使用油浸介质进行全载玻片成像:常见问题解答

april-2021-dr-daniel-göttel-banner.jpg

DanielGöttel博士

DanielGöttel博士

2021年 4月 01日

我们的SLIDEVIEW VS200研究级载玻片扫描系统以其强大的功能而闻名,可以捕获整个载玻片的高分辨率数字图像。

除了标准功能之外,由于可以选配液体分配器和高分辨率油浸或硅浸物镜,该系统经过增强后可与浸液一起工作。这些功能有助于大幅提高图像的分辨率和质量。

很想了解它的工作原理吗?继续阅读,便可找到有关使用浸液进行全载玻片成像的常见问题解答。

VS200液体分配器如何工作?

载玻片扫描系统使用气压泵将规定体积的液滴分配到载玻片表面。分配的液滴数量随实际扫描区域动态变化。液滴数量通过分配器头内的光电二极管液滴计数器进行计数。

这种动态液体分配法为VS200系统所独有,有助于确保只将所需量的浸液涂抹到载玻片上,并且没有浸液会从载玻片上落入扫描系统中。

要了解液体分配器的实用效果,请观看下面这段简短的视频。

油浸介质如何改善载玻片的图像质量?

油浸显微法可以提高标本的折射率,从而获得高光学分辨率和图像质量。用油浸法制备的载玻片在放大倍率较高时效果最好,因为尽管焦距较短,但油液会提高折射率。

VS200载玻片扫描系统可以使用哪些类型的油浸物镜?

使用油浸法进行明场和荧光成像时,有三种X Line物镜可供选择:40倍、60倍和100倍UPLXAPO扩展型复消色差油浸物镜

进行全载玻片成像时如何使用不同的放大倍率?

40倍放大物镜提供了适合更快速扫描的宽广视野,而高倍物镜(60倍和100倍)则以降低扫描速度为代价呈现更多细节。

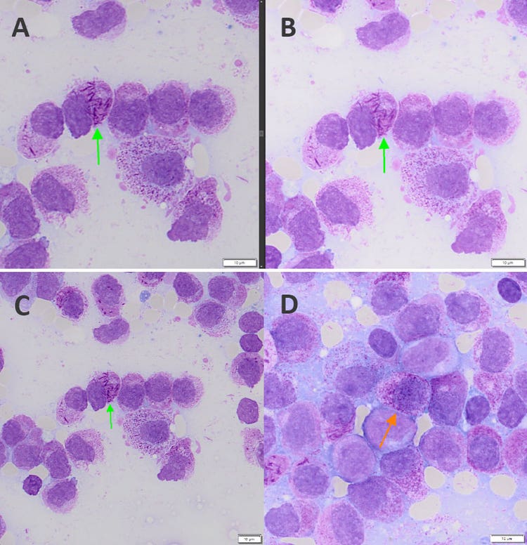
下面是一个如何使用这些放大倍率的实例。我们分别使用NA为1.4的40倍UPLXAPO油浸物镜(图2,A和C)和NA为1.42的60倍UPLXAPO油浸物镜(图2,B和D)扫描了急性早幼粒细胞白血病(Acute Promyelocytic Leukemia,简称 APL)患者的外周血样(下图1)。

外周血样的全载玻片成像

图1.用VS200研究级载玻片扫描系统扫描的急性早幼粒细胞白血病患者的外周血样。图像承蒙雷根斯堡大学医学中心临床化学和实验医学研究所的Jana Kirsten提供。

在此应用中,外周血液显示了具有双叶核或极端颗粒的肿瘤性早幼粒细胞(图2,橙色箭头)。这些肿瘤性早幼粒细胞也存在于骨髓中,以及存在整束棒状小体(A、B和C中的绿色箭头)的髓母细胞中。如果怀疑患有APL,这些是需要重点留意之处。

具有棒状小体的髓母细胞的全载玻片成像

图2:(A) 在40倍放大率下采集但以数字方式放大到60倍的带棒状小体髓母细胞。(B) 在60倍放大率下采集并以原始分辨率显示的同一髓母细胞。(C) 与A相同的图像,但采用的是40倍原始分辨率。(D) 60倍放大率下的带颗粒髓母细胞。

随后凭借通过FISH获得的相互易位t(t15;17)证据确诊了早幼粒细胞白血病(ProMyelocytic Leukemia,简称 PML)。由于这种结构性的染色体改变,15号染色体(PML)和17号染色体(视黄酸受体,α [RARα])上的两个基因发生融合)。PML患者可用全反式视黄酸(All-Trans Retinoic Acid,简称 ATRA)治疗。

将图2中的图像A(40倍)与B(60倍)进行比较可以看出具有1.4 NA 的40倍UPLXAPO油浸物镜的优点,因为在这一较低放大倍率下,棒状小体和颗粒仍然清晰可见。此外,40倍物镜的扫描时间比60倍物镜短50%(1 × 1 cm 区域的扫描时间:40倍 = 4:40分钟,60倍 = 10:30分钟)。

X Line物镜如何改善全载玻片成像?

所有X Line物镜均具有以下优点:

VS200载玻片扫描系统可以使用哪些类型的硅浸物镜?

使用硅浸介质时,有三种物镜可供选择:40倍、60倍和100倍UPLSAPO超级复消色差硅油物镜

硅浸物镜对全载玻片成像有何益处?

硅浸物镜具有高数值孔径和长工作距离,从而可实现稳定、长期、高分辨率且不受温度变化影响的成像。

DanielGöttel博士

DanielGöttel博士

销售支持经理

Daniel Göttel在德国海德堡的德国癌症研究中心获得人类遗传学博士学位。多年以来,他曾担任虚拟玻片扫描系统应用专员,并在该领域获得了深刻、实用的知识。现在,Daniel担任Evident SLIDEVIEW VS200研究用玻片扫查器和Net Image Server(NIS)SQL销售支持经理。