、日々のデジタルパソロジー専用スキャナーで研究室での機能を拡張します。ハイスループットラボ用に設計されたSLIDEVIEW VS-M1システムは、最も一般的な病理および細胞検体に対応したワークフローが組み込まれており、高品質な画像を迅速に提供します。これらのシステムを組み合わせて使用することで、検体の100%デジタル化に一歩近づきます。

免責事項

本製品は研究用途向けになります。 お客様の責任において、本製品の性能がお客様の特定の用途または使用条件に適していることを確認してください。

VS200の詳細に関しては、お近くのEvident販売代理店にお問い合わせください。

このアプリケーションに関する製品

VS200

VS200

当社のスライドスキャナーは病理において高品位なデジタルパソロジーを実施できます。SLIDEVIEW™ VS200は、複数の倍率、柔軟なスライドサイズ、5つの多用途イメージングモードにより、様々な標本と染色を撮影できるよう設計されています。ホールスライドの優れた画像品質により、標本の可能性を最大限に引き出すことが可能です。

詳細はこちら